DACH2 Antibody
-
中文名稱:DACH2兔多克隆抗體
-
貨號:CSB-PA111089
-
規格:¥1100
-
圖片:
-
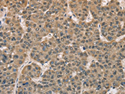
The image on the left is immunohistochemistry of paraffin-embedded Human thyroid cancer tissue using CSB-PA111089(DACH2 Antibody) at dilution 1/40, on the right is treated with fusion protein. (Original magnification: ×200)
-
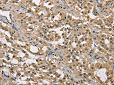
The image on the left is immunohistochemistry of paraffin-embedded Human liver cancer tissue using CSB-PA111089(DACH2 Antibody) at dilution 1/40, on the right is treated with fusion protein. (Original magnification: ×200)
-
-
其他:
產品詳情
-
Uniprot No.:
-
基因名:DACH2
-
別名:DACH 2 antibody; Dach2 antibody; DACH2_HUMAN antibody; Dachshund 2 antibody; Dachshund homolog 2 (Drosophila) antibody; Dachshund homolog 2 antibody; Dachshund2 antibody; FLJ31391 antibody; HGNC:16814 antibody; MGC138545 antibody
-
宿主:Rabbit
-
反應種屬:Human,Mouse
-
免疫原:Fusion protein of Human DACH2
-
免疫原種屬:Homo sapiens (Human)
-
標記方式:Non-conjugated
-
抗體亞型:IgG
-
純化方式:Antigen affinity purification
-
濃度:It differs from different batches. Please contact us to confirm it.
-
保存緩沖液:-20°C, pH7.4 PBS, 0.05% NaN3, 40% Glycerol
-
產品提供形式:Liquid
-
應用范圍:ELISA,IHC
-
推薦稀釋比:
Application Recommended Dilution ELISA 1:2000-1:5000 IHC 1:50-1:200 -
Protocols:
-
儲存條件:Upon receipt, store at -20°C or -80°C. Avoid repeated freeze.
-
貨期:Basically, we can dispatch the products out in 1-3 working days after receiving your orders. Delivery time maybe differs from different purchasing way or location, please kindly consult your local distributors for specific delivery time.
-
用途:For Research Use Only. Not for use in diagnostic or therapeutic procedures.
相關產品
靶點詳情
-
功能:Transcription factor that is involved in regulation of organogenesis. Seems to be a regulator for SIX1 and SIX6. Seems to act as a corepressor of SIX6 in regulating proliferation by directly repressing cyclin-dependent kinase inhibitors, including the p27Kip1 promoter. Is recruited with SIX6 to the p27Kip1 promoter in embryonal retina. SIX6 corepression seems also to involve NCOR1, TBL1, HDAC1 and HDAC3. May be involved together with PAX3, SIX1, and EYA2 in regulation of myogenesis. In the developing somite, expression of DACH2 and PAX3 is regulated by the overlying ectoderm, and DACH2 and PAX3 positively regulate each other's expression. Probably binds to DNA via its DACHbox-N domain.
-
基因功能參考文獻:
- Exome sequencing in two brothers with distinct phenotype including congenital language disorder, growth retardation, intellectual disability and urinary and fecal incontinence, identifies missense mutations in ABCD1 and DACH2. PMID: 25234129
- DACH2 is an independent prognostic marker that can be used at initial diagnosis of urothelial carcinoma of the bladder to identify patients who have a high potential to develop metastasis. PMID: 25744029
- Most X;autosome translocations associated with premature ovarian failure do not interrupt X-linked genes. Only one of the six breakpoints disrupts a gene, DACH2. PMID: 12438735
-
亞細胞定位:Nucleus.
-
蛋白家族:DACH/dachshund family
-
數據庫鏈接:
Most popular with customers
-
-
YWHAB Recombinant Monoclonal Antibody
Applications: ELISA, WB, IHC, IF, FC
Species Reactivity: Human, Mouse, Rat
-
Phospho-YAP1 (S127) Recombinant Monoclonal Antibody
Applications: ELISA, WB, IHC
Species Reactivity: Human
-
-
-
-
-















