DAAM2 Antibody
-
中文名稱:DAAM2兔多克隆抗體
-
貨號:CSB-PA774794ESR2HU
-
規格:¥440
-
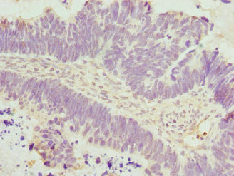
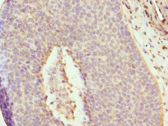
圖片:
-
其他:
產品詳情
-
產品名稱:Rabbit anti-Homo sapiens (Human) DAAM2 Polyclonal antibody
-
Uniprot No.:
-
基因名:
-
別名:DAAM2 antibody; DAAM2_HUMAN antibody; Disheveled-associated activator of morphogenesis 2 antibody; dishevelled associated activator of morphogenesis 2 antibody; dJ90A20A.1 antibody; KIAA0381 antibody; MGC90515 antibody; RP1 278E11.1 antibody
-
宿主:Rabbit
-
反應種屬:Human
-
免疫原:Recombinant Human Disheveled-associated activator of morphogenesis 2 protein (1-86AA)
-
免疫原種屬:Homo sapiens (Human)
-
標記方式:Non-conjugated
-
克隆類型:Polyclonal
-
抗體亞型:IgG
-
純化方式:Antigen Affinity Purified
-
濃度:It differs from different batches. Please contact us to confirm it.
-
保存緩沖液:PBS with 0.02% sodium azide, 50% glycerol, pH7.3.
-
產品提供形式:Liquid
-
應用范圍:ELISA, IHC
-
推薦稀釋比:
Application Recommended Dilution IHC 1:20-1:200 -
Protocols:
-
儲存條件:Upon receipt, store at -20°C or -80°C. Avoid repeated freeze.
-
貨期:Basically, we can dispatch the products out in 1-3 working days after receiving your orders. Delivery time maybe differs from different purchasing way or location, please kindly consult your local distributors for specific delivery time.
-
用途:For Research Use Only. Not for use in diagnostic or therapeutic procedures.
相關產品
靶點詳情
-
功能:Key regulator of the Wnt signaling pathway, which is required for various processes during development, such as dorsal patterning, determination of left/right symmetry or myelination in the central nervous system. Acts downstream of Wnt ligands and upstream of beta-catenin (CTNNB1). Required for canonical Wnt signaling pathway during patterning in the dorsal spinal cord by promoting the aggregation of Disheveled (Dvl) complexes, thereby clustering and formation of Wnt receptor signalosomes and potentiating Wnt activity. During dorsal patterning of the spinal cord, inhibits oligodendrocytes differentiation via interaction with PIP5K1A. Also regulates non-canonical Wnt signaling pathway. Acts downstream of PITX2 in the developing gut and is required for left/right asymmetry within dorsal mesentery: affects mesenchymal condensation by lengthening cadherin-based junctions through WNT5A and non-canonical Wnt signaling, inducing polarized condensation in the left dorsal mesentery necessary to initiate gut rotation. Together with DAAM1, required for myocardial maturation and sarcomere assembly.
-
基因功能參考文獻:
- Biochemical analyses demonstrate that Daam2 associates with VHL and facilitates its ubiquitination and degradation. PMID: 29053101
- Reduction of Daam2 expression occurred with clinical improvement of the patients PMID: 26293489
- miR-335 regulates the expression of at least five formin family members, three of which are validated, FMNL3, FMN2 and DAAM2. PMID: 24223803
-
蛋白家族:Formin homology family
-
組織特異性:Expressed in most tissues examined.
-
數據庫鏈接:
Most popular with customers
-
-
YWHAB Recombinant Monoclonal Antibody
Applications: ELISA, WB, IHC, IF, FC
Species Reactivity: Human, Mouse, Rat
-
Phospho-YAP1 (S127) Recombinant Monoclonal Antibody
Applications: ELISA, WB, IHC
Species Reactivity: Human
-
-
-
-
-
VDAC1 Recombinant Monoclonal Antibody
Applications: ELISA, WB, IHC
Species Reactivity: Human, Mouse, Rat















