CYP8B1 Antibody
-
中文名稱:CYP8B1兔多克隆抗體
-
貨號:CSB-PA006462LA01HU
-
規格:¥440
-
圖片:
-
Western Blot
Positive WB detected in: Rat kidney tissue
All lanes: CYP8B1 antibody at 6.4μg/ml
Secondary
Goat polyclonal to rabbit IgG at 1/50000 dilution
Predicted band size: 59 kDa
Observed band size: 59 kDa -
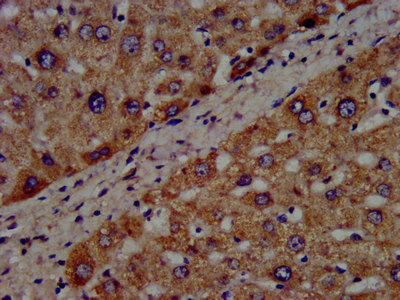
IHC image of CSB-PA006462LA01HU diluted at 1:300 and staining in paraffin-embedded human liver tissue performed on a Leica BondTM system. After dewaxing and hydration, antigen retrieval was mediated by high pressure in a citrate buffer (pH 6.0). Section was blocked with 10% normal goat serum 30min at RT. Then primary antibody (1% BSA) was incubated at 4°C overnight. The primary is detected by a biotinylated secondary antibody and visualized using an HRP conjugated SP system.
-
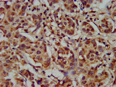
IHC image of CSB-PA006462LA01HU diluted at 1:300 and staining in paraffin-embedded human liver cancer performed on a Leica BondTM system. After dewaxing and hydration, antigen retrieval was mediated by high pressure in a citrate buffer (pH 6.0). Section was blocked with 10% normal goat serum 30min at RT. Then primary antibody (1% BSA) was incubated at 4°C overnight. The primary is detected by a biotinylated secondary antibody and visualized using an HRP conjugated SP system.
-
Immunofluorescence staining of HepG2 cells with CSB-PA006462LA01HU at 1:100, counter-stained with DAPI. The cells were fixed in 4% formaldehyde, permeabilized using 0.2% Triton X-100 and blocked in 10% normal Goat Serum. The cells were then incubated with the antibody overnight at 4°C. The secondary antibody was Alexa Fluor 488-congugated AffiniPure Goat Anti-Rabbit IgG(H+L).
-
-
其他:
產品詳情
-
產品名稱:Rabbit anti-Homo sapiens (Human) CYP8B1 Polyclonal antibody
-
Uniprot No.:
-
基因名:
-
別名:7-alpha-hydroxy-4-cholesten-3-one 12-alpha-hydroxylase antibody; 7-alpha-hydroxycholest-4-en-3-one 12-alpha-hydroxylase antibody; CP8B antibody; CP8B1_HUMAN antibody; CYP12 antibody; CYP8B1 antibody; CYPVIIIB1 antibody; Cytochrome P450 8B1 antibody; Cytochrome P450 subfamily VIIIB (sterol 12 alpha hydroxylase) polypeptide 1 antibody; Cytochrome P450; family 8; subfamily B; polypeptide 1 antibody; Sterol 12-alpha-hydroxylase antibody
-
宿主:Rabbit
-
反應種屬:Human, Rat
-
免疫原:Recombinant Human 7-alpha-hydroxycholest-4-en-3-one 12-alpha-hydroxylase protein (303-440AA)
-
免疫原種屬:Homo sapiens (Human)
-
標記方式:Non-conjugated
本頁面中的產品,CYP8B1 Antibody (CSB-PA006462LA01HU),的標記方式是Non-conjugated。對于CYP8B1 Antibody,我們還提供其他標記。見下表:
-
克隆類型:Polyclonal
-
抗體亞型:IgG
-
純化方式:>95%, Protein G purified
-
濃度:It differs from different batches. Please contact us to confirm it.
-
保存緩沖液:Preservative: 0.03% Proclin 300
Constituents: 50% Glycerol, 0.01M PBS, pH 7.4 -
產品提供形式:Liquid
-
應用范圍:ELISA, WB, IHC, IF
-
推薦稀釋比:
Application Recommended Dilution WB 1:500-1:5000 IHC 1:200-1:500 IF 1:50-1:200 -
Protocols:
-
儲存條件:Upon receipt, store at -20°C or -80°C. Avoid repeated freeze.
-
貨期:Basically, we can dispatch the products out in 1-3 working days after receiving your orders. Delivery time maybe differs from different purchasing way or location, please kindly consult your local distributors for specific delivery time.
-
用途:For Research Use Only. Not for use in diagnostic or therapeutic procedures.
相關產品
靶點詳情
-
功能:A cytochrome P450 monooxygenase involved in primary bile acid biosynthesis. Catalyzes the 12alpha-hydroxylation of 7alpha-hydroxy-4-cholesten-3-one, an intermediate metabolite in cholic acid biosynthesis. Controls biliary balance of cholic acid and chenodeoxycholic acid, ultimately regulating the intestinal absorption of dietary lipids. Mechanistically, uses molecular oxygen inserting one oxygen atom into a substrate, and reducing the second into a water molecule, with two electrons provided by NADPH via cytochrome P450 reductase (CPR; NADPH--hemoprotein reductase).
-
基因功能參考文獻:
- RORalpha is a key regulator of diurnal rhythm and fasting induction of CYP8B1, which regulates bile acid composition and serum and liver cholesterol levels. PMID: 24226095
- The single nucleotide polymorphism rs3732860 in the 3'-untranslated region of the CYP8B1 gene is associated with risk of Gallstone Disease in Chinese Han. PMID: 23216301
- SNP rs3732860 of CYP8B1 gene is associated with gallstone disease in this Chinese population. PMID: 22093981
- Cholesterol loading reduces SREBP-1 mRNA expression in addition to reducing functional SREBP-1 protein, and results in decreasing CYP8B1 gene transcription. PMID: 15249218
- Studies indicate a homogenous pattern for CYP8B1 expression in human liver, which was even rather than zonal. PMID: 15891895
- Isoflavone-related induction of 12-alpha-hydroxylase (CYP8B1) was studied in vitro and murine in vivo models. PMID: 17585019
顯示更多
收起更多
-
亞細胞定位:Endoplasmic reticulum membrane; Single-pass membrane protein. Microsome membrane; Single-pass membrane protein.
-
蛋白家族:Cytochrome P450 family
-
組織特異性:Liver.
-
數據庫鏈接:
Most popular with customers
-
-
YWHAB Recombinant Monoclonal Antibody
Applications: ELISA, WB, IHC, IF, FC
Species Reactivity: Human, Mouse, Rat
-
Phospho-YAP1 (S127) Recombinant Monoclonal Antibody
Applications: ELISA, WB, IHC
Species Reactivity: Human
-
-
-
-
-















