CYP4V2 Antibody
-
中文名稱:CYP4V2兔多克隆抗體
-
貨號:CSB-PA765094ESR2HU
-
規格:¥440
-
圖片:
-
Western Blot
Positive WB detected in: JK whole cell lysate(30μg), SY5Y whole cell lysate(30μg), U251 whole cell lysate(30μg), K562 whole cell lysate(30μg), U87 whole cell lysate(30μg), HepG2 whole cell lysate(30μg),Mouse Liver tissue lysate(30μg),Rat Liver tissue lysate(30μg)
All lanes: CYP4V2 antibody at 1:1000
Secondary
Goat polyclonal to rabbit IgG at 1/20000 dilution
Predicted band size: 61,59 kDa
Observed band size: 61,59 kDa
Exposure time: 120s -
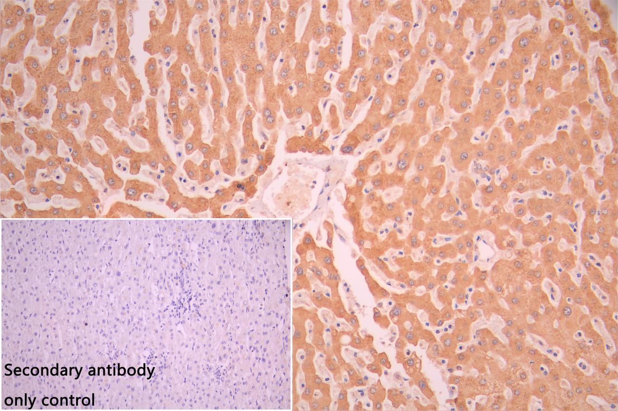
IHC image of CSB-PA765094ESR2HU diluted at 1:50 and staining in paraffin-embedded human Liver tissue performed on a Leica BondTM system. After dewaxing and hydration, antigen retrieval was mediated by high pressure in a citrate buffer (pH 6.0). Section was blocked with 10% normal goat serum 30min at RT. Then primary antibody (1% BSA) was incubated at 4°C overnight. The primary is detected by a Goat anti-rabbit polymer IgG labeled by HRP and visualized using 0.05% DAB. Secondary antibody only control: uses 1% BSA instead of primary antibody
-
IHC image of CSB-PA765094ESR2HU diluted at 1:50 and staining in paraffin-embedded human Liver cancer performed on a Leica BondTM system. After dewaxing and hydration, antigen retrieval was mediated by high pressure in a citrate buffer (pH 6.0). Section was blocked with 10% normal goat serum 30min at RT. Then primary antibody (1% BSA) was incubated at 4°C overnight. The primary is detected by a Goat anti-rabbit polymer IgG labeled by HRP and visualized using 0.05% DAB. Secondary antibody only control: uses 1% BSA instead of primary antibody
-
-
其他:
產品詳情
-
產品描述:
The rabbit anti-human CYP4V2 polyclonal antibody is an IgG antibody that specifically targets the human CYP4V2 protein. CYP4V2 is a member of the cytochrome P450 family of enzymes that are involved in the metabolism of various compounds in the body. The main function of CYP4V2 is to catalyze the hydroxylation of long-chain fatty acids and the oxidation of xenobiotics, such as drugs and environmental toxins.
The CYP4V2 antibody was produced by immunizing rabbits with a synthesized peptide derived from the internal region of human CYP4V2. After that, the rabbits' sera were collected. The sera were then purified to isolate the CYP4V2 polyclonal antibody using antigen affinity purification. The functionality of this CYP4V2 antibody has been validated in ELISA, WB, and IHC applications.
-
產品名稱:Rabbit anti-Homo sapiens (Human) CYP4V2 Polyclonal antibody
-
Uniprot No.:
-
基因名:
-
別名:CYP4V2; Cytochrome P450 4V2; Docosahexaenoic acid omega-hydroxylase CYP4V2; Long-chain fatty acid omega-monooxygenase
-
宿主:Rabbit
-
反應種屬:Human, Mouse, Rat
-
免疫原:Recombinant Human Cytochrome P450 4V2 protein (246-525AA)
-
免疫原種屬:Homo sapiens (Human)
-
標記方式:Non-conjugated
-
克隆類型:Polyclonal
-
抗體亞型:IgG
-
純化方式:Antigen Affinity Purified
-
濃度:It differs from different batches. Please contact us to confirm it.
-
保存緩沖液:Preservative: 0.03% Proclin 300
Constituents: 50% Glycerol, 0.01M PBS, pH 7.4 -
產品提供形式:Liquid
-
應用范圍:ELISA, WB, IHC
-
推薦稀釋比:
Application Recommended Dilution WB 1:500-1:2000 IHC 1:20-1:200 -
Protocols:
-
儲存條件:Upon receipt, store at -20°C or -80°C. Avoid repeated freeze.
-
貨期:Basically, we can dispatch the products out in 1-3 working days after receiving your orders. Delivery time maybe differs from different purchasing way or location, please kindly consult your local distributors for specific delivery time.
-
用途:For Research Use Only. Not for use in diagnostic or therapeutic procedures.
相關產品
靶點詳情
-
功能:A cytochrome P450 monooxygenase involved in fatty acid metabolism in the eye. Catalyzes the omega-hydroxylation of polyunsaturated fatty acids (PUFAs) docosahexaenoate (DHA) and its precursor eicosapentaenoate (EPA), and may contribute to the homeostasis of these retinal PUFAs. Omega hydroxylates saturated fatty acids such as laurate, myristate and palmitate, the catalytic efficiency decreasing in the following order: myristate > laurate > palmitate (C14>C12>C16). Mechanistically, uses molecular oxygen inserting one oxygen atom into a substrate, and reducing the second into a water molecule, with two electrons provided by NADPH via cytochrome P450 reductase (CPR; NADPH-ferrihemoprotein reductase).
-
基因功能參考文獻:
- To the best of our knowledge, this study represents the largest effort to determine the genetic alterations underlying Bietti crystalline dystrophy (BCD) in Spain to date. Our results show that analysis of CYP4V2 variants is required for a reliable diagnosis of BCD. PMID: 29691984
- This is the first report of a homozygous R400C mutation in CYP4V2 with protein modelling showing high likelihood of enzyme dysfunction. The comprehensive long-term clinical follow-up provides insight into disease progression and highlights possible anti-inflammatory modulation of disease severity. PMID: 28698241
- Bietti crystalline dystrophy patients with CYP4V2 mutations showed more severe macular choroid atrophy as compared to EYS-related RP patients. These different damage patterns suggest differences in choroidal expression between CYP4V2 and EYS. PMID: 27658286
- In summary, we confirmed that the choroideremia-like fundus appearance of our patient was caused by the novel homozygous CYP4V2 variant. PMID: 27348340
- Photoreceptor outer segment and apical retinal pigment epithelium abnormalities underlie the relatively extensive retinal dysfunction observed in relatively early-stage Bietti crystalline dystrophy. Intravitreal Bevacizumab was effective in treating CNV in this setting. PMID: 27028354
- Expression levels of both CYP4V2 mRNA and protein were significantly reduced after treatment with peroxisome proliferator-activated receptor gamma (PPARgamma) antagonist GW9662 PMID: 28729181
- Nineteen missense, 4 nonsense, 2 deletion, 2 splice site, and 1 insertion-deletion mutations were identified in in patients with Bietti crystalline corneoretinal dystrophy. The age of the c.802-8_810del17insGC mutation was estimated to be 1040-8200 generations in the Chinese and 300-1100 generations in the Japanese populations. PMID: 28051075
- We found that the subfoveal choroidal thickness and the outer choroidal vascular area were smaller in Bietti Crystalline Dystrophy patients with CYP4V2 mutations than in age-, sex-, AL-, and logMAR VA-matched RP patients with EYS mutations or age-, sex-, and AL-matched healthy controls. PMID: 28763560
- Our findings broaden the spectrum of CYP4V2 mutations that cause BCD and the phenotypic spectrum of the disease in Chinese families. These results will be useful for the genetic diagnosis of BCD, genetic consultation, and gene therapy in the future. PMID: 26971461
- The results of this study demonstrate that causative variants identified in the CTNNA1 and CYP4V2 genes are also associated with Leber Congenital Amaurosis. PMID: 28453600
- Genetic analysis of the CYP4V2 gene revealed a c.802-8_810delinsGC homozygote mutation. PMID: 26865810
- In Bietti crystalline dystrophy patients with CYP4V2 mutations, cone density remained for visual dysfunction by evaluation using high-resolution AO-SLO. PMID: 26521715
- Four novel mutations were identified, contributing to the spectrum of CYP4V2 mutations associated with Bietti's crystalline dystrophy. PMID: 25593508
- cytochrome P450 family 4 subfamily V polypeptide 2 (CYP4V2) c.219T>A (p.F73L) mutation may be a recurrent mutation in Chinese patients with Bietti crystalline dystrophy (BCD). PMID: 24739949
- Likely disease-causing variants were identified in 34 chromosomes from 17 families. Seven were novel, including p.Met66Arg, found in all 11 patients from 8 families of South Asian descent. PMID: 24480711
- This finding suggests that the crystals in the lens of patients with Bietti crystalline corneoretinopathy may be produced in the same way as corneal or retinal crystalline deposits and therefore result from a systemic abnormality of lipid metabolism. PMID: 23793346
- The authors identified a case of Bietti crystalline dystrophy with central and paracentral keratopathy and the molecular analysis of the causative gene in a Spanish family. PMID: 23538635
- The entire coding region and adjacent intronic regions of the CYP4V2 gene were sequenced. Five mutations were identified in the 29-year-old male with Bietti's crystalline dystrophy. PMID: 23242590
- Sequencing of CYP4V2 revealed nine sequence variants in four unrelated families and six isolated individuals with BCD. PMID: 23221965
- Two mutations in CYP4V2 were found in three Lebanese families with Bietti crystalline dystrophy: p.I111T (c.332T>C) in exon 3 in two families and the novel p.V458M (c.1372G>A) mutation in exon 9 in one family. PMID: 22605929
- Compound heterozygous c.802-8_810del17insGC and c.1091-2A>G mutations of the CYP4V2 gene were identified as causative mutations for retinitis pigmentosa PMID: 22693542
- This study identified the most sensitive functional methods for assessing Bietti's crystalline dystrophy patients, and the significance of pupillary light reflex in the advanced stages. PMID: 21892605
- Four novel benign variations in the CYP4V2 gene (three in exons and one in an intron) were observed in the patient cohort with Bietti crystalline dystrophy associated with choroidal neovascularization. PMID: 21850171
- these results expand the mutation spectrum of CYP4V2 and demonstrate an overview of the CYP4V2 mutation spectrum and its frequency in families with Bietti crystalline corneoretinal dystrophy. PMID: 21565171
- REVIEW: genetic analyses have identified a wide spectrum of mutations in the CYP4V2gene from patients suffering from Bietti's crystalline corneoretinal dystrophy, and mutations in theCYP4F22 gene have been linked to lamellar ichthyosis PMID: 21540472
- We describe a patient with Bietti crystalline dystrophy with a CYP4V2 gene mutation and typical leukocyte inclusions who showed the classical retinal lesions but had a normal electroretinogram. PMID: 21385027
- crystal-like deposits may appear on the lens capsule of patients with Bietti crystalline corneoretinal dystrophy(BCD) associated with a mutation in the CYP4V2 gene. PMID: 19508456
- Clinical trial of gene-disease association and gene-environment interaction. (HuGE Navigator) PMID: 20379614
- Defective omega-oxidation of ocular fatty acids/lipids secondary to mutations in the CYP4V2 gene appears to be a plausible mechanism underlying the abnormal lipid metabolism of Bietti's crystalline dystrophy. PMID: 19661213
- Observational study and genome-wide association study of gene-disease association. (HuGE Navigator) PMID: 20205591
- Bietti crystalline corneoretinal dystrophy is caused by mutations in the novel gene CYP4V2 PMID: 15042513
- Our findings suggest that the IVS6 to 8delTCATACAGGTCATCGCG/insGC mutation is a common mutation in Japanese patients with BCD (Bietti's crystalline corneoretinal dystrophy) PMID: 15860296
- In two patients, a homozygous and compound heterozygote, deletion/insertion mutations and novel nonsense (p.W340X) mutations were identified. PMID: 16088246
- Our finding expands the spectrum of CYP4V2 mutations causing BCD, and further confirms the role of CYP4V2 in the pathogenesis of BCD (Bietti crystalline corneoretinal dystrophy). PMID: 16179904
- This study identified novel mutations in the CYP4V2 gene as a cause of BCD. A high carrier frequency for the 15-bp deletion in exon 7 may exist in the Singapore population. PMID: 16186368
- A homozygous mutation was identified in two of the unrelated patients, and only a heterozygous change was detected in the third. These data indicate that c.802-8del17bp/insGC may be a frequent mutation in CYP4V2 gene PMID: 17013694
- CYP4V2 gene mutations may have a role in Bietti crystalline corneoretinal dystrophy PMID: 17249554
- BCD (Bietti's crystalline dystrophy) patients with homozygous IVS6-8del17bp/insGC or compound heterozygous IVS6-8del17bp/insGC and IVS8-2A>G mutations appeared to have more severe disease phenotype based on electrophysiological testing. PMID: 17962476
- SNPs in the region around the SNP in CYP4V2 (rs13146272) were associated with both deep vein thrombosis and factor XI levels. PMID: 18349091
- Observational study of gene-disease association. (HuGE Navigator) PMID: 19583818
- Observational study and genome-wide association study of gene-disease association. (HuGE Navigator) PMID: 19278955
- Observational study of gene-disease association. (HuGE Navigator) PMID: 18349091
顯示更多
收起更多
-
相關疾病:Bietti crystalline corneoretinal dystrophy (BCD)
-
亞細胞定位:Endoplasmic reticulum membrane; Single-pass membrane protein.
-
蛋白家族:Cytochrome P450 family
-
組織特異性:Broadly expressed. Detected in heart, brain, placenta, lung, liver, skeletal muscle, kidney, pancreas, retina, retinal pigment epithelium (RPE) and lymphocytes.
-
數據庫鏈接:
Most popular with customers
-
-
YWHAB Recombinant Monoclonal Antibody
Applications: ELISA, WB, IHC, IF, FC
Species Reactivity: Human, Mouse, Rat
-
Phospho-YAP1 (S127) Recombinant Monoclonal Antibody
Applications: ELISA, WB, IHC
Species Reactivity: Human
-
-
-
-
-















