CYP4F12 Antibody
-
中文名稱:CYP4F12兔多克隆抗體
-
貨號:CSB-PA864033ESR2HU
-
規格:¥440
-
圖片:
-
Western blot
All lanes: CYP4F12 antibody at 6μg/ml
Lane 1: Mouse small intestine tissue
Lane 2: Rat liver tissue
Secondary
Goat polyclonal to rabbit IgG at 1/10000 dilution
Predicted band size: 61, 12 kDa
Observed band size: 61 kDa -
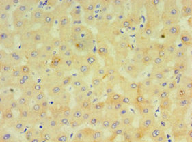
Immunohistochemistry of paraffin-embedded human liver tissue using CSB-PA864033ESR2HU at dilution of 1:100
-
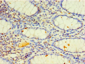
Immunohistochemistry of paraffin-embedded human colon cancer using CSB-PA864033ESR2HU at dilution of 1:100
-
-
其他:
產品詳情
-
產品名稱:Rabbit anti-Homo sapiens (Human) CYP4F12 Polyclonal antibody
-
Uniprot No.:
-
基因名:CYP4F12
-
別名:CYP4F12; UNQ568/PRO1129; Cytochrome P450 4F12; CYPIVF12
-
宿主:Rabbit
-
反應種屬:Human, Mouse, Rat
-
免疫原:Recombinant Human Cytochrome P450 4F12 protein (265-524AA)
-
免疫原種屬:Homo sapiens (Human)
-
標記方式:Non-conjugated
-
克隆類型:Polyclonal
-
抗體亞型:IgG
-
純化方式:Antigen Affinity Purified
-
濃度:It differs from different batches. Please contact us to confirm it.
-
保存緩沖液:PBS with 0.02% sodium azide, 50% glycerol, pH7.3.
-
產品提供形式:Liquid
-
應用范圍:ELISA, WB, IHC
-
推薦稀釋比:
Application Recommended Dilution WB 1:500-1:5000 IHC 1:20-1:200 -
Protocols:
-
儲存條件:Upon receipt, store at -20°C or -80°C. Avoid repeated freeze.
-
貨期:Basically, we can dispatch the products out in 1-3 working days after receiving your orders. Delivery time maybe differs from different purchasing way or location, please kindly consult your local distributors for specific delivery time.
-
用途:For Research Use Only. Not for use in diagnostic or therapeutic procedures.
相關產品
靶點詳情
-
功能:A cytochrome P450 monooxygenase involved in the metabolism of endogenous polyunsaturated fatty acids (PUFAs). Mechanistically, uses molecular oxygen inserting one oxygen atom into a substrate, and reducing the second into a water molecule, with two electrons provided by NADPH via cytochrome P450 reductase (CPR; NADPH-ferrihemoprotein reductase). Catalyzes the hydroxylation of carbon hydrogen bonds, with preference for omega-2 position. Metabolizes (5Z,8Z,11Z,14Z)-eicosatetraenoic acid (arachidonate) toward 18-hydroxy arachidonate. Catalyzes the epoxidation of double bonds of PUFAs such as docosapentaenoic and docosahexaenoic acids. Has low omega-hydroxylase activity toward leukotriene B4 and arachidonate. Involved in the metabolism of xenobiotics. Catalyzes the hydroxylation of the antihistamine drug ebastine.
-
基因功能參考文獻:
- These results suggest that human and marmoset P450 3A4/90 and 4F12 in livers or small intestines played important roles in terfenadine t-butyl hydroxylation. Marmosets could be a model for humans during first pass extraction of terfenadine and related substrates. PMID: 28436281
- Our results showed that HCV infection induced expression of CYP4F12 protein, which bound to the HCV replication complex to facilitate viral replication. PMID: 26845356
- We conclude that CYP4F8 and CYP4F12 catalyze epoxidation of 22:6n-3 and 22:5n-3, and CYP4F8 omega3-hydroxylation of 22:5n-6. PMID: 16112640
-
亞細胞定位:Endoplasmic reticulum membrane. Microsome membrane.
-
蛋白家族:Cytochrome P450 family
-
組織特異性:Expressed in small intestine, liver, colon and heart.
-
數據庫鏈接:
Most popular with customers
-
-
YWHAB Recombinant Monoclonal Antibody
Applications: ELISA, WB, IHC, IF, FC
Species Reactivity: Human, Mouse, Rat
-
Phospho-YAP1 (S127) Recombinant Monoclonal Antibody
Applications: ELISA, WB, IHC
Species Reactivity: Human
-
-
-
-
-















