CYP2J2 Antibody
-
中文名稱:CYP2J2兔多克隆抗體
-
貨號:CSB-PA006430ESR2HU
-
規格:¥440
-
圖片:
-
Western blot
All lanes: CYP2J2 antibody at 4μg/ml
Lane 1: Mouse skeletal muscle tissue
Lane 2: Rat liver tissue
Secondary
Goat polyclonal to rabbit IgG at 1/10000 dilution
Predicted band size: 58 kDa
Observed band size: 58 kDa -
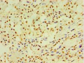
Immunohistochemistry of paraffin-embedded human breast cancer using CSB-PA006430ESR2HU at dilution of 1:100
-
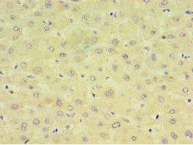
Immunohistochemistry of paraffin-embedded human liver tissue using CSB-PA006430ESR2HU at dilution of 1:100
-
-
其他:
產品詳情
-
產品名稱:Rabbit anti-Homo sapiens (Human) CYP2J2 Polyclonal antibody
-
Uniprot No.:
-
基因名:CYP2J2
-
別名:Arachidonic acid epoxygenase antibody; CP2J2_HUMAN antibody; CPJ2 antibody; CYP2J2 antibody; CYPIIJ2 antibody; Cytochrome P450 2J2 antibody; Cytochrome P450 family 2 subfamily J polypeptide 2 antibody; Cytochrome P450 subfamily IIJ (arachidonic acid epoxygenase) polypeptide 2 antibody; Cytochrome P450 subfamily IIJ polypeptide 2 antibody; Flavoprotein linked monooxygenase antibody; Microsomal monooxygenase antibody; OTTHUMP00000010550 antibody
-
宿主:Rabbit
-
反應種屬:Human, Mouse, Rat
-
免疫原:Recombinant Human Cytochrome P450 2J2 protein (328-502AA)
-
免疫原種屬:Homo sapiens (Human)
-
標記方式:Non-conjugated
-
克隆類型:Polyclonal
-
抗體亞型:IgG
-
純化方式:Antigen Affinity Purified
-
濃度:It differs from different batches. Please contact us to confirm it.
-
保存緩沖液:PBS with 0.02% sodium azide, 50% glycerol, pH7.3.
-
產品提供形式:Liquid
-
應用范圍:ELISA, WB, IHC
-
推薦稀釋比:
Application Recommended Dilution WB 1:500-1:5000 IHC 1:20-1:200 -
Protocols:
-
儲存條件:Upon receipt, store at -20°C or -80°C. Avoid repeated freeze.
-
貨期:Basically, we can dispatch the products out in 1-3 working days after receiving your orders. Delivery time maybe differs from different purchasing way or location, please kindly consult your local distributors for specific delivery time.
-
用途:For Research Use Only. Not for use in diagnostic or therapeutic procedures.
相關產品
靶點詳情
-
功能:A cytochrome P450 monooxygenase involved in the metabolism of polyunsaturated fatty acids (PUFA) in the cardiovascular system. Mechanistically, uses molecular oxygen inserting one oxygen atom into a substrate, and reducing the second into a water molecule, with two electrons provided by NADPH via cytochrome P450 reductase (NADPH--hemoprotein reductase). Catalyzes the epoxidation of double bonds of PUFA. Converts arachidonic acid to four regioisomeric epoxyeicosatrienoic acids (EpETrE), likely playing a major role in the epoxidation of endogenous cardiac arachidonic acid pools. In endothelial cells, participates in eicosanoids metabolism by converting hydroperoxide species into hydroxy epoxy metabolites. In combination with 15-lipoxygenase metabolizes arachidonic acid and converts hydroperoxyicosatetraenoates (HpETEs) into hydroxy epoxy eicosatrienoates (HEETs), which are precursors of vasodilatory trihydroxyicosatrienoic acids (THETAs). This hydroperoxide isomerase activity is NADPH- and O2-independent. Catalyzes the monooxygenation of a various xenobiotics, such as danazol, amiodarone, terfenadine, astemizole, thioridazine, tamoxifen, cyclosporin A and nabumetone. Catalyzes hydroxylation of the anthelmintics albendazole and fenbendazole. Catalyzes the sulfoxidation of fenbedazole.
-
基因功能參考文獻:
- Cell survival decreases with ROS exposure when CYP2J2 is chemically inhibited. PMID: 29343610
- Data show the importance of the formation of a hydrogen bond between cytochrome P450 2J2 arginine 117 (R117) and the keto group of the substrates. PMID: 30012976
- these data can aid the design of other analogues that have reduced cardiotoxicity, which do not modulate CYP2J2's arachidonic acid metabolism. PMID: 29629756
- demonstrate that doxorubicin (DOX) and 7-de-aDOX inhibit CYP2J2-mediated AA metabolism and 7-de-aDOX binds close to the active site to alter the ratio of cardioprotective epoxyeicosatrienoic acids. PMID: 29200270
- The use of LKY-047 as a selective CYP2J2 inhibitor. PMID: 28461575
- a computational investigation of the binding of arachidonic acid (AA) to CYP2J2 using homology modelling, induced fit docking (IFD) and molecular dynamics (MD) simulations. PMID: 27796781
- Study found a significant interaction between CYP2J2- rs890293 and PPAR -gamma- rs1805192 and participants with GT or TT of rs890293 and CG or GG of rs1805192 genotype have the highest late-onset Alzheimer's disease risk, compared to participants with GG of rs890293 and CC of rs1805192 genotype. PMID: 27396818
- dysregulation of the CYP epoxyeicosanoid pathway is a key pathological consequence of NASH PMID: 27401401
- CYP2J2 is widely expressed in tissues, especially heart, vascular smooth muscle, salivary glands and placenta. Recent studies have shown that overexpression of CYP2J2 in vivo reverses several pathological processes in animals, including hypertension and other cardiovascular pathologies and insulin resistance. PMID: 27286171
- Homocysteine (Hcy) facilitated cytochrome P-450 CYP2J2 (CYP2J2) upregulation in hepatocellular carcinoma (HCC) cells by DNA demethylation. PMID: 28030819
- Endothelial overexpression of CYP2J2 significantly changed oxylipin profiles. PMID: 28328948
- MAPK signaling pathway was involved in the up-regulation of CYP2J2 levels by glutamate in U251 cells. PMID: 28237619
- -50G/T polymorphism might be a risk factor for ischemic stroke in Chinese population PMID: 28272236
- Data show that CYP2J2 gene delivery reduced vessel wall thickening. PMID: 27459385
- Data suggest that antiarrhythmic prodrugs amiodarone and dronedarone are extensively metabolized by CYP2J2; specific CYP2J2 metabolites include N-desbutyldronedarone and N-desethylamiodarone, potent [reversible/irreversible] inhibitors of CYP2J2. PMID: 26972388
- Tanshinone IIA exerts its anticancer effect by inhibiting CYP2J2 activity in HepG2 cells. PMID: 26209360
- CYP2J2 expression showed significant upregulation (P<0.05) during Cy treatment before stem cell transplantation PMID: 25601761
- Here we present the detection of substrate binding to cytochrome P450-2J2 (CYP2J2), the predominant P450 in the human heart, using a combination of Nanodisc technology and a nanohole plasmonic sensor PMID: 26334592
- Our results suggest that individuals with any conventional risk factor for MI along with CYP2J2*7 variant allele may be predisposed to risk of myocardial infarct in South Indian population PMID: 25560582
- CYP2J2 and EETs prevent cardiac fibrosis and cardiac dysfunction by suppressing transmission of pro-inflammation from cardiomyocytes to macrophages in heart PMID: 25686540
- findings can give a structural mechanism for the mutation-induced dysfunction in the CYP2J2-mediated arachidonic acid metabolism. PMID: 25204827
- The CYP2J2 rs890293 T allele and GT+TT genotype were significantly associated with an increased risk of late onset Alzheimer disease. PMID: 25796175
- Data suggest that up-regulation of CYP2J2 activity can attenuate type 2 diabetes and improve insulin resistance via down-regulation of NFkappaB and MAPK signaling pathways and up-regulation of PPARgamma. PMID: 25389363
- CYP2J2 mediates bacterial phagocytosis in macrophages, and implicates a defect in the CYP2J2 pathway may regulate bacterial clearance in Crohn's disease. PMID: 24058654
- Established and emerging roles of CYP2J2 in the biology of vascular endothelial cells. [Review] PMID: 23474289
- CYP2J2 activity in the cell line was inhibited by danazol. PMID: 24021950
- These findings demonstrate that Cyp2j gene products regulate the pulmonary vascular response to hypoxia PMID: 24278032
- CYP2J2 overexpression only moderately reduced transverse aortic constriction-induced cardiac hypertrophy and did not affect the hypertrophic response to beta-adrenergic stimulation. PMID: 24023684
- The aim of the present study was to assess the association between the human CYP2J2 gene polymorphism and coronary artery disease (CAD) in a Han and Uygur population of China. PMID: 23684773
- Compared the effects of N-terminal modifications on the properties of CYP2J2 with respect to the activity of the protein in model lipid bilayers using Nanodiscs. PMID: 23661295
- N404Y mutation could reposition the side-chain of Leu(378), making it no longer form a hydrogen bond with the carboxyl group of arachidonic acid. PMID: 23647230
- Data indicate that cardiac-specific overexpression of arachidonate epoxygenase (CYP2J2) significantly protects against diabetic cardiomyopathy, which may be due to improved cardiac insulin resistance, glucose uptake, and reversal of cardiac hypertrophy. PMID: 23696562
- High CYP2J2 expression is associated with cancer. PMID: 22761738
- uteroplacental CYP2J2 overexpression contributes to preeclampsia. PMID: 23155181
- This study provides evidence of potential association of CYP2J2*7 polymorphism with hypertension in the Saudi population with or without diabetes and obesity. PMID: 22731644
- No association has been found between the CYP2J2 (rs890293, -76G > T) or CYP2S1 (rs34971233, 13106C > T, P466L and rs338583, 13255A > G) gene polymorphisms and respiratory diseases. PMID: 22232929
- This case-control study as well as meta-analysis suggested no association between CYP2J2 G-50T and EPHX2 R287Q and the risk of developing coronary artery disease PMID: 21642892
- CYP2J2 overexpression in cultured human-derived malignant hematologic cell lines markedly accelerated proliferation and attenuated apoptosis PMID: 21030485
- Haplotypes of CYP2J2 are associated with myocardial infarction in a Chinese Han population. PMID: 20597138
- Age of onset, family history, and obesity may modify typ3 2 diabetes polymorphism in younger onset typ32 diabetees. PMID: 20140850
- The data indicate that epoxygenase 2J2 gene polymorphism is not a risk factor of acute coronary syndrome in Ukrainian population. PMID: 20480811
- eight novel substrates for CP2J were identified that vary in size and overall topology; data suggest that CYP2J2 may be an unrecognized participant in first-pass metabolism, but its contribution is minor relative to that of CYP3A4 PMID: 19923256
- data do not support a major role for the CYP2J2 -50G>T variant in determining blood pressure level and incident ischemic events PMID: 19851119
- CYP2J2 activates the nuclear receptor PPARalpha in vitro and in vivo PMID: 19823578
- expression levels of the immunoreactive protein with the CYP2J2 antibody in the small intestine were well correlated with the activities of the astemizole O-demethylation PMID: 12386130
- role of activator protein-1 in the down-regulation of the human CYP2J2 gene in hypoxia PMID: 12737630
- The CYP2J2*6 allele is rare in the Caucasian population, and no association is inferred between this allelic variant and type 1 or type 2 diabetic complications. PMID: 14575523
- Transgenic mice overexpressing human CYP2J2 have improved postischemic recovery of left ventricular function. PMID: 15256482
- Overexpressoin of CYP2J2 in transgenic mice increases l-type calcium channles in cardiomyocytes. PMID: 15361551
- a functionally relevant polymorphism of the CYP2J2 gene is independently associated with an increased risk of coronary artery disease PMID: 15466638
顯示更多
收起更多
-
亞細胞定位:Endoplasmic reticulum membrane; Peripheral membrane protein. Microsome membrane; Peripheral membrane protein.
-
蛋白家族:Cytochrome P450 family
-
組織特異性:Highly expressed in heart, present at lower levels in liver, kidney and skeletal muscle (at protein level).
-
數據庫鏈接:
Most popular with customers
-
YWHAB Recombinant Monoclonal Antibody
Applications: ELISA, WB, IHC, IF, FC
Species Reactivity: Human, Mouse, Rat
-
Phospho-YAP1 (S127) Recombinant Monoclonal Antibody
Applications: ELISA, WB, IHC
Species Reactivity: Human
-
-
-
-
-
-















