CYP21A2 Antibody
-
中文名稱:CYP21A2兔多克隆抗體
-
貨號:CSB-PA006400LA01HU
-
規格:¥440
-
圖片:
-
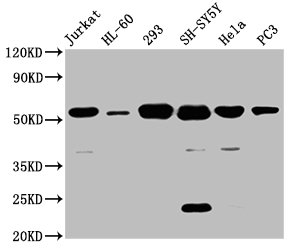
Western Blot
Positive WB detected in: Jurkat whole cell lysate, HL-60 whole cell lysate, 293 whole cell lysate, SH-SY5Y whole cell lysate, Hela whole cell lysate, PC3 whole cell lysate
All lanes: CYP21A2 antibody at 1:500
Secondary
Goat polyclonal to rabbit IgG at 1/50000 dilution
Predicted band size: 56, 53 kDa
Observed band size: 56 kDa -
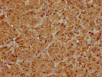
IHC image of CSB-PA006400LA01HU diluted at 1:100 and staining in paraffin-embedded human adrenal gland tissue performed on a Leica BondTM system. After dewaxing and hydration, antigen retrieval was mediated by high pressure in a citrate buffer (pH 6.0). Section was blocked with 10% normal goat serum 30min at RT. Then primary antibody (1% BSA) was incubated at 4°C overnight. The primary is detected by a biotinylated secondary antibody and visualized using an HRP conjugated SP system.
-
Immunofluorescence staining of HepG2 with CSB-PA006400LA01HU at 1:33, counter-stained with DAPI. The cells were fixed in 4% formaldehyde, permeabilized using 0.2% Triton X-100 and blocked in 10% normal Goat Serum. The cells were then incubated with the antibody overnight at 4°C. The secondary antibody was Alexa Fluor 488-congugated AffiniPure Goat Anti-Rabbit IgG(H+L).
-
-
其他:
產品詳情
-
產品名稱:Rabbit anti-Homo sapiens (Human) CYP21A2 Polyclonal antibody
-
Uniprot No.:
-
基因名:CYP21A2
-
別名:CYP21 antibody; 21 OHase antibody; 21-OHase antibody; CA21H antibody; CAH1 antibody; CP21A_HUMAN antibody; CPS1 antibody; CYP21A 2 antibody; CYP21A2 antibody; CYP21B antibody; Cytochrome P-450c21 antibody; Cytochrome P450 21 antibody; Cytochrome P450 C21B antibody; Cytochrome P450 XXI antibody; Cytochrome P450; family 21; subfamily A; polypeptide 2 antibody; Cytochrome P450; subfamily XXIA (steroid 21 hydroxylase; congenital adrenal hyperplasia); polypeptide 2 antibody; Cytochrome P450-C21 antibody; Cytochrome P450-C21B antibody; P450 C21 antibody; P450 C21B antibody; P450c21B antibody; Steroid 21 hydroxylase antibody; Steroid 21 monooxygenase antibody; Steroid 21-hydroxylase antibody
-
宿主:Rabbit
-
反應種屬:Human
-
免疫原:Recombinant Human Steroid 21-hydroxylase protein (312-418AA)
-
免疫原種屬:Homo sapiens (Human)
-
標記方式:Non-conjugated
本頁面中的產品,CYP21A2 Antibody (CSB-PA006400LA01HU),的標記方式是Non-conjugated。對于CYP21A2 Antibody,我們還提供其他標記。見下表:
-
克隆類型:Polyclonal
-
抗體亞型:IgG
-
純化方式:>95%, Protein G purified
-
濃度:It differs from different batches. Please contact us to confirm it.
-
保存緩沖液:Preservative: 0.03% Proclin 300
Constituents: 50% Glycerol, 0.01M PBS, pH 7.4 -
產品提供形式:Liquid
-
應用范圍:ELISA, WB, IHC, IF
-
推薦稀釋比:
Application Recommended Dilution WB 1:100-1:1000 IHC 1:20-1:200 IF 1:20-1:200 -
Protocols:
-
儲存條件:Upon receipt, store at -20°C or -80°C. Avoid repeated freeze.
-
貨期:Basically, we can dispatch the products out in 1-3 working days after receiving your orders. Delivery time maybe differs from different purchasing way or location, please kindly consult your local distributors for specific delivery time.
-
用途:For Research Use Only. Not for use in diagnostic or therapeutic procedures.
相關產品
靶點詳情
-
功能:A cytochrome P450 monooxygenase that plays a major role in adrenal steroidogenesis. Catalyzes the hydroxylation at C-21 of progesterone and 17alpha-hydroxyprogesterone to respectively form 11-deoxycorticosterone and 11-deoxycortisol, intermediate metabolites in the biosynthetic pathway of mineralocorticoids and glucocorticoids. Mechanistically, uses molecular oxygen inserting one oxygen atom into a substrate, and reducing the second into a water molecule, with two electrons provided by NADPH via cytochrome P450 reductase (CPR; NADPH-ferrihemoprotein reductase).
-
基因功能參考文獻:
- The purpose of this study was to evaluate C4A and C4B in patients with congenital adrenal hyperplasia in relation to CYP21A2 genotype and psychiatric and autoimmune comorbidity. We determined the copy numbers of C4A and C4B in 145 patients with CAH .No association was found between C4 copy number and autoimmune disease PMID: 30465166
- The distribution of CYP21A2 gene mutations among Ukrainian patients with congenital adrenal hyperplasia of different clinical phenotypes are presented. PMID: 30480408
- 233 pathogenic variants of CYP21A2 gene found in congenital adrenal hyperplasia due to 21-hydroxylase deficiency have been catalogued. (Review) PMID: 29450859
- Herein, we have functionally characterized the CYP21A2 missense mutations viz., p. F306V and p. H365N. Notably, both the mutations were harbored by the patients exhibiting the non classical phenotype. PMID: 29684512
- 21-Hydroxylase is encoded by the CYP21A2 gene, with a homologous pseudogene. All patients with SW 21-hydroxylase deficiency (21-OHD) had elevated plasma renin activity. The most frequent SW 21-OHD mutations were c.293-13C>G and gene deletion, whereas Ile173Asn and c.293-13C>G were the most frequently detected in SV 21-OHD. PMID: 28392195
- Identification of a novel compound heterozygous mutation of the CYP21A2 gene causing 21-hydroxylase deficiency in a Chinese pedigree has been reported. PMID: 29328376
- Bioinformatics analysis of protein structure and known mutations in CYP21A2 gene in congenital adrenal hyperplasia demonstrate that most of the SNPs shows no biological implications. However, the study proposes a putative pathogenic effect of five novel mutations, p.L107Q, p.L122R, p.R132H, p.P335L and p.H466fs, found in 21-hydroxylase deficient patients. PMID: 27966633
- Data indicate seven pathogenic mutations of the CYP21A2 gene among the 8 patients, and 21-hydroxylase deficiency (21-OHD) can cause testicular hypoplasia and spermatogenic failure. PMID: 29419855
- Mutation in the CYP21A2 gene is associated with nonclassical 21-hydroxylase deficiency and final height. PMID: 28672743
- CAH can be diagnosed in utero through direct molecular analysis of CYP21A2 gene, using DNA extracted from foetal tissues or cells obtained from chorionic villus sampling or amniocentesis.Our preliminary findings show that prenatal diagnosis (PND)by direct mutation analysis along with MLPA is a feasible strategy that can be offered to families at risk PMID: 28639595
- Association of HLA alleles and haplotypes with CYP21A2 gene p. V282L mutation in the Croatian population has been reported. PMID: 27709802
- Study describes a biallelic TNXB variants in patients with congenital adrenal hyperplasia due to CYP21A2 deletions resulting in a classical Ehlers-Danlos syndrome phenotype with skin hyperextensibility, widened atrophic scars and joint hypermobility. PMID: 27297501
- Variations in CYP21A2 gene is associated with Congenital Adrenal Hyperplasia. PMID: 28844486
- CYP21A2 carriers had a lower risk of developing mood and stress-related disorders after the diagnosis of the child PMID: 27654981
- A unique haplotype of RCCX copy number variation harboring a CYP21A2 identified in congenital adrenal hyperplasia patients. PMID: 28401898
- The aim of this paper is to provide a comprehensive literary review regarding all intronic CYP21A2 pathological variants reported to date--{REVIEW} PMID: 28521877
- Nine known mutations have been found in Chinese patients with 21-hydroxylase deficiency. PMID: 28415939
- There seems to be a specific spectrum of CYP21A2 gene mutations in Fujian area. PMID: 27984606
- in-depth investigation of congenital adrenal hyperplasia-associated P450 21A2 variants reveals critical insight into the effects of disease-causing mutations on this important enzyme. PMID: 28539365
- review of the role of steroid 21-hydroxylase deficiency in congenital adrenal hyperplasia [review] PMID: 27380651
- CYP21A2 expression is localized in the developing distal epithelium of the human perinatal lung and is compatible with in situ production and intracrine actions of active glucocorticoids. PMID: 27004467
- CYP21A2 genetic analysis of patients and family members with classical congenital adrenal hyperplasia due to 21-hydroxylase deficiency in Croatia PMID: 27041116
- spectrum of CYP21A2 mutations in Congenital Adrenal Hyperplasia in an Indian cohort PMID: 27890570
- CYP21A2 mutation spectrum of Chinese patients with 21-hydroxylase deficiency-induced congenital adrenal hyperplasia PMID: 26804566
- 27 CYP21A2 mutant alleles is identified in 14 congenital adrenal hyperplasia-suspected patients. The c.293-13A>G (or c.293-13C>G) was the most common mutation, and p.Ile173Asn was the second, identified in 25% and 17.9% of alleles. PMID: 26206692
- Data suggest that the definitive diagnosis can be established based on steroid profile (USP) and/or 21-hydroxylase (CYP21A2) genetic testing. PMID: 26331608
- We found p.Gln318X mutation in 4 patients and c.290 -13 C>G (IVS2-13C>G) in another 4. Four subjects had, what seems to be, a common deletion in our cohort detected by MLPA (a technique designed to detect alterations (deletion/duplication). PMID: 25630015
- In current study, molecular testing of 21 patients with classic form of Congenital adrenal hyperplasia identified eight mutations of the CYP21A2 gene. PMID: 26278268
- The results suggest that the A>G variation in the Z promoter is involved in misregulating the transcriptional activity of the CYP21A2 gene. PMID: 26184415
- Data suggest 3 siblings with nonclassical, congenital adrenal hyperplasia exhibit rare mutation in CYP21A2; siblings are heterozygotes for maternal 30 kb deletion and exhibit a second, rare point mutation (c.1097G>A, p.R366H) in exon 8. [CASE REPORT] PMID: 26291314
- Novel p.Leu129Pro and p.Ser165Pro CYP21A2 gene mutations in Serbian patients with congenital adrenal hyperplasia. PMID: 26233337
- The main conclusion from a mutation-structure-activity study is that the severity of the congenital adrenal hyperplasia clinical manifestations can be directly correlated with the degree of mutation-induced damage in terms of protein fold stability and active site changes in the structural model of Cytochrome P450 21A2. PMID: 26172259
- The genetic analysis of the splice site mutation c.293-13A>G and c.518T>A variant can be used as good biomarkers for early detection of cases and carriers in 21-OHD. PMID: 25501839
- Increased allelic frequency for the CYP21A2 p.Asn493Ser polymorphism is observed in girls with premature adrenarche. PMID: 25481255
- Prevalence of P30L, P453S, and V281L mutations of CYP21A2 gene is increased in patients with adrenocortical tumors. PMID: 25970792
- Mutations of CYP21A2 gene is associated with 21-hydroxylase deficiency. PMID: 26903061
- This study aimed to design a reliable and rational approach for identifying mutations in the CYP21A2 gene and to characterize the molecular basis of 21-Hydroxylase deficiency in 30 Chinese patients. PMID: 24503005
- mutations of the CYP21A2 gene may have a role in nonclassical congenital adrenal hyperplasia PMID: 25041270
- The result confirm specific steroid 21-hydroxylase-directed reactivity of the peripheral Addison's disease lymphocytes, which display increased synthesis of interleukin-2 and soluble IL2Ra. PMID: 25347332
- Boy exhibits compound heterozygous mutations (IVS2-13 A/C>G, and p.E431K) in CYP21A2 resulting in congenital adrenal hyperplasia; the mother is heterozygous for IVS2-13 A/C>G mutation; the father is heterozygous for E431K mutation. [CASE REPORT] PMID: 25319875
- analysis of CYP21A2 mutations in Turkish congenital adrenal hyperplasia patients PMID: 25227725
- The common CYP21A2 variants exert the same effect on hormone levels in the healthy and disease-affected populations. PMID: 25210767
- The structure of the human P450 21A2-substrate complex provides direct insight into mechanistic effects of genetic variants. PMID: 25855791
- A meta-analysis of genome-wide association studies of blood pressure and hypertension in Chinese identified three new loci (CACNA1D, CYP21A2, and MED13L) and a newly discovered variant near SLC4A7. PMID: 25249183
- Genetic variants of CYP21A2 associated to autoimmune Addison's disease(AAD) are in linkage disequilibrium with the main AAD risk locus HLA-DRB1, and CYP21A2 does not constitute an independent susceptibility locus. PMID: 25249698
- Direct sequencing of CYP21A2 gene showed genotypes correlated to pathological phenotypes in congenital adrenal hyperplasia patients. PMID: 25025300
- steroid 21-hydroxylase, CYP21A2, converted 16,17-dehydroprogesterone to the 21-hydroxylated product and only a trace of epoxide PMID: 25386927
- Molecular modeling suggests a major impact on 21-hydroxylase activity, and functional analysis after expression in COS-7 cells confirms reduced enzymatic activity of the mutant enzymes. PMID: 24799024
- Mutations in CYP21A2 gene is associated with Congenital adrenal hyperplasia due to 21-hydroxylase deficiency. PMID: 24667412
- Mutations of CYP21A2 including IVS2-13A/C>G, Arg356Trp and Arg149Pro were associated with congenital adrenal hyperplasia due to 21 hydroxylase deficiency. PMID: 25119915
顯示更多
收起更多
-
相關疾病:Adrenal hyperplasia 3 (AH3)
-
亞細胞定位:Endoplasmic reticulum membrane; Peripheral membrane protein. Microsome membrane; Peripheral membrane protein.
-
蛋白家族:Cytochrome P450 family
-
數據庫鏈接:
Most popular with customers
-
-
YWHAB Recombinant Monoclonal Antibody
Applications: ELISA, WB, IHC, IF, FC
Species Reactivity: Human, Mouse, Rat
-
Phospho-YAP1 (S127) Recombinant Monoclonal Antibody
Applications: ELISA, WB, IHC
Species Reactivity: Human
-
-
-
-
-















