CYP19A1 Antibody
-
中文名稱:CYP19A1兔多克隆抗體
-
貨號:CSB-PA952927
-
規格:¥1100
-
圖片:
-
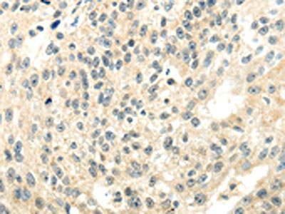
The image on the left is immunohistochemistry of paraffin-embedded Human breast cancer tissue using CSB-PA952927(CYP19A1 Antibody) at dilution 1/35, on the right is treated with synthetic peptide. (Original magnification: ×200)
-
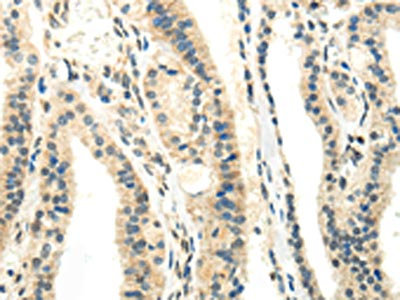
The image on the left is immunohistochemistry of paraffin-embedded Human thyroid cancer tissue using CSB-PA952927(CYP19A1 Antibody) at dilution 1/35, on the right is treated with synthetic peptide. (Original magnification: ×200)
-
-
其他:
產品詳情
-
Uniprot No.:
-
基因名:CYP19A1
-
別名:ARO antibody; ARO1 antibody; Aromatase antibody; CP19A_HUMAN antibody; CPV1 antibody; CYAR antibody; CYP19 antibody; Cyp19a1 antibody; CYPXIX antibody; Cytochrome P-450AROM antibody; Cytochrome P450 19A1 antibody; Cytochrome P450; family 19; subfamily A; polypeptide 1 antibody; Cytochrome P450; subfamily XIX (aromatization of androgens) antibody; Estrogen synthase antibody; Estrogen synthetase antibody; Flavoprotein linked monooxygenase antibody; MGC104309 antibody; Microsomal monooxygenase antibody; OTTHUMP00000162543 antibody; OTTHUMP00000198350 antibody; P 450AROM antibody
-
宿主:Rabbit
-
反應種屬:Human,Mouse,Rat
-
免疫原:Synthetic peptide of Human CYP19A1
-
免疫原種屬:Homo sapiens (Human)
-
標記方式:Non-conjugated
-
抗體亞型:IgG
-
純化方式:Antigen affinity purification
-
濃度:It differs from different batches. Please contact us to confirm it.
-
保存緩沖液:-20°C, pH7.4 PBS, 0.05% NaN3, 40% Glycerol
-
產品提供形式:Liquid
-
應用范圍:ELISA,IHC
-
推薦稀釋比:
Application Recommended Dilution ELISA 1:2000-1:5000 IHC 1:25-1:100 -
Protocols:
-
儲存條件:Upon receipt, store at -20°C or -80°C. Avoid repeated freeze.
-
貨期:Basically, we can dispatch the products out in 1-3 working days after receiving your orders. Delivery time maybe differs from different purchasing way or location, please kindly consult your local distributors for specific delivery time.
-
用途:For Research Use Only. Not for use in diagnostic or therapeutic procedures.
相關產品
靶點詳情
-
功能:A cytochrome P450 monooxygenase that catalyzes the conversion of C19 androgens, androst-4-ene-3,17-dione (androstenedione) and testosterone to the C18 estrogens, estrone and estradiol, respectively. Catalyzes three successive oxidations of C19 androgens: two conventional oxidations at C19 yielding 19-hydroxy and 19-oxo/19-aldehyde derivatives, followed by a third oxidative aromatization step that involves C1-beta hydrogen abstraction combined with cleavage of the C10-C19 bond to yield a phenolic A ring and formic acid. Alternatively, the third oxidative reaction yields a 19-norsteroid and formic acid. Converts dihydrotestosterone to delta1,10-dehydro 19-nordihydrotestosterone and may play a role in homeostasis of this potent androgen. Also displays 2-hydroxylase activity toward estrone. Mechanistically, uses molecular oxygen inserting one oxygen atom into a substrate, and reducing the second into a water molecule, with two electrons provided by NADPH via cytochrome P450 reductase (CPR; NADPH-ferrihemoprotein reductase).
-
基因功能參考文獻:
- Polymorphism in CYP19A1 is not associated with polycystic ovary syndrome. PMID: 29564739
- CYP19A1 was the only gene harboring single nucleotide polymorphisms that were significantly associated with prostate cancer risk PMID: 29228205
- CYP19A1 mRNA expression and aromatase activity during syncytialization of primary human villous trophoblast cells at term PMID: 29474975
- in postmenopausal women, aromatase activity could be an important determinant of skeletal health. PMID: 29329467
- Fungicide ziram may disrupt the placental steroid production. In the present study, we investigated the effects of ziram on steroid formation in human placental cell line JEG-3 cells and on HSD3B1 and aromatase in the human placenta. Ziram did not inhibit progesterone production in JEG-3 cells and HSD3B1 activity at 100muM... ziram is a potent inhibitor of human aromatase. PMID: 28951168
- This study demonstrated the existence of an AMH-FOXL2 relationship in hGCs. AMH is capable of increasing both gene and protein expression of FOXL2. Because FOXL2 induces AMH transcription, these ovarian factors could be finely regulated by a positive feedback loop mechanism to preserve the ovarian follicle reserve. PMID: 28660501
- The present study reports on the synthesis of pituitary aromatase, its regulation by gonadal steroids, and the physiological roles of aromatase on pituitary endocrine cells. The involvement of aromatase in the pathogenesis of pituitary tumors, mainly prolactinomas, through the auto-paracrine production of estradiol is reviewed. [review] PMID: 29104246
- CYP19A1 Val80, a genetic polymorphism related to the conversion of testosterone into estrogen, significantly contributes to individual differences in self-construal and subjective well-being. PMID: 28888137
- The findings indicate that the CYP19 alleles rs727479A/C and rs700519C/T might be associated with the pregnancy outcome after assisted reproductive technology in patients with polycystic ovary syndrome. PMID: 29050673
- significant prognostic roles of ERalpha, ERbeta and aromatase were discovered in the in prostate cancer specimens of our large multicenter cohort. PMID: 27610593
- These studies suggest an association between adiposity, aromatase estrogenic capacity and atrial arrhythmogenicity. PMID: 28822806
- Changes in the CYP19A1 expression in adipose tissue stromal vascular fraction cells, induced by free acids, correlated positively with BMI of patients but only in group of obese or overweight women. PMID: 29629743
- In conclusion, activated Smad3 proteins can bind to P450arom promoter -705/+87 bp region, responsive to activin A in endometrial stromal cells, which can promote P450arom transcription. PMID: 27920344
- polymorphisms not associated with late miscarriage PMID: 28410957
- this study illustrated that the brain-specific alternate promoter PI.f derived CYP19 expression can be regulated by DNA methylation. PMID: 28559115
- sex steroid hormones and sex hormone binding globulin levels, CYP17 MSP AI (-34T:C) and CYP19 codon 39 (Trp:Arg) variants in children with developmental stuttering PMID: 28992603
- RET inhibitors could both impair primary tumor growth and tumor dissemination, thereby providing a potential therapeutic advantage when used in combination with aromatase inhibitors in postmenopausal ER+ breast cancers. PMID: 27602955
- We suggest from these studies that overexpression of aromatase in breast tissue and its resultant increase in estradiol levels may contribute to the later development of breast cancer in women with atypical ductal hyperplasia PMID: 28337664
- As regards the CYP19A1 variant, genotype 11 (del/del) was more frequent in patients than in controls (OR=1.85; 95% CI 1.06-3.22; P=0.03). PMID: 27145040
- C-Jun and CREB are recruited to ESR2 or CYP19A1 promoter by IGF-I stimulation. PMID: 26899323
- The results of the present study suggest that AhR stimulates estrogen-dependent progression of breast carcinoma by inducing aromatase expression under some conditions. These results provide new insights on the possible roles of environmental toxins in breast cancer development. PMID: 27900579
- In the postmortem study, the amount of PVN aromatase immunoreactivity decreased significantly in the major depressive disorder group compared to the controls PMID: 28024269
- Results show that aromatase protein expression is increased in bladder neoplasm tissue and may be associated with advanced tumor stage. PMID: 27324053
- Polymorphism of CYP19 is associated with breast cancer. PMID: 28178648
- The combination of high carbohydrate intake and the heterozygote (CG) of CYP19A1 rs4441215 showed a higher serum estradiol level in postmenopausal Japanese women. PMID: 28980890
- Leptin increased aromatase expression in breast cancer cells, which was correlated with COX-2 upregulation. PMID: 28571770
- Immunohistochemical analysis of 221 invasive breast cancer cases indicated that 87.3% (193/221) had at least 5% aromatase positive cells. PMID: 28489882
- CYP19A1 amplification caused increased aromatase activity. PMID: 28112739
- The reduction of DHT obese homozygotic twins could be linked to its increased degradation by AKR1C2 and HSD11B1, and increased estrogen levels could be linked to increased adiposity-related expression of aromatase in adipose tissue. PMID: 28619249
- The authors proposed that NF2 behaves as a protein sensing tissue damage and aromatase-driven local estrogen formation, eventually leading to regulation of stem cells differentiation and tissue repair by liver cancer cells. (Review) PMID: 27289045
- The CYP19A1 rs10046 variant T/T favors lower incidence of hot flashes/sweating under exemestane + OFS treatment, suggesting endocrine-mediated effects. PMID: 27825388
- R264 polymorphism causes an intrinsic alteration of aromatase activity together with a different consensus for phosphorylation by different kinases, indicating that estrogen production can be different when such mutations are present PMID: 27702664
- analysis of how sildenafil inhibits aromatase in human cells by molecular docking simulation PMID: 27616271
- 16(beta)-OH-androstenedione generated by CYP21A2 serves as a substrate for CYP19A1 PMID: 28065637
- Description of a novel functional FSHR expression, where FSH-stimulated CYP19A1 expression and estrogen production in recto-vaginal endometriotic nodules (RVEN) are demonstrated. This locally FSH-induced estrogen production may contribute to the pathology, development, progression, and severity of RVEN . PMID: 27224263
- Estradiol synthesis in the hippocampus is regulated by several mechanisms, which are reviewed in this report. The regulation of the activity of aromatase, the final enzyme of estrogen biosynthesis, by Ca(2+) transients, is of particular interest. [review] PMID: 26472556
- CYP19A1 activity may contribute to disordered steroidogenesis in female patients with POR mutations as well as in mothers with POR variants carrying a male child PMID: 27032764
- The structural and functional importance of estrogen receptor and aromatase in endocrine-responsive and -resistant breast cancers will be discussed in more detail. [review] PMID: 26277097
- Aromatase inhibitor treatment significantly increased expression of let-7f in Ishikawa cells and endometrial stroma cells from patients with endometriosis. PMID: 27320036
- results show that the Aha1-Hsp90-PKM2/HIF-1alpha axis mediates the induction of aromatase in Li-Fraumeni Syndrome. PMID: 27467582
- Data show that the combination of nobiletin (NOB), hesperetin (HES) and letrozole (LET) had no effects on activity and expression of aromatase (cytochrome P450 CYP19) in MCF-7 breast cancer cells. PMID: 28364779
- The expression of P450 aromatase corresponds to specific cell morphology in sex cord-stromal tumors, including recurrent tumors. PMID: 26166720
- Association study investigated the ESR1, ESR2, and CYP19A1 gene polymorphisms in Chinese migraine patients, data suggested that ESR1 rs2234693 plays a potential role in migraine susceptibility in a Chinese population, especially for menstrually related migraine PMID: 27778160
- A novel 568C insertion mutation in CYP19A1 can lead to severe aromatase deficiency. Homozygosity for this mutation is associated with the development of hypoplastic ovaries PMID: 27086564
- Significant reduction of CYP19A1 gene expression in Cumulus cells of endometriosis patients may be the result of epigenetic alterations in its regulatory regions, either by DNA methylation or histone modifications. PMID: 27167072
- In the bone marrow, cyclin A1 and aromatase enhanced local bone marrow-releasing factors, including androgen receptor, estrogen and matrix metalloproteinase MMP9 and promoted the metastatic growth of prostate cancer cells PMID: 26921336
- No association of functional polymorphisms in the estrogen metabolism genes CYP19A1 with menstrual migraine. PMID: 28089731
- The results demonstrated that the rs3751592 A/G polymorphism of the CYP19A1 gene was associated with the incidence of Alzheimer disease in a Chinese Han population, which suggests that CYP19A1 rs3751592 is a predisposing genetic factor for Alzheimer disease. PMID: 27583919
- CYP19 Gene Polymorphism is associated with Breast Cancer. PMID: 27165202
- The data showed that the effect of Activin A on ESCs was partially abrogated by pretreatment with an inhibitor of ALK4 (the type I receptor, ActRIB) and Smad4-siRNA. Cumulatively, these data suggest that Activin A promotes the secretion of estradiol from ESCs by increasing the expression of P450arom via the ALK4-Smad pathway. These findings indicate the ALK4-Smad pathway may promote ectopic lesion survival and developmen PMID: 27833918
顯示更多
收起更多
-
相關疾病:Aromatase excess syndrome (AEXS); Aromatase deficiency (AROD)
-
亞細胞定位:Endoplasmic reticulum membrane; Multi-pass membrane protein. Microsome membrane; Multi-pass membrane protein.
-
蛋白家族:Cytochrome P450 family
-
組織特異性:Widely expressed, including in adult and fetal brain, placenta, skin fibroblasts, adipose tissue and gonads.
-
數據庫鏈接:
Most popular with customers
-
-
Phospho-YAP1 (S127) Recombinant Monoclonal Antibody
Applications: ELISA, WB, IHC
Species Reactivity: Human
-
-
-
-
-
-
VDAC1 Recombinant Monoclonal Antibody
Applications: ELISA, WB, IHC
Species Reactivity: Human, Mouse, Rat















