-
中文名稱:CTSV兔多克隆抗體
-
貨號:CSB-PA006194ESR2HU
-
規格:¥440
-
圖片:
-
Western blot
All lanes: CTSV antibody at 12μg/ml
Lane 1: Jurkat whole cell lysate
Lane 2: MCF-7 whole cell lysate
Secondary
Goat polyclonal to rabbit IgG at 1/10000 dilution
Predicted band size: 37 kDa
Observed band size: 37 kDa -
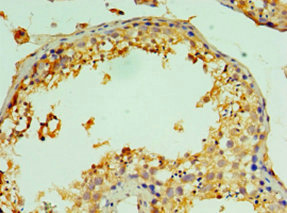
Immunohistochemistry of paraffin-embedded human testis tissue using CSB-PA006194ESR2HU at dilution of 1:100
-
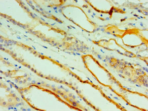
Immunohistochemistry of paraffin-embedded human kidney tissue using CSB-PA006194ESR2HU at dilution of 1:100
-
-
其他:
產品詳情
-
產品名稱:Rabbit anti-Homo sapiens (Human) CTSV Polyclonal antibody
-
Uniprot No.:
-
基因名:
-
別名:CAT L2 antibody; Cathepsin L2 antibody; Cathepsin U antibody; Cathepsin V antibody; CathepsinL2 antibody; CathepsinU antibody; CathepsinV antibody; CATL 2 antibody; CATL2 antibody; CATL2_HUMAN antibody; CTS L2 antibody; CTS U antibody; CTS V antibody; CTSL 2 antibody; CTSL2 antibody; CTSU antibody; CTSV antibody; MGC125957 antibody; PRO305 antibody; UNQ268 antibody
-
宿主:Rabbit
-
反應種屬:Human
-
免疫原:Recombinant Human Cathepsin L2 protein (105-334AA)
-
免疫原種屬:Homo sapiens (Human)
-
標記方式:Non-conjugated
-
克隆類型:Polyclonal
-
抗體亞型:IgG
-
純化方式:Antigen Affinity Purified
-
濃度:It differs from different batches. Please contact us to confirm it.
-
保存緩沖液:PBS with 0.02% sodium azide, 50% glycerol, pH7.3.
-
產品提供形式:Liquid
-
應用范圍:ELISA, WB, IHC
-
推薦稀釋比:
Application Recommended Dilution WB 1:500-1:2000 IHC 1:20-1:200 -
Protocols:
-
儲存條件:Upon receipt, store at -20°C or -80°C. Avoid repeated freeze.
-
貨期:Basically, we can dispatch the products out in 1-3 working days after receiving your orders. Delivery time maybe differs from different purchasing way or location, please kindly consult your local distributors for specific delivery time.
-
用途:For Research Use Only. Not for use in diagnostic or therapeutic procedures.
引用文獻
相關產品
靶點詳情
-
功能:Cysteine protease. May have an important role in corneal physiology.
-
基因功能參考文獻:
- CTSV is involved in melanosome degradation. PMID: 29654760
- exogenous CTSV inhibited Ang -induced hypertrophy in HCM cells by inhibiting PI3K/Akt/mTOR PMID: 28522343
- Cathepsins V and S may serve as auxiliary diagnostic and/or prognostic markers in thymic epithelial tumors. PMID: 27771373
- E2F1 directly binds to CTSL2 promoter and regulates CTSL2 gene expression. PMID: 23542171
- using cathepsin V and cathepsin L as model enzymes, a series of chimeras were generated to identify noncatalytic regions that are responsible for the potent elastolytic activity of cathepsin V PMID: 24121514
- Cathepsin V expression contributes to the development of dermal fibrosis and vasculopathy in systemic sclerosis. PMID: 23287360
- functions of cathepsin V are controlled by N-glycosylation PMID: 22967898
- Findings indicate the unique function of cathepsin V for producing enkephalin and neuropeptide Y (NPY) neuropeptides required for neurotransmission in health and neurological diseases. PMID: 22393040
- CTSL2 might be involved in progression of endometrial cancer. PMID: 22452389
- A proteolytically active variant of cathepsin V is localized to cell nucleus (in peri-nucleolar pattern) in thyroid carcinoma cells. PMID: 20536394
- stratum corneum thiol protease is identical with the recently described cathepsin L2 protease. PMID: 12648222
- Cathepsin V is involved in the degradation of invariant chain in human thymus PMID: 12925692
- Cathepsin V has an elastolytic activity and is expressed in activated macrophages PMID: 15192101
- Human cathepsin V compensates for murine cathepsin L in mouse epidermis and hair follicles. PMID: 15679121
- propeptide was found to behave as a tight-binding inhibitor against CatV PMID: 17516850
- Associated with type 1 diabetes and early-onset myasthenia gravis. PMID: 17869649
- angiogenesis inhibition activity on endothelial cells caused by plasminogen processing by cathepsin V PMID: 18163891
顯示更多
收起更多
-
亞細胞定位:Lysosome.
-
蛋白家族:Peptidase C1 family
-
組織特異性:Predominantly expressed in the thymus and testis. Also expressed in corneal epithelium, and to a lesser extent in conjunctival epithelium and skin.
-
數據庫鏈接:
Most popular with customers
-
-
YWHAB Recombinant Monoclonal Antibody
Applications: ELISA, WB, IHC, IF, FC
Species Reactivity: Human, Mouse, Rat
-
Phospho-YAP1 (S127) Recombinant Monoclonal Antibody
Applications: ELISA, WB, IHC
Species Reactivity: Human
-
-
-
-
-















