CTNNBL1 Antibody
-
中文名稱:CTNNBL1兔多克隆抗體
-
貨號:CSB-PA848844ESR1HU
-
規格:¥440
-
圖片:
-
Western blot
All lanes: CTNNBL1 antibody at 5.39µg/ml
Lane 1: Hela whole cell lysate
Lane 2: Jurkat whole cell lysate
Lane 3: 293T whole cell lysate
Secondary
Goat polyclonal to rabbit IgG at 1/10000 dilution
Predicted band size: 66, 44, 37, 62 kDa
Observed band size: 66 kDa -
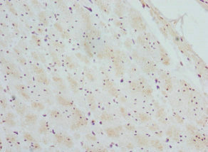
Immunohistochemistry of paraffin-embedded human testis tissue using CSB-PA848844ESR1HU at dilution of 1:100
-
Immunohistochemistry of paraffin-embedded human colon cancer using CSB-PA848844ESR1HU at dilution of 1:100
-
-
其他:
產品詳情
-
產品名稱:Rabbit anti-Homo sapiens (Human) CTNNBL1 Polyclonal antibody
-
Uniprot No.:
-
基因名:CTNNBL1
-
別名:5730471K09Rik antibody; Beta catenin like 1 antibody; Beta catenin like protein 1 antibody; Beta-catenin-like protein 1 antibody; C20orf33 antibody; Cadherin associated protein antibody; Catenin beta like 1 antibody; Chromosome 20 open reading frame 3 antibody; CTBL1_HUMAN antibody; CTNN protein antibody; CTNNBL 1 antibody; Ctnnbl1 antibody; dJ633O20.1 antibody; FLJ21108 antibody; NAP antibody; Nuclear associated protein antibody; nuclear protein NAP antibody; Nuclear-associated protein antibody; NYD SP19 antibody; OTTMUSP00000016933 antibody; P14 antibody; P14L antibody; PP8304 antibody; RP5 1118M15.1 antibody; Testis development protein NYD SP19 antibody; Testis development protein NYD-SP19 antibody
-
宿主:Rabbit
-
反應種屬:Human
-
免疫原:Recombinant Human Beta-catenin-like protein 1 protein (264-563AA)
-
免疫原種屬:Homo sapiens (Human)
-
標記方式:Non-conjugated
-
克隆類型:Polyclonal
-
抗體亞型:IgG
-
純化方式:Antigen Affinity Purified
-
濃度:It differs from different batches. Please contact us to confirm it.
-
保存緩沖液:PBS with 0.02% sodium azide, 50% glycerol, pH7.3.
-
產品提供形式:Liquid
-
應用范圍:ELISA, WB, IHC
-
推薦稀釋比:
Application Recommended Dilution WB 1:1000-1:5000 IHC 1:20-1:200 -
Protocols:
-
儲存條件:Upon receipt, store at -20°C or -80°C. Avoid repeated freeze.
-
貨期:Basically, we can dispatch the products out in 1-3 working days after receiving your orders. Delivery time maybe differs from different purchasing way or location, please kindly consult your local distributors for specific delivery time.
-
用途:For Research Use Only. Not for use in diagnostic or therapeutic procedures.
相關產品
靶點詳情
-
功能:Component of the PRP19-CDC5L complex that forms an integral part of the spliceosome and is required for activating pre-mRNA splicing. Participates in AID/AICDA-mediated Ig class switching recombination (CSR). May induce apoptosis.
-
基因功能參考文獻:
- CTNNBL1 regulates multiple splicing events and gene expression in ovarian cancer cells PMID: 28501461
- Tthis study identified WNT5B and CTNNBL1 for peak bone mineral density and body composition in males from the Han Chinese ethnic group. PMID: 26733379
- The results show that CTNNBL1 enhances the association of CWC15 and CDC5L, both core Prp19 complex proteins and identify an overlap in the region of CDC5L that binds either CTNNBL1 or CWC15 suggesting the two proteins might exchange places in the complex. PMID: 26130721
- Variants in the gene CTNNBL1 (encoding catenin-beta-like 1, located on chromosome 20 q11.23-q12) have been found to be associated with verbal episodic memory performance. PMID: 25268258
- The crystal structure of CTNNBL1 shows that the protein coalphansists mainly of alpha-helices and forms an armadillo (ARM) repeat. structure PMID: 24598747
- Results indicate CTNNBL1 as a unique selective nuclear localization signals (NLSs)-binding protein with striking differences from karyopherin-alphas. PMID: 24269683
- CTNNBL1 crystal structure provides critical insights into the molecular interactions between CTNNBL1 and its protein partners. PMID: 23897482
- From this gene expression data and fMRI experiments suggests a role for the beta-catenin-like protein 1 in human episodic memory. PMID: 22105620
- There are abnormal expression of beta-catenin and activation of Wnt signaling pathway in human esophageal carcinoma cell line Eca-109. PMID: 21215100
- There was a significantly positive correlation between LMP1 expression and abnormal expression of beta-catenin in nasopharyngeal carcinoma tissue. PMID: 21055033
- CTNNBL1 is a novel nuclear localization sequence-binding protein that recognizes RNA-splicing factors CDC5L and Prp31 PMID: 21385873
- Study suggests a novel mechanism for the development of obesity, where CTNNBL1 may play an important role. PMID: 18325910
- The results, therefore, identify residues in AID involved in its in vivo targeting and suggest they might act through interaction with CTNNBL1, giving possible insight into the linkage between AID recruitment and target-gene transcription. PMID: 18722174
- We detected no confirmation of the recent association of variants in CTNNBL1 with obesity in a population of Central European ancestry PMID: 19228371
- CTNNBL1 variants associated with body weight and height, and confer the risk of developing obesity PMID: 19245693
顯示更多
收起更多
-
亞細胞定位:[Isoform 1]: Nucleus.; [Isoform 2]: Cytoplasm.
-
組織特異性:Widely expressed with highest levels in skeletal muscle, placenta, heart, spleen, testis and thyroid.
-
數據庫鏈接:
Most popular with customers
-
-
YWHAB Recombinant Monoclonal Antibody
Applications: ELISA, WB, IHC, IF, FC
Species Reactivity: Human, Mouse, Rat
-
Phospho-YAP1 (S127) Recombinant Monoclonal Antibody
Applications: ELISA, WB, IHC
Species Reactivity: Human
-
-
-
-
-
VDAC1 Recombinant Monoclonal Antibody
Applications: ELISA, WB, IHC
Species Reactivity: Human, Mouse, Rat















