CTNNA3 Antibody
-
中文名稱:CTNNA3兔多克隆抗體
-
貨號:CSB-PA883421LA01HU
-
規格:¥440
-
圖片:
-
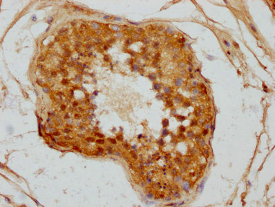
IHC image of CSB-PA883421LA01HU diluted at 1:300 and staining in paraffin-embedded human testis tissue performed on a Leica BondTM system. After dewaxing and hydration, antigen retrieval was mediated by high pressure in a citrate buffer (pH 6.0). Section was blocked with 10% normal goat serum 30min at RT. Then primary antibody (1% BSA) was incubated at 4°C overnight. The primary is detected by a biotinylated secondary antibody and visualized using an HRP conjugated SP system.
-
-
其他:
產品詳情
-
產品名稱:Rabbit anti-Homo sapiens (Human) CTNNA3 Polyclonal antibody
-
Uniprot No.:
-
基因名:
-
別名:4930429L08Rik antibody; 4933408A16 antibody; Alpha catenin like protein antibody; Alpha T catenin antibody; Alpha T-catenin antibody; Cadherin associated protein antibody; Cadherin-associated protein antibody; Catenin alpha 3 antibody; Catenin alpha-3 antibody; Catna3 antibody; CTNA3_HUMAN antibody; CTNNA3 antibody; MGC26194 antibody; MGC75041 antibody; OTTHUMP00000019684 antibody; OTTMUSP00000028119 antibody; OTTMUSP00000028120 antibody; RP11-433J16.1 antibody; VR22 antibody
-
宿主:Rabbit
-
反應種屬:Human
-
免疫原:Recombinant Human Catenin alpha-3 protein (163-302AA)
-
免疫原種屬:Homo sapiens (Human)
-
標記方式:Non-conjugated
本頁面中的產品,CTNNA3 Antibody (CSB-PA883421LA01HU),的標記方式是Non-conjugated。對于CTNNA3 Antibody,我們還提供其他標記。見下表:
-
克隆類型:Polyclonal
-
抗體亞型:IgG
-
純化方式:>95%, Protein G purified
-
濃度:It differs from different batches. Please contact us to confirm it.
-
保存緩沖液:Preservative: 0.03% Proclin 300
Constituents: 50% Glycerol, 0.01M PBS, pH 7.4 -
產品提供形式:Liquid
-
應用范圍:ELISA, IHC
-
推薦稀釋比:
Application Recommended Dilution IHC 1:200-1:500 -
Protocols:
-
儲存條件:Upon receipt, store at -20°C or -80°C. Avoid repeated freeze.
-
貨期:Basically, we can dispatch the products out in 1-3 working days after receiving your orders. Delivery time maybe differs from different purchasing way or location, please kindly consult your local distributors for specific delivery time.
-
用途:For Research Use Only. Not for use in diagnostic or therapeutic procedures.
相關產品
靶點詳情
-
功能:May be involved in formation of stretch-resistant cell-cell adhesion complexes.
-
基因功能參考文獻:
- Double MYH7 CTTNA3 heterozygotes showed a variable clinical expression of arrhythmogenic cardiomyopathy and hypertrophic cardiomyopathy. One carrier of double mutations in CTTNA3 and MYH7 genes did not fulfill the current diagnostic criteria for cardiomyopathy. PMID: 28699631
- The functional investigations might indicate involvement of alpha-T-catenin/CTNNA3 in the biology of peripheral nerve sheath tumors. PMID: 27765635
- CTNNA3 association with essential tremor. PMID: 27797806
- We conducted a meta-analysis of studies involving CHAT, TFAM, and VR22 polymorphisms and Alzheimer disease susceptibility. For TFAM and VR22, no significant association was detected in studied single-nucleotide polymorphisms (SNPs). Rs10997691 and rs7070570 of VR22 are not significantly associated with AD risk. PMID: 27272392
- Loss of CTNNA3 expression is associated with hepatocellular carcinoma. PMID: 26882563
- Among the genes replicated across the two samples (permutated p < 0.05 in both of them), CTNNA3 appeared promising. The inorganic cation transmembrane transporter activity pathway (GO:0022890) was associated with antidepressant response in both samples (p = 2.9e-5 and p = 0.001 in the Korean and STAR*D samples, respectively) PMID: 27091189
- Two African-ancestry specific variants were found to be significantly associated with metabolic syndrome S: SNP rs73989312[A] near CA10 that conferred increased risk; and SNP rs77244975[C] in CTNNA3 that conferred protection against this disease. PMID: 26507551
- CTNNA3 and SEMA3D: Promising loci for asthma exacerbation identified through multiple genome-wide association studies PMID: 26073756
- This study demonstrated that the copy number variations of CTNNA3 relate to opioid dependence. PMID: 25345593
- Copy Number Variations in CTNNA3 and RBFOX1 Associate with Pediatric Food Allergy PMID: 26188062
- Significant interaction with maternal CMV infection was found for rs7902091 (PSNP x CMV=7.3 x 10-7) in CTNNA3, a gene not previously implicated in schizophrenia. PMID: 23358160
- These results suggest aberrant Claudin 7, alpha - and beta-catenin expression and/or localisation patterns may be putative markers for distinguishing localised prostate cancer from aggressive metastatic disease when used collectively. PMID: 24358122
- CTNNA2 and CTNNA3 are tumor suppressor genes frequently mutated in laryngeal carcinomas. PMID: 24100690
- CTNNA3 is not major contributor or genetic risk factor for childhood asthma but rather influence the disease expression and response to therapy. PMID: 24407380
- Results suggest a causal relationship between CTNNA3 mutations and arrhythmogenic right ventricular cardiomyopathy PMID: 23136403
- GWAS study of diisocyanate asthma demonstrates an association between two closely linked CTNNA3 gene SNPs and diisocyanate asthma. PMID: 22977168
- A VE-cadherin-PAR3-alpha-catenin complex regulates the Golgi localization and activity of cytosolic phospholipase A(2)alpha in endothelial cells. PMID: 22398721
- Low alpha catenin is involved in colorectal cancer metastasis. PMID: 21562850
- Apart from the complexity of its regulation, alterations in both CTNNA3 and LRTMM3 are implicated in human disease. PMID: 21598020
- Our comprehensive mutation scanning did not identify any Arrhythmogenic right ventricular cardiomyopathy (ARVC) causing mutations. PMID: 21254927
- The risk allele (Y153H) of the preeclampsia susceptibility gene STOX1 negatively regulates trophoblast invasion by upregulation of the cell-cell adhesion protein a-T-catenin (CTNNA3). PMID: 20400461
- gene localized on chromosome 10q21 and is 1,776 kb in length; mutation screening of all 18 exons of the CTNNA3 gene in a family showing dilated cardiomyopathy (DCM)linkage to the 10q21-q23 locus, however, has not detected any DCM-linked CTNNA3 mutations PMID: 12596047
- We found no association between CTNNA3 and Alzheimer disease in subjects showing linkage to chromosome 10, nor were these SNPs associated with Abeta deposition in brain. CTNNA3 is unlikely to account for the susceptibility locus on chromosome 10 PMID: 15075440
- GATA-4 and MEF2C transcription factors transactivate the alphaT-catenin gene CTNNA3 in a tissue-specific manner. PMID: 15302915
- Dosage compensation of CTNNA3 and p57KIP2 in the placenta shares a conserved regulatory mechanism. PMID: 15533819
- VR22 or a nearby gene influences susceptibility to Alzheimer's disease, and the effect is dependent on APOE status PMID: 16199552
- This is the first study to report evidence of an association between a potentially functional, non-synonymous SNP in VR22 and the risk for Alzheimer's disease. PMID: 17209133
- In conclusion, monoallelic and biallelic CTNNA3 expression patterns are demonstrable in tumor bladder tissue, whereas normal cases show only biallelic expression. PMID: 17366617
- By providing an extra link between the cadherin-catenin complex and intermediate filaments, the binding of alphaT-catenin to plakophilin-2 is proposed to be a means of modulating and strengthening cell-cell adhesion between cardiac muscle cells. PMID: 17535849
- CTNNA3 may affect late-onset Alzheimer's disease through a female-specific mechanism independent of the APOE-epsilon4 allele. PMID: 17761686
- Results suggest that multiple genetic polymorphisms of CTNNA3 may be determinants of susceptibility to toluene diisocyanate-induced induced asthma. PMID: 19187332
- Alpha-T catenin gene has variants which influence Abeta42 and contribute to the previously reported linkage for plasma Abeta42 in late-onset Alzheimer's disease families. PMID: 14559775
顯示更多
收起更多
-
相關疾病:Arrhythmogenic right ventricular dysplasia, familial, 13 (ARVD13)
-
亞細胞定位:Cytoplasm, cytoskeleton.
-
蛋白家族:Vinculin/alpha-catenin family
-
組織特異性:Predominantly expressed in heart and testis. Expressed at lower levels in brain, kidney, liver and skeletal muscle.
-
數據庫鏈接:
Most popular with customers
-
-
YWHAB Recombinant Monoclonal Antibody
Applications: ELISA, WB, IHC, IF, FC
Species Reactivity: Human, Mouse, Rat
-
Phospho-YAP1 (S127) Recombinant Monoclonal Antibody
Applications: ELISA, WB, IHC
Species Reactivity: Human
-
-
-
-
-















