CTAGE5 Antibody
-
中文名稱:CTAGE5兔多克隆抗體
-
貨號:CSB-PA006131LA01HU
-
規格:¥440
-
圖片:
-
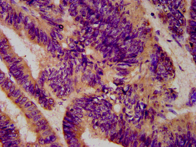
IHC image of CSB-PA006131LA01HU diluted at 1:600 and staining in paraffin-embedded human colon cancer performed on a Leica BondTM system. After dewaxing and hydration, antigen retrieval was mediated by high pressure in a citrate buffer (pH 6.0). Section was blocked with 10% normal goat serum 30min at RT. Then primary antibody (1% BSA) was incubated at 4°C overnight. The primary is detected by a biotinylated secondary antibody and visualized using an HRP conjugated SP system.
-
-
其他:
產品詳情
-
產品名稱:Rabbit anti-Homo sapiens (Human) CTAGE5 Polyclonal antibody
-
Uniprot No.:
-
基因名:CTAGE5
-
宿主:Rabbit
-
反應種屬:Human
-
免疫原:Recombinant Human Endoplasmic reticulum export factor CTAGE5 protein (515-632AA)
-
免疫原種屬:Homo sapiens (Human)
-
標記方式:Non-conjugated
本頁面中的產品,CTAGE5 Antibody (CSB-PA006131LA01HU),的標記方式是Non-conjugated。對于CTAGE5 Antibody,我們還提供其他標記。見下表:
-
克隆類型:Polyclonal
-
抗體亞型:IgG
-
純化方式:>95%, Protein G purified
-
濃度:It differs from different batches. Please contact us to confirm it.
-
保存緩沖液:Preservative: 0.03% Proclin 300
Constituents: 50% Glycerol, 0.01M PBS, pH 7.4 -
產品提供形式:Liquid
-
應用范圍:ELISA, IHC
-
推薦稀釋比:
Application Recommended Dilution IHC 1:500-1:1000 -
Protocols:
-
儲存條件:Upon receipt, store at -20°C or -80°C. Avoid repeated freeze.
-
貨期:Basically, we can dispatch the products out in 1-3 working days after receiving your orders. Delivery time maybe differs from different purchasing way or location, please kindly consult your local distributors for specific delivery time.
-
用途:For Research Use Only. Not for use in diagnostic or therapeutic procedures.
相關產品
靶點詳情
-
基因功能參考文獻:
- TANGO1/CTAGE5 receptor serves as a polyvalent template for assembly of large COPII coats. PMID: 27551091
- In this study, we identified specific and critical residues in the Sec12-binding region of cTAGE5 (E75A K76A, K89A, and S97A) and confirmed that cTAGE5-mediated Sec12 accumulation at ER exit sites is required for collagen VII secretion. PMID: 27170179
- Data indicate that MIA2 represents a potential novel acute phase protein and MIA2 expression responds to liver damage in chronic liver diseases. PMID: 12586826
- The novel gene MIA2 acts as a tumour suppressor in hepatocellular carcinoma. PMID: 17881540
- population and bioinformatic analysis of MGEA6 P521A variation as a risk factor for Fahr's disease; genetic screen data show this mutation is very rare; bioinformatics analysis provided conflicting findings PMID: 20838928
- cTAGE5 forms a complex with TANGO1 (MIA3), a previously characterized cargo receptor for collagen VII PMID: 21525241
- HBx activates hepatoma cell growth and proliferation through repression of the potential tumor suppressor MIA2. PMID: 22120627
- 22 members of an Iranian family with basal ganglia calfication as well as 100 controls were genotyped for the C>G P521A variant of CTAGE5, but none were found. PMID: 23054591
- Findings suggest that the roles of MIA2 might be based on the variety of the integrins and the subtypes of mitogen-activated protein kinase in oral carcinoma. PMID: 23511560
- Sec12 recruitment to endoplasmic reticulum exit sites is organized by its direct interaction with cTAGE5, a previously characterized collagen cargo receptor component, which functions together with TANGO1 at endoplasmic reticulum exit sites. PMID: 25202031
- These findings define an interaction between the common MIA2(I141M) variant and the ER stress/UPR system and specify a subgroup of PDAC patients who are more likely to benefit from adjuvant chemotherapy. PMID: 25657029
顯示更多
收起更多
-
相關疾病:Autoantibodies against CTAGE5 are present in several cancer types, including benign meningioma and cutaneous T-cell lymphoma (CTCL).
-
蛋白家族:CTAGE family
-
數據庫鏈接:
Most popular with customers
-
-
YWHAB Recombinant Monoclonal Antibody
Applications: ELISA, WB, IHC, IF, FC
Species Reactivity: Human, Mouse, Rat
-
-
-
-
-
-















