CST7 Antibody
-
中文名稱:CST7兔多克隆抗體
-
貨號:CSB-PA006095ESR2HU
-
規格:¥440
-
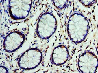
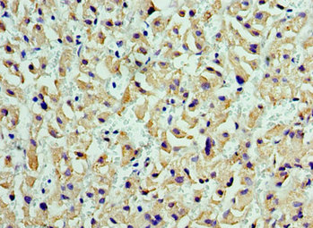
圖片:
-
其他:
產品詳情
-
產品名稱:Rabbit anti-Homo sapiens (Human) CST7 Polyclonal antibody
-
Uniprot No.:
-
基因名:CST7
-
別名:CMAP antibody; CST 7 antibody; Cst7 antibody; Cystatin 7 antibody; cystatin F (leukocystatin) antibody; Cystatin like metastasis associated protein antibody; Cystatin-7 antibody; Cystatin-F antibody; Cystatin-like metastasis-associated protein antibody; Cystatin7 antibody; CystatinF antibody; CYTF_HUMAN antibody; dJ568C11.1 antibody; Leukocystatin antibody
-
宿主:Rabbit
-
反應種屬:Human
-
免疫原:Recombinant Human Cystatin-F protein (20-145AA)
-
免疫原種屬:Homo sapiens (Human)
-
標記方式:Non-conjugated
-
克隆類型:Polyclonal
-
抗體亞型:IgG
-
純化方式:Antigen Affinity Purified
-
濃度:It differs from different batches. Please contact us to confirm it.
-
保存緩沖液:PBS with 0.02% sodium azide, 50% glycerol, pH7.3.
-
產品提供形式:Liquid
-
應用范圍:ELISA, IHC
-
推薦稀釋比:
Application Recommended Dilution IHC 1:20-1:200 -
Protocols:
-
儲存條件:Upon receipt, store at -20°C or -80°C. Avoid repeated freeze.
-
貨期:Basically, we can dispatch the products out in 1-3 working days after receiving your orders. Delivery time maybe differs from different purchasing way or location, please kindly consult your local distributors for specific delivery time.
-
用途:For Research Use Only. Not for use in diagnostic or therapeutic procedures.
相關產品
靶點詳情
-
功能:Inhibits papain and cathepsin L but with affinities lower than other cystatins. May play a role in immune regulation through inhibition of a unique target in the hematopoietic system.
-
基因功能參考文獻:
- during monocyte to macrophage differentiation, the endosomal/lysosomal proteolytic activity can be regulated by cystatin F whose expression is under the control of transcriptional factor C/EBP alpha. PMID: 30033148
- Regulation of cathepsins S and L by cystatin F during maturation of dendritic cells. PMID: 22365146
- Transgenic cystatin F is expressed in model mice only during demyelination; in chronic demyelination, remyelinating ability is lost. PMID: 21344476
- cystatin F is an intracellular cysteine peptidase inhibitor with readily regulated expression PMID: 12423348
- CST7 is secreted, but artificial modification of its C-terminus can induce its endocytic targeting. PMID: 15212960
- Cystatin F was not colocalized with cystatin C shich suggests distinct functions for these two cysteine protease inhibitors in U937 cells. PMID: 15752368
- analysis of reduction-dependent activation of human cystatin F PMID: 16601115
- A latent protease inhibitor which is itself regulated by proteolysis in the endocytic pathway. PMID: 18256700
- Data demonstrate the addition of N-linked sugars to an Asn-X-Cys motif in cystatin F and suggest that the mannose 6-phosphate sorting machinery is used to divert cystatin F from the secretory pathway and to mediate its uptake from extracellular pools. PMID: 19192250
顯示更多
收起更多
-
亞細胞定位:Secreted. Cytoplasm.
-
蛋白家族:Cystatin family
-
組織特異性:Primarily expressed in peripheral blood cells and spleen.
-
數據庫鏈接:
Most popular with customers
-
-
YWHAB Recombinant Monoclonal Antibody
Applications: ELISA, WB, IHC, IF, FC
Species Reactivity: Human, Mouse, Rat
-
Phospho-YAP1 (S127) Recombinant Monoclonal Antibody
Applications: ELISA, WB, IHC
Species Reactivity: Human
-
-
-
-
-















