CST1 Antibody
-
中文名稱:CST1兔多克隆抗體
-
貨號:CSB-PA006088ESR1HU
-
規格:¥440
-
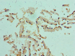
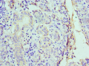
圖片:
-
其他:
產品詳情
-
產品名稱:Rabbit anti-Homo sapiens (Human) CST1 Polyclonal antibody
-
Uniprot No.:
-
基因名:CST1
-
別名:CST1 antibody; Cystain SAI antibody; Cystain-SA-I antibody; Cystatin 1 antibody; Cystatin-1 antibody; Cystatin-SN antibody; Cystatin1 antibody; Cysteine proteinase inhibitor, type 2 family antibody; CYTN antibody; CYTN_HUMAN antibody; Salivary cystatin SA1 antibody; Salivary cystatin-SA-1 antibody
-
宿主:Rabbit
-
反應種屬:Human
-
免疫原:Recombinant Human Cystatin-SN protein (20-141AA)
-
免疫原種屬:Homo sapiens (Human)
-
標記方式:Non-conjugated
-
克隆類型:Polyclonal
-
抗體亞型:IgG
-
純化方式:Antigen Affinity Purified
-
濃度:It differs from different batches. Please contact us to confirm it.
-
保存緩沖液:PBS with 0.02% sodium azide, 50% glycerol, pH7.3.
-
產品提供形式:Liquid
-
應用范圍:ELISA, IHC
-
推薦稀釋比:
Application Recommended Dilution IHC 1:20-1:200 -
Protocols:
-
儲存條件:Upon receipt, store at -20°C or -80°C. Avoid repeated freeze.
-
貨期:Basically, we can dispatch the products out in 1-3 working days after receiving your orders. Delivery time maybe differs from different purchasing way or location, please kindly consult your local distributors for specific delivery time.
-
用途:For Research Use Only. Not for use in diagnostic or therapeutic procedures.
相關產品
靶點詳情
-
功能:Human saliva appears to contain several cysteine proteinase inhibitors that are immunologically related to cystatin S but that differ in their specificity due to amino acid sequence differences. Cystatin SN, with a pI of 7.5, is a much better inhibitor of papain and dipeptidyl peptidase I than is cystatin S, although both inhibit ficin equally well.
-
基因功能參考文獻:
- Results revealed that CST1 expression was upregulated in colon cancer (CC) compared with normal tissues and contributed to CC cell proliferation. PMID: 29845224
- High CST1 expression is negatively correlated with survival of breast cancer patients. CST1 promotes cell proliferation, clone formation, and metastasis in breast cancer cells. CST1 is a novel potential prognostic biomarker and therapeutic target for breast cancer. PMID: 28523467
- this results identified cystatin 1 as a biomarker in patients with seasonal allergic rhinitis PMID: 28633877
- These results indicate that CST1-mediated extracellular CatB activity enhances tumor development by preventing cellular senescence. PMID: 28383558
- interactions of human family 1 & 2 cystatins with cathepsin L1 PMID: 27764212
- high expression of Cystatin SN is a significant prognostic indicator of a higher rate of recurrence, metastatic risk, and poor survival in patients with surgically resected NSCLCs. PMID: 25648368
- In conclusion, our data suggest that CST1 might contribute to the proliferation of pancreatic cancer cells and could be a potential biomarker for the early detection of pancreatic cancer. PMID: 25577248
- CST1 may contribute to inactivation of protease allergens and help re-establish homeostasis of the nasal membranes. PMID: 23950865
- CST1 expression at both the messenger RNA and protein levels was barely detected in control cells, which included early passage proliferating, quiescent, or immortal human fibroblasts PMID: 21636832
- Murine monoclonal antibodies were made which can distinguish between CST1 and CST2. PMID: 15829315
- CST1 might be highly involved in gastric tumorigenesis and regulate the proteolytic activity of cysteine proteases. PMID: 19463800
- Identification of Cystatin SN as a novel tumor marker for colorectal cancer. PMID: 19513549
顯示更多
收起更多
-
亞細胞定位:Secreted.
-
蛋白家族:Cystatin family
-
組織特異性:Expressed in submandibular and sublingual saliva but not in parotid saliva (at protein level). Expressed in saliva, tears, urine and seminal fluid.
-
數據庫鏈接:
Most popular with customers
-
-
YWHAB Recombinant Monoclonal Antibody
Applications: ELISA, WB, IHC, IF, FC
Species Reactivity: Human, Mouse, Rat
-
Phospho-YAP1 (S127) Recombinant Monoclonal Antibody
Applications: ELISA, WB, IHC
Species Reactivity: Human
-
-
-
-
-















