CSNK2A2 Antibody
-
中文名稱:CSNK2A2兔多克隆抗體
-
貨號:CSB-PA526319HA01HU
-
規格:¥440
-
圖片:
-
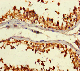
Immunohistochemistry of paraffin-embedded human testis tissue using CSB-PA526319HA01HU at dilution of 1:100
-
Immunofluorescence staining of PC-3 cells with CSB-PA526319HA01HU at 1:133, counter-stained with DAPI. The cells were fixed in 4% formaldehyde, permeabilized using 0.2% Triton X-100 and blocked in 10% normal Goat Serum. The cells were then incubated with the antibody overnight at 4°C. The secondary antibody was Alexa Fluor 488-congugated AffiniPure Goat Anti-Rabbit IgG(H+L).
-
Immunofluorescence staining of HepG2 cells with CSB-PA526319HA01HU at 1:66, counter-stained with DAPI. The cells were fixed in 4% formaldehyde, permeabilized using 0.2% Triton X-100 and blocked in 10% normal Goat Serum. The cells were then incubated with the antibody overnight at 4°C. The secondary antibody was Alexa Fluor 488-congugated AffiniPure Goat Anti-Rabbit IgG(H+L).
-
-
其他:
產品詳情
-
產品名稱:Rabbit anti-Homo sapiens (Human) CSNK2A2 Polyclonal antibody
-
Uniprot No.:
-
基因名:
-
別名:Casein kinase 2 alpha prime polypeptide antibody; Casein kinase II alpha' chain antibody; Casein kinase II subunit alpha' antibody; CK II alpha' antibody; CK II antibody; CK2A2 antibody; CKII antibody; CSK22_HUMAN antibody; CSNK2A1 antibody; CSNK2A2 antibody; FLJ43934 antibody
-
宿主:Rabbit
-
反應種屬:Human
-
免疫原:Recombinant Human Casein kinase II subunit alpha\' protein (8-350AA)
-
免疫原種屬:Homo sapiens (Human)
-
標記方式:Non-conjugated
本頁面中的產品,CSNK2A2 Antibody (CSB-PA526319HA01HU),的標記方式是Non-conjugated。對于CSNK2A2 Antibody,我們還提供其他標記。見下表:
-
克隆類型:Polyclonal
-
抗體亞型:IgG
-
純化方式:>95%, Protein G purified
-
濃度:It differs from different batches. Please contact us to confirm it.
-
保存緩沖液:Preservative: 0.03% Proclin 300
Constituents: 50% Glycerol, 0.01M PBS, PH 7.4 -
產品提供形式:Liquid
-
應用范圍:ELISA, IHC, IF
-
推薦稀釋比:
Application Recommended Dilution IHC 1:20-1:200 IF 1:50-1:200 -
Protocols:
-
儲存條件:Upon receipt, store at -20°C or -80°C. Avoid repeated freeze.
-
貨期:Basically, we can dispatch the products out in 1-3 working days after receiving your orders. Delivery time maybe differs from different purchasing way or location, please kindly consult your local distributors for specific delivery time.
-
用途:For Research Use Only. Not for use in diagnostic or therapeutic procedures.
相關產品
靶點詳情
-
功能:Catalytic subunit of a constitutively active serine/threonine-protein kinase complex that phosphorylates a large number of substrates containing acidic residues C-terminal to the phosphorylated serine or threonine. Regulates numerous cellular processes, such as cell cycle progression, apoptosis and transcription, as well as viral infection. May act as a regulatory node which integrates and coordinates numerous signals leading to an appropriate cellular response. During mitosis, functions as a component of the p53/TP53-dependent spindle assembly checkpoint (SAC) that maintains cyclin-B-CDK1 activity and G2 arrest in response to spindle damage. Also required for p53/TP53-mediated apoptosis, phosphorylating 'Ser-392' of p53/TP53 following UV irradiation. Can also negatively regulate apoptosis. Phosphorylates the caspases CASP9 and CASP2 and the apoptotic regulator NOL3. Phosphorylation protects CASP9 from cleavage and activation by CASP8, and inhibits the dimerization of CASP2 and activation of CASP8. Regulates transcription by direct phosphorylation of RNA polymerases I, II, III and IV. Also phosphorylates and regulates numerous transcription factors including NF-kappa-B, STAT1, CREB1, IRF1, IRF2, ATF1, SRF, MAX, JUN, FOS, MYC and MYB. Phosphorylates Hsp90 and its co-chaperones FKBP4 and CDC37, which is essential for chaperone function. Regulates Wnt signaling by phosphorylating CTNNB1 and the transcription factor LEF1. Acts as an ectokinase that phosphorylates several extracellular proteins. During viral infection, phosphorylates various proteins involved in the viral life cycles of EBV, HSV, HBV, HCV, HIV, CMV and HPV.
-
基因功能參考文獻:
- The influence of the combined treatment on apoptosis in leukemia cells, as well as on cell-cycle progression and the levels of TS, CK2alpha and P-Ser529-p65 were determined. PMID: 30061228
- CK2 is required to mediate FXR SUMOylation. PMID: 28201649
- this study shows that breakpoint cluster region protein regulates inflammation development via the alpha subunit of casein kinase II PMID: 27630163
- we identify a therapeutically exploitable posttranslational mechanism by which CK2alpha-mediated degradation of BRMS1 promotes metastases in lung cancer PMID: 26980766
- In this study, the disordered feature of Nopp140 and the effect of CK2alpha on the structure of Nopp140 were examined using single-molecule fluorescence resonance energy transfer (smFRET) and electron paramagnetic resonance (EPR). PMID: 27297113
- KLF4 acts as a tumor suppressor or oncogene to activate or repress target gene transcription depending on its acetylation status, which is regulated by p21 and CK2 interaction-mediated HDAC2 phosphorylation PMID: 26729194
- results suggest that CK2alpha might play an oncogenic role in hepatocellular carcinoma PMID: 26430962
- We conclude that this class of chimeric peptides, in addition to altering some properties of CK2 holoenzyme, affects several other cellular targets, causing profound perturbations of cell biology PMID: 25936516
- we propose that Foxc2 is functionally maintained in the cytoplasm of normal epithelial cells by CK2alpha/alpha'-mediated phosphorylation at serine 124, which is dependent on proper targeting of the holoenzyme via the CK2b regulatory subunit. PMID: 25486430
- Data suggest casein kinase II (CK2) inhibitors indeno[1,2-b]indole-9,10-dione, which also inhibited the breast cancer resistance protein ABCG2, might be a good therapeutic strategy to improve anticancer drug efficiency. PMID: 25272055
- CSNK2A2 phosphorylates telomeric repeat binding factor 1 and plays an important role for regulation of telomere length. PMID: 24795349
- Lack of DNA-PKcs is accompanied by an increase in the protein level of one of the catalytic isozymes of protein kinase CK2, i.e., CK2alpha' and a concomitant increase in CK2 activity. PMID: 21750982
- A thorough investigation of CK2alpha identifies key energetic hot spots on the surface of CK2alpha and their thermostability and catalytic activity in comparison to the wild type subunit. PMID: 21142136
- Association and regulation of casein kinase 2 activity by adenomatous polyposis coli protein PMID: 11972058
- FGF-1 binds to both the catalytic alpha-subunit & to the regulatory beta-subunit of CK2. FGF-1 & CK2 alpha are shown to interact in vivo. A correlation between the mitogenic potential of FGF-1 mutants & their ability to bind to CK2 alpha was observed. PMID: 12145206
- physiological control of G-protein regulation by phosducin-like protein seems to involve phosphorylation by CK2 and alternative splicing of the regulator PMID: 12466282
- Ets motifs play, in cooperation with Sp motif clusters, a central role in regulating CK2alpha' gene transcription. PMID: 16335532
- Results identified the motor neuron protein KIF5C as a new binding partner for the protein kinase CK2alpha'. PMID: 19011756
- The CK2 alpha' phosphorylates APRIL and therefore is responsible for the regulation of the nucleocytoplasmic translocation of CD83 mRNA. PMID: 19130553
顯示更多
收起更多
-
蛋白家族:Protein kinase superfamily, Ser/Thr protein kinase family, CK2 subfamily
-
數據庫鏈接:
Most popular with customers
-
YWHAB Recombinant Monoclonal Antibody
Applications: ELISA, WB, IHC, IF, FC
Species Reactivity: Human, Mouse, Rat
-
Phospho-YAP1 (S127) Recombinant Monoclonal Antibody
Applications: ELISA, WB, IHC
Species Reactivity: Human
-
-
-
-
-
-















