CSNK1G2 Antibody
-
中文名稱:CSNK1G2兔多克隆抗體
-
貨號:CSB-PA006070ESR2HU
-
規格:¥440
-
圖片:
-
Western blot
All lanes: CSNK1G2 antibody at 4.21μg/ml
Lane 1: Mouse gonadal tissue
Lane 2: Hela whole cell lysate
Secondary
Goat polyclonal to rabbit IgG at 1/10000 dilution
Predicted band size: 47 kDa
Observed band size: 47 kDa -
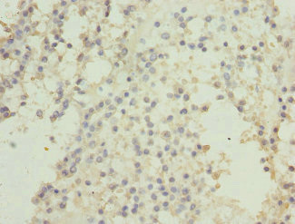
Immunohistochemistry of paraffin-embedded human testis tissue using CSB-PA006070ESR2HU at dilution of 1:100
-
Immunohistochemistry of paraffin-embedded human breast cancer using CSB-PA006070ESR2HU at dilution of 1:100
-
Immunoprecipitating CSNK1G2 in Hela whole cell lysate
Lane 1: Rabbit control IgG instead of (1μg) instead of CSB-PA006070ESR2HU in Hela whole cell lysate. For western blotting, a HRP-conjugated anti-rabbit IgG, specific to the non-reduced form of IgG was used the Secondary antibody (1/50000)
Lane 2: CSB-PA006070ESR2HU (4μg) + Hela whole cell lysate (500μg)
Lane 3: Hela whole cell lysate (20μg)
-
-
其他:
產品詳情
-
產品名稱:Rabbit anti-Homo sapiens (Human) CSNK1G2 Polyclonal antibody
-
Uniprot No.:
-
基因名:
-
別名:Casein kinase 1; gamma 2 antibody; Casein kinase I isoform gamma 2 antibody; Casein kinase I isoform gamma-2 antibody; CK1g2 antibody; CKI gamma 2 antibody; CKI-gamma 2 antibody; CSNK1G 2 antibody; Csnk1g2 antibody; KC1G2_HUMAN antibody
-
宿主:Rabbit
-
反應種屬:Human, Mouse
-
免疫原:Recombinant Human Casein kinase I isoform gamma-2 protein (316-415AA)
-
免疫原種屬:Homo sapiens (Human)
-
標記方式:Non-conjugated
-
克隆類型:Polyclonal
-
抗體亞型:IgG
-
純化方式:Antigen Affinity Purified
-
濃度:It differs from different batches. Please contact us to confirm it.
-
保存緩沖液:PBS with 0.02% sodium azide, 50% glycerol, pH7.3.
-
產品提供形式:Liquid
-
應用范圍:ELISA, WB, IHC, IP
-
推薦稀釋比:
Application Recommended Dilution WB 1:1000-1:5000 IHC 1:20-1:200 IP 1:200-1:2000 -
Protocols:
-
儲存條件:Upon receipt, store at -20°C or -80°C. Avoid repeated freeze.
-
貨期:Basically, we can dispatch the products out in 1-3 working days after receiving your orders. Delivery time maybe differs from different purchasing way or location, please kindly consult your local distributors for specific delivery time.
-
用途:For Research Use Only. Not for use in diagnostic or therapeutic procedures.
相關產品
靶點詳情
-
功能:Serine/threonine-protein kinase. Casein kinases are operationally defined by their preferential utilization of acidic proteins such as caseins as substrates. It can phosphorylate a large number of proteins. Participates in Wnt signaling. Phosphorylates COL4A3BP/CERT, MTA1 and SMAD3. Involved in brain development and vesicular trafficking and neurotransmitter releasing from small synaptic vesicles. Regulates fast synaptic transmission mediated by glutamate. SMAD3 phosphorylation promotes its ligand-dependent ubiquitination and subsequent proteasome degradation, thus inhibiting SMAD3-mediated TGF-beta responses. Hyperphosphorylation of the serine-repeat motif of COL4A3BP/CERT leads to its inactivation by dissociation from the Golgi complex, thus down-regulating ER-to-Golgi transport of ceramide and sphingomyelin synthesis. Triggers PER1 proteasomal degradation probably through phosphorylation.
-
基因功能參考文獻:
- MicroRNA-155 regulates casein kinase 1 gamma 2: a potential pathogenetic role in chronic lymphocytic leukemia PMID: 28885613
- MTA1s interacts with CKI-gamma2, which can phosphorylate MTA1s in an antiestrogen-dependent manner.Estrogen stimulates CKI-gamma2. CKI-gamma2 phosphorylates and modulates the functions of MTA1s. PMID: 15077195
- Data indicate that SNPs rs740423, rs2277737, rs1059684 of CSNK1G2 gene may contribute to familial febrile convulsions in children. PMID: 15300631
- Ligand-dependent ubiquitination of Smad3 is regulated by CK1g2, an inhibitor of TGF-beta signaling. PMID: 18794808
- These results indicate that CKIgamma2 hyperphosphorylates the serine-repeat motif of CERT, thereby inactivating CERT and down-regulating the synthesis of sphingomyelin. PMID: 19005213
顯示更多
收起更多
-
亞細胞定位:Cytoplasm, cell cortex. Cytoplasm.
-
蛋白家族:Protein kinase superfamily, CK1 Ser/Thr protein kinase family, Casein kinase I subfamily
-
組織特異性:Testis.
-
數據庫鏈接:
Most popular with customers
-
-
YWHAB Recombinant Monoclonal Antibody
Applications: ELISA, WB, IHC, IF, FC
Species Reactivity: Human, Mouse, Rat
-
-
-
-
-
-















