CSNK1G1 Antibody
-
中文名稱:CSNK1G1兔多克隆抗體
-
貨號:CSB-PA888030ESR1HU
-
規格:¥440
-
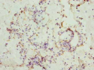
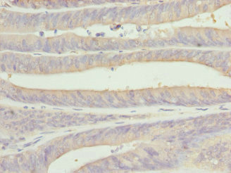
圖片:
-
其他:
產品詳情
-
產品名稱:Rabbit anti-Homo sapiens (Human) CSNK1G1 Polyclonal antibody
-
Uniprot No.:
-
基因名:
-
別名:9130020E21Rik antibody; Casein kinase 1 gamma 1 antibody; Casein kinase I isoform gamma 1 antibody; Casein kinase I isoform gamma-1 antibody; CKI gamma 1 antibody; CKI-gamma 1 antibody; CSNK1G1 antibody; EC 2.7.11.1 antibody; KC1G1_HUMAN antibody
-
宿主:Rabbit
-
反應種屬:Human
-
免疫原:Recombinant Human Casein kinase I isoform gamma-1 protein (298-422AA)
-
免疫原種屬:Homo sapiens (Human)
-
標記方式:Non-conjugated
-
克隆類型:Polyclonal
-
抗體亞型:IgG
-
純化方式:Antigen Affinity Purified
-
濃度:It differs from different batches. Please contact us to confirm it.
-
保存緩沖液:PBS with 0.02% sodium azide, 50% glycerol, pH7.3.
-
產品提供形式:Liquid
-
應用范圍:ELISA, IHC
-
推薦稀釋比:
Application Recommended Dilution IHC 1:20-1:200 -
Protocols:
-
儲存條件:Upon receipt, store at -20°C or -80°C. Avoid repeated freeze.
-
貨期:Basically, we can dispatch the products out in 1-3 working days after receiving your orders. Delivery time maybe differs from different purchasing way or location, please kindly consult your local distributors for specific delivery time.
-
用途:For Research Use Only. Not for use in diagnostic or therapeutic procedures.
相關產品
靶點詳情
-
功能:Serine/threonine-protein kinase. Casein kinases are operationally defined by their preferential utilization of acidic proteins such as caseins as substrates. It can phosphorylate a large number of proteins. Participates in Wnt signaling. Regulates fast synaptic transmission mediated by glutamate. Phosphorylates CLSPN.
-
基因功能參考文獻:
- CK1gamma1 phosphorylates p65 and consequently promotes its degradation by ubiquitin E3 ligases CUL2 and COMMD1. PMID: 24442433
- casein kinase 1 gamma 1 phosphorylates claspin PMID: 21680713
- A 1756 bp cDNA encoded human protein kinase CK1 (438 AA, mol wt 50.272 Da, isoelectric point of 9.37) mapping to chromosome 15q22. PMID: 12119564
-
亞細胞定位:Cytoplasm.
-
蛋白家族:Protein kinase superfamily, CK1 Ser/Thr protein kinase family, Casein kinase I subfamily
-
數據庫鏈接:
Most popular with customers
-
-
YWHAB Recombinant Monoclonal Antibody
Applications: ELISA, WB, IHC, IF, FC
Species Reactivity: Human, Mouse, Rat
-
Phospho-YAP1 (S127) Recombinant Monoclonal Antibody
Applications: ELISA, WB, IHC
Species Reactivity: Human
-
-
-
-
-















