CSN3 Antibody
-
中文名稱:CSN3兔多克隆抗體
-
貨號:CSB-PA006064LA01HU
-
規格:¥440
-
圖片:
-
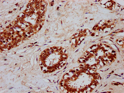
IHC image of CSB-PA006064LA01HU diluted at 1:300 and staining in paraffin-embedded human breast cancer performed on a Leica BondTM system. After dewaxing and hydration, antigen retrieval was mediated by high pressure in a citrate buffer (pH 6.0). Section was blocked with 10% normal goat serum 30min at RT. Then primary antibody (1% BSA) was incubated at 4°C overnight. The primary is detected by a biotinylated secondary antibody and visualized using an HRP conjugated SP system.
-
-
其他:
產品詳情
-
產品名稱:Rabbit anti-Homo sapiens (Human) CSN3 Polyclonal antibody
-
Uniprot No.:
-
基因名:CSN3
-
別名:CSN3 antibody; CASK antibody; CSN10 antibody; CSNK antibody; Kappa-casein antibody
-
宿主:Rabbit
-
反應種屬:Human
-
免疫原:Recombinant Human Kappa-casein protein (24-182AA)
-
免疫原種屬:Homo sapiens (Human)
-
標記方式:Non-conjugated
本頁面中的產品,CSN3 Antibody (CSB-PA006064LA01HU),的標記方式是Non-conjugated。對于CSN3 Antibody,我們還提供其他標記。見下表:
-
克隆類型:Polyclonal
-
抗體亞型:IgG
-
純化方式:>95%, Protein G purified
-
濃度:It differs from different batches. Please contact us to confirm it.
-
保存緩沖液:Preservative: 0.03% Proclin 300
Constituents: 50% Glycerol, 0.01M PBS, pH 7.4 -
產品提供形式:Liquid
-
應用范圍:ELISA, IHC
-
推薦稀釋比:
Application Recommended Dilution IHC 1:200-1:500 -
Protocols:
-
儲存條件:Upon receipt, store at -20°C or -80°C. Avoid repeated freeze.
-
貨期:Basically, we can dispatch the products out in 1-3 working days after receiving your orders. Delivery time maybe differs from different purchasing way or location, please kindly consult your local distributors for specific delivery time.
-
用途:For Research Use Only. Not for use in diagnostic or therapeutic procedures.
相關產品
靶點詳情
-
功能:Kappa-casein stabilizes micelle formation, preventing casein precipitation in milk.
-
基因功能參考文獻:
- CSN3 was found to contain an interesting coding polymorphism as well as containing excess rare variation as compared with the other genes evaluated in cerebral ischemia patients. PMID: 22536414
- The recombinant Caseinomacropeptide (hCMP)has been produced as a secretory product in yeast and was estimated to be 7.0kDa by SDS-PAGE, and showed a lower glycosylation than the natural bovine CMP. PMID: 15866733
- human milk plasma protein exterts an apoptotic effect on MCF-7 adenocarcinoma cells. PMID: 18505157
-
亞細胞定位:Secreted.
-
蛋白家族:Kappa-casein family
-
組織特異性:Mammary gland specific. Secreted in milk.
-
數據庫鏈接:
Most popular with customers
-
-
YWHAB Recombinant Monoclonal Antibody
Applications: ELISA, WB, IHC, IF, FC
Species Reactivity: Human, Mouse, Rat
-
Phospho-YAP1 (S127) Recombinant Monoclonal Antibody
Applications: ELISA, WB, IHC
Species Reactivity: Human
-
-
-
-
-















