CSMD3 Antibody
-
中文名稱:CSMD3兔多克隆抗體
-
貨號:CSB-PA800102LA01HU
-
規格:¥440
-
圖片:
-
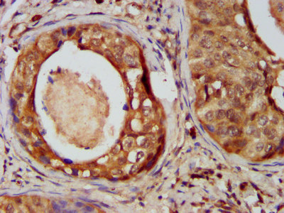
IHC image of CSB-PA800102LA01HU diluted at 1:400 and staining in paraffin-embedded human cervical cancer performed on a Leica BondTM system. After dewaxing and hydration, antigen retrieval was mediated by high pressure in a citrate buffer (pH 6.0). Section was blocked with 10% normal goat serum 30min at RT. Then primary antibody (1% BSA) was incubated at 4°C overnight. The primary is detected by a biotinylated secondary antibody and visualized using an HRP conjugated SP system.
-
Immunofluorescence staining of HepG2 cells with CSB-PA800102LA01HU at 1: 133, counter-stained with DAPI. The cells were fixed in 4% formaldehyde, permeabilized tissue using 0.2% Triton X-100 and blocked in 10% normal Goat Serum. The cells were then incubated with the antibody overnight at 4°C.The secondary antibody was Alexa Fluor 488-congugated AffiniPure Goat Anti-Rabbit IgG(H+L) .
-
-
其他:
產品詳情
-
產品名稱:Rabbit anti-Homo sapiens (Human) CSMD3 Polyclonal antibody
-
Uniprot No.:
-
基因名:
-
別名:CSMD3 antibody; KIAA1894CUB and sushi domain-containing protein 3 antibody; CUB and sushi multiple domains protein 3 antibody
-
宿主:Rabbit
-
反應種屬:Human
-
免疫原:Recombinant Human CUB and sushi domain-containing protein 3 protein (233-380AA)
-
免疫原種屬:Homo sapiens (Human)
-
標記方式:Non-conjugated
本頁面中的產品,CSMD3 Antibody (CSB-PA800102LA01HU),的標記方式是Non-conjugated。對于CSMD3 Antibody,我們還提供其他標記。見下表:
-
克隆類型:Polyclonal
-
抗體亞型:IgG
-
純化方式:>95%, Protein G purified
-
濃度:It differs from different batches. Please contact us to confirm it.
-
保存緩沖液:Preservative: 0.03% Proclin 300
Constituents: 50% Glycerol, 0.01M PBS, pH 7.4 -
產品提供形式:Liquid
-
應用范圍:ELISA, IHC, IF
-
推薦稀釋比:
Application Recommended Dilution IHC 1:200-1:500 IF 1:50-1:200 -
Protocols:
-
儲存條件:Upon receipt, store at -20°C or -80°C. Avoid repeated freeze.
-
貨期:Basically, we can dispatch the products out in 1-3 working days after receiving your orders. Delivery time maybe differs from different purchasing way or location, please kindly consult your local distributors for specific delivery time.
-
用途:For Research Use Only. Not for use in diagnostic or therapeutic procedures.
相關產品
靶點詳情
-
功能:Involved in dendrite development.
-
基因功能參考文獻:
- Nonsynonymous variants of CSMD3 is associated with familial colorectal cancer. PMID: 21351276
- CSMD3 encodes a protein with CUB and sushi multiple domains and is a candidate gene for benign adult familial myoclonic epilepsy on human chromosome 8q23.3-q24.1 PMID: 12943675
- Breakpoints on chromosomes 8 in both patients do not interrupt any known gene but both map in a region containing the CSMD3 gene, which thereby can be considered as a candidate for autistic spectrum disorders PMID: 18270536
- Single-nucleotide polymorphisms in CSMD3 is associated with prostate cancer risk in hispanic men. PMID: 19528667
- CSMD3 is deleted in a subject with combined tricho-rhino-phalangeal syndrome II with mental retardation and growth hormone deficiency. PMID: 15523607
- CSMD3 protein domain structure and the sequence of the cytoplasmic tail are highly conserved between mammals and fish. PMID: 12906867
顯示更多
收起更多
-
亞細胞定位:Cell membrane; Multi-pass membrane protein.
-
蛋白家族:CSMD family
-
組織特異性:Weakly expressed in most tissues, except in brain. Expressed at intermediate level in brain, including cerebellum, substantia nigra, thalamus, spinal cord, hippocampus and fetal brain. Also expressed in testis.
-
數據庫鏈接:
Most popular with customers
-
-
YWHAB Recombinant Monoclonal Antibody
Applications: ELISA, WB, IHC, IF, FC
Species Reactivity: Human, Mouse, Rat
-
Phospho-YAP1 (S127) Recombinant Monoclonal Antibody
Applications: ELISA, WB, IHC
Species Reactivity: Human
-
-
-
-
-















