CSH1 Antibody
-
中文名稱:CSH1兔多克隆抗體
-
貨號:CSB-PA696449
-
規格:¥1100
-
圖片:
-
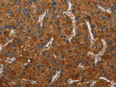
The image on the left is immunohistochemistry of paraffin-embedded Human liver cancer tissue using CSB-PA696449(CSH1 Antibody) at dilution 1/50, on the right is treated with fusion protein. (Original magnification: ×200)
-
The image on the left is immunohistochemistry of paraffin-embedded Human brain tissue using CSB-PA696449(CSH1 Antibody) at dilution 1/50, on the right is treated with fusion protein. (Original magnification: ×200)
-
Gel: 10%SDS-PAGE, Lysate: 40 μg, Lane 1-2: Human breast infiltrative duct tissue, Human placenta tissue, Primary antibody: CSB-PA696449(CSH1 Antibody) at dilution 1/300, Secondary antibody: Goat anti rabbit IgG at 1/8000 dilution, Exposure time: 10 seconds
-
-
其他:
產品詳情
-
Uniprot No.:
-
基因名:
-
別名:CSH1Chorionic somatomammotropin hormone 1 antibody; Choriomammotropin antibody; Lactogen antibody; Placental lactogen antibody; PL antibody
-
宿主:Rabbit
-
反應種屬:Human
-
免疫原:Fusion protein of Human CSH1
-
免疫原種屬:Homo sapiens (Human)
-
標記方式:Non-conjugated
-
抗體亞型:IgG
-
純化方式:Antigen affinity purification
-
濃度:It differs from different batches. Please contact us to confirm it.
-
保存緩沖液:-20°C, pH7.4 PBS, 0.05% NaN3, 40% Glycerol
-
產品提供形式:Liquid
-
應用范圍:ELISA,WB,IHC
-
推薦稀釋比:
Application Recommended Dilution ELISA 1:2000-1:5000 WB 1:500-1:2000 IHC 1:50-1:200 -
Protocols:
-
儲存條件:Upon receipt, store at -20°C or -80°C. Avoid repeated freeze.
-
貨期:Basically, we can dispatch the products out in 1-3 working days after receiving your orders. Delivery time maybe differs from different purchasing way or location, please kindly consult your local distributors for specific delivery time.
-
用途:For Research Use Only. Not for use in diagnostic or therapeutic procedures.
相關產品
靶點詳情
-
功能:Produced only during pregnancy and is involved in stimulating lactation, fetal growth and metabolism. Does not interact with GHR but only activates PRLR through zinc-induced dimerization.
-
基因功能參考文獻:
- FGF-2b and hPL-A are promising candidates for regenerative therapy in Diabetes Mellitus by inducing de-differentiation of stem cells modulating pivotal endocrine genes. PMID: 29068419
- Placental lactogen is expressed but is not translated into protein in breast cancer. PMID: 24475273
- These results indicate that placental lactogen induces CYP2E1 expression via PI3-kinase pathway in human hepatocytes. PMID: 24408518
- Expression of placental lactogen mRNA is increased in plasma of women with placenta previa and invasive placenta. PMID: 23744883
- altered expression of placenta lactogen appears not to be causal for betamethasone-induced fetal growth restriction in the human PMID: 23465880
- results are consistent with a pleiotropic effect of placental hGH/CSH genes at the maternal-fetal interface relating to the regulation of fetal growth and the risk of affected maternal metabolism. PMID: 22387044
- Data conclude that members of the C/EBP and Ets families can differentially modulate CS-Benh and CS-Aenh activity. PMID: 21737519
- hPL-A is involved in the regulation of pancreatic beta cells activity. PMID: 21765243
- Results strongly support a conformationally mediated obligate-ordered prolactin receptor binding for each of the three lactogenic hormones: prolactin, growth hormone, and placental lactogen. PMID: 20427283
- The human growth hormone/chorionic somatomammotropin at chromosome 17 is implicated in regulation of postnatal and intrauterine growth. PMID: 20233782
- Investigation of the GRB2, GRB7, and CSH1 genes as candidates for the Silver-Russell syndrome (SRS) on chromosome 17q. PMID: 11897833
- a role for CSH1 haploinsufficiency in the etiology of growth retardation PMID: 14642004
- These data implicate ETS-domain family members in the regulation of the CS locus in placenta and pituitary cells. PMID: 14673137
- We showed that intra-arterial infusion of human placental lactogen primarily decreased coronary, renal & iliac blood flow. Mechanism of this response was shown to be due to inhibition of vasodilatory beta2-adrenergic receptor-mediated effect. PMID: 16410683
- crystal structure of the free state of human PL has been determined to 2.0 A resolution showing the molecule possesses an overall structure similar to other long chain four-helix bundle cytokines PMID: 16546209
- The present findings indicate that the concentration of human placental lactogen (hPL) and human chorionic gonadotropin (beta hCG) mRNA is significantly higher in the cellular component of maternal blood samples than in the plasma component. PMID: 16950818
- A CSH1 deletion carrier with nearly complete hypomethylation at the ICR1 locus had the characteristic clinical signs of Silver Russel syndrome, ruling out a causal relationship. PMID: 17400796
- Placental lactogen is a novel ligand of stabilin-1. PMID: 18292525
- Three single nucleotide polymorphisms in CGB5 and CSH1 genes were genotyped for 844 offspring of the cases and controls. Maternal breast cancer risk did not significantly differ by the offspring's carrier status of the three SNPs. PMID: 19047151
- maternal smoking associated with a reduction in cord blood hPL PMID: 19290844
顯示更多
收起更多
-
亞細胞定位:Secreted.
-
蛋白家族:Somatotropin/prolactin family
-
數據庫鏈接:
Most popular with customers
-
-
YWHAB Recombinant Monoclonal Antibody
Applications: ELISA, WB, IHC, IF, FC
Species Reactivity: Human, Mouse, Rat
-
Phospho-YAP1 (S127) Recombinant Monoclonal Antibody
Applications: ELISA, WB, IHC
Species Reactivity: Human
-
-
-
-
-















