CRYZ Antibody
-
中文名稱:CRYZ兔多克隆抗體
-
貨號:CSB-PA600843LA01HU
-
規格:¥440
-
圖片:
-
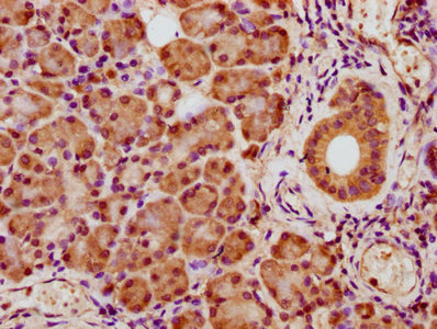
IHC image of CSB-PA600843LA01HU diluted at 1:400 and staining in paraffin-embedded human pancreatic tissue performed on a Leica BondTM system. After dewaxing and hydration, antigen retrieval was mediated by high pressure in a citrate buffer (pH 6.0). Section was blocked with 10% normal goat serum 30min at RT. Then primary antibody (1% BSA) was incubated at 4°C overnight. The primary is detected by a biotinylated secondary antibody and visualized using an HRP conjugated SP system.
-
IHC image of CSB-PA600843LA01HU diluted at 1:400 and staining in paraffin-embedded human endometrial cancer performed on a Leica BondTM system. After dewaxing and hydration, antigen retrieval was mediated by high pressure in a citrate buffer (pH 6.0). Section was blocked with 10% normal goat serum 30min at RT. Then primary antibody (1% BSA) was incubated at 4°C overnight. The primary is detected by a biotinylated secondary antibody and visualized using an HRP conjugated SP system.
-
-
其他:
產品詳情
-
產品名稱:Rabbit anti-Homo sapiens (Human) CRYZ Polyclonal antibody
-
Uniprot No.:
-
基因名:CRYZ
-
別名:Crystallin zeta (quinone reductase) antibody; Crystallin zeta antibody; Cryz antibody; DKFZp779E0834 antibody; FLJ41475 antibody; NADPH:quinone reductase antibody; QOR_HUMAN antibody; Quinone oxidoreductase antibody; Zeta crystallin antibody; Zeta-crystallin antibody
-
宿主:Rabbit
-
反應種屬:Human
-
免疫原:Recombinant Human Quinone oxidoreductase protein (47-109AA)
-
免疫原種屬:Homo sapiens (Human)
-
標記方式:Non-conjugated
本頁面中的產品,CRYZ Antibody (CSB-PA600843LA01HU),的標記方式是Non-conjugated。對于CRYZ Antibody,我們還提供其他標記。見下表:
-
克隆類型:Polyclonal
-
抗體亞型:IgG
-
純化方式:>95%, Protein G purified
-
濃度:It differs from different batches. Please contact us to confirm it.
-
保存緩沖液:Preservative: 0.03% Proclin 300
Constituents: 50% Glycerol, 0.01M PBS, pH 7.4 -
產品提供形式:Liquid
-
應用范圍:ELISA, IHC
-
推薦稀釋比:
Application Recommended Dilution IHC 1:200-1:500 -
Protocols:
-
儲存條件:Upon receipt, store at -20°C or -80°C. Avoid repeated freeze.
-
貨期:Basically, we can dispatch the products out in 1-3 working days after receiving your orders. Delivery time maybe differs from different purchasing way or location, please kindly consult your local distributors for specific delivery time.
-
用途:For Research Use Only. Not for use in diagnostic or therapeutic procedures.
相關產品
靶點詳情
-
功能:Does not have alcohol dehydrogenase activity. Binds NADP and acts through a one-electron transfer process. Orthoquinones, such as 1,2-naphthoquinone or 9,10-phenanthrenequinone, are the best substrates (in vitro). May act in the detoxification of xenobiotics. Interacts with (AU)-rich elements (ARE) in the 3'-UTR of target mRNA species. Enhances the stability of mRNA coding for BCL2. NADPH binding interferes with mRNA binding.
-
基因功能參考文獻:
- Our results suggest that genetic variants in TYW3/CRYZ and NDST4 loci may be involved in the regulation of circulating resistin levels PMID: 22843503
- role of Zta1p in the yeast adaptation to some stress types and the general functional significance of zeta-crystallins PMID: 21276778
- novel enzymatic activity for human zeta-crystallin, the double- bond a,b-hydrogenation of 2-alkenals and 3-alkenones, was identified. PMID: 20835842
- zeta-Crystallin is a bcl-2 mRNA binding protein involved in bcl-2 overexpression in T-cell acute lymphocytic leukemia. PMID: 20103721
- up-regulation of quinone reductase can protect breast cells against oxidative DNA damage PMID: 12714703
顯示更多
收起更多
-
亞細胞定位:Cytoplasm.
-
蛋白家族:Zinc-containing alcohol dehydrogenase family, Quinone oxidoreductase subfamily
-
組織特異性:Only very low amounts in the lens.
-
數據庫鏈接:
Most popular with customers
-
-
YWHAB Recombinant Monoclonal Antibody
Applications: ELISA, WB, IHC, IF, FC
Species Reactivity: Human, Mouse, Rat
-
Phospho-YAP1 (S127) Recombinant Monoclonal Antibody
Applications: ELISA, WB, IHC
Species Reactivity: Human
-
-
-
-
-















