CROT Antibody
-
中文名稱:CROT兔多克隆抗體
-
貨號:CSB-PA967648
-
規格:¥1100
-
圖片:
-
The image on the left is immunohistochemistry of paraffin-embedded Human cervical cancer tissue using CSB-PA967648(CROT Antibody) at dilution 1/50, on the right is treated with fusion protein. (Original magnification: ×200)
-
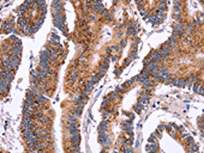
The image on the left is immunohistochemistry of paraffin-embedded Human colon cancer tissue using CSB-PA967648(CROT Antibody) at dilution 1/50, on the right is treated with fusion protein. (Original magnification: ×200)
-
Gel: 8%SDS-PAGE, Lysate: 40 μg, Lane 1-2: 293T cells, mouse kidney tissue, Primary antibody: CSB-PA967648(CROT Antibody) at dilution 1/270, Secondary antibody: Goat anti rabbit IgG at 1/8000 dilution, Exposure time: 5 minutes
-
-
其他:
產品詳情
-
Uniprot No.:
-
基因名:CROT
-
別名:Carnitine O octanoyltransferase antibody; COT antibody; CROT antibody; OCTC_HUMAN antibody; Peroxisomal carnitine acyltransferase antibody; Peroxisomal carnitine O octanoyltransferase antibody; Peroxisomal carnitine O-octanoyltransferase antibody
-
宿主:Rabbit
-
反應種屬:Human,Mouse,Rat
-
免疫原:Fusion protein of Human CROT
-
免疫原種屬:Homo sapiens (Human)
-
標記方式:Non-conjugated
-
抗體亞型:IgG
-
純化方式:Antigen affinity purification
-
濃度:It differs from different batches. Please contact us to confirm it.
-
保存緩沖液:-20°C, pH7.4 PBS, 0.05% NaN3, 40% Glycerol
-
產品提供形式:Liquid
-
應用范圍:ELISA,WB,IHC
-
推薦稀釋比:
Application Recommended Dilution ELISA 1:1000-1:2000 WB 1:200-1:1000 IHC 1:100-1:300 -
Protocols:
-
儲存條件:Upon receipt, store at -20°C or -80°C. Avoid repeated freeze.
-
貨期:Basically, we can dispatch the products out in 1-3 working days after receiving your orders. Delivery time maybe differs from different purchasing way or location, please kindly consult your local distributors for specific delivery time.
-
用途:For Research Use Only. Not for use in diagnostic or therapeutic procedures.
相關產品
靶點詳情
-
功能:Beta-oxidation of fatty acids. The highest activity concerns the C6 to C10 chain length substrate. Converts the end product of pristanic acid beta oxidation, 4,8-dimethylnonanoyl-CoA, to its corresponding carnitine ester.
-
基因功能參考文獻:
- These results suggest that CROT activity, by controlling the peroxisomal amount of medium chain acyls, may control the peroxisomal oxidative pathway. PMID: 21619872
- Selected 'Tpl2/Cot-YL ribozyme' efficiently cleaves its target sequence in cis and in trans; furthermore, the ribozyme efficiently cleaves a longer target sequence of 54 nucleotides in trans, as well as the full-length mRNA. PMID: 19054068
- Human CPT1A, CPT1B, CPT2, CROT and CRAT are known to encode active carnitine acyltransferases. Earlier pfam annotations refer to the non-existing compound CARNITATE. In 2000 this has been changed to CARNITINE. PMID: 11001805
- CROT encodes carnitine octanoyltransferase, an enzyme known from rat studies to act on products of peroxisomal fatty acid oxidation. Medium-chain acylcarnitines are thought to be transported from peroxisomes to mitochondria. PMID: 11001805
-
亞細胞定位:Peroxisome.
-
蛋白家族:Carnitine/choline acetyltransferase family
-
數據庫鏈接:
Most popular with customers
-
-
YWHAB Recombinant Monoclonal Antibody
Applications: ELISA, WB, IHC, IF, FC
Species Reactivity: Human, Mouse, Rat
-
Phospho-YAP1 (S127) Recombinant Monoclonal Antibody
Applications: ELISA, WB, IHC
Species Reactivity: Human
-
-
-
-
-















