CRISPLD1 Antibody
-
中文名稱:CRISPLD1兔多克隆抗體
-
貨號:CSB-PA884457LA01HU
-
規格:¥440
-
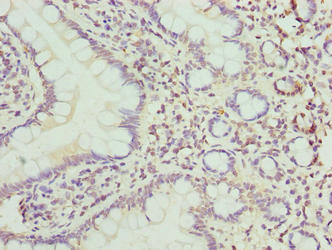
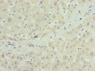
圖片:
-
其他:
產品詳情
-
產品名稱:Rabbit anti-Homo sapiens (Human) CRISPLD1 Polyclonal antibody
-
Uniprot No.:
-
基因名:CRISPLD1
-
別名:CRISPLD 1 antibody; CocoaCrisp antibody; CRISP 10 antibody; CRISP-10 antibody; CRISP10 antibody; Crispld1 antibody; CRLD1_HUMAN antibody; Cysteine rich secretory protein 10 antibody; Cysteine rich secretory protein LCCL domain containing 1 antibody; Cysteine-rich secretory protein 10 antibody; Cysteine-rich secretory protein LCCL domain-containing 1 antibody; LCCL domain containing cysteine rich secretory protein 1 antibody; LCCL domain-containing cysteine-rich secretory protein 1 antibody; LCRISP1 antibody; Trypsin inhibitor Hl antibody; UNQ342/PRO541 antibody
-
宿主:Rabbit
-
反應種屬:Human
-
免疫原:Recombinant Human Cysteine-rich secretory protein LCCL domain-containing 1 protein (24-300AA)
-
免疫原種屬:Homo sapiens (Human)
-
標記方式:Non-conjugated
本頁面中的產品,CRISPLD1 Antibody (CSB-PA884457LA01HU),的標記方式是Non-conjugated。對于CRISPLD1 Antibody,我們還提供其他標記。見下表:
-
克隆類型:Polyclonal
-
抗體亞型:IgG
-
純化方式:>95%, Protein G purified
-
濃度:It differs from different batches. Please contact us to confirm it.
-
保存緩沖液:Preservative: 0.03% Proclin 300
Constituents: 50% Glycerol, 0.01M PBS, PH 7.4 -
產品提供形式:Liquid
-
應用范圍:ELISA, IHC
-
推薦稀釋比:
Application Recommended Dilution IHC 1:20-1:200 -
Protocols:
-
儲存條件:Upon receipt, store at -20°C or -80°C. Avoid repeated freeze.
-
貨期:Basically, we can dispatch the products out in 1-3 working days after receiving your orders. Delivery time maybe differs from different purchasing way or location, please kindly consult your local distributors for specific delivery time.
-
用途:For Research Use Only. Not for use in diagnostic or therapeutic procedures.
相關產品
靶點詳情
-
基因功能參考文獻:
- These novel findings suggest that CRISPLD1 plays a role in Nonsyndromic cleft lip and palate (NSCLP) through the interaction with CRISPLD2 and folate pathway genes. PMID: 21254358
-
亞細胞定位:Secreted.
-
蛋白家族:CRISP family
-
數據庫鏈接:
Most popular with customers
-
-
YWHAB Recombinant Monoclonal Antibody
Applications: ELISA, WB, IHC, IF, FC
Species Reactivity: Human, Mouse, Rat
-
Phospho-YAP1 (S127) Recombinant Monoclonal Antibody
Applications: ELISA, WB, IHC
Species Reactivity: Human
-
-
-
-
-















