CRISP3 Antibody
-
中文名稱:CRISP3兔多克隆抗體
-
貨號:CSB-PA795553
-
規格:¥1100
-
圖片:
-
The image on the left is immunohistochemistry of paraffin-embedded Human thyroid cancer tissue using CSB-PA795553(CRISP3 Antibody) at dilution 1/50, on the right is treated with fusion protein. (Original magnification: ×200)
-
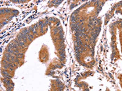
The image on the left is immunohistochemistry of paraffin-embedded Human colon cancer tissue using CSB-PA795553(CRISP3 Antibody) at dilution 1/50, on the right is treated with fusion protein. (Original magnification: ×200)
-
-
其他:
產品詳情
-
Uniprot No.:
-
基因名:CRISP3
-
別名:Aeg 2 antibody; Aeg2 antibody; CRIS3_HUMAN antibody; CRISP 3 antibody; CRISP-3 antibody; Crisp3 antibody; CRS 3 antibody; CRS3 antibody; Cysteine rich secretory protein 3 antibody; Cysteine-rich secretory protein 3 antibody; dJ442L6.3 antibody; MGC126588 antibody; OTTHUMP00000016590 antibody; OTTHUMP00000039911 antibody; SGP 28 antibody; SGP28 antibody; SGP28 protein antibody; Specific granule protein (28 kDa) antibody; Specific granule protein of 28 kDa antibody
-
宿主:Rabbit
-
反應種屬:Human
-
免疫原:Fusion protein of Human CRISP3
-
免疫原種屬:Homo sapiens (Human)
-
標記方式:Non-conjugated
-
抗體亞型:IgG
-
純化方式:Antigen affinity purification
-
濃度:It differs from different batches. Please contact us to confirm it.
-
保存緩沖液:-20°C, pH7.4 PBS, 0.05% NaN3, 40% Glycerol
-
產品提供形式:Liquid
-
應用范圍:ELISA,IHC
-
推薦稀釋比:
Application Recommended Dilution ELISA 1:2000-1:10000 IHC 1:100-1:300 -
Protocols:
-
儲存條件:Upon receipt, store at -20°C or -80°C. Avoid repeated freeze.
-
貨期:Basically, we can dispatch the products out in 1-3 working days after receiving your orders. Delivery time maybe differs from different purchasing way or location, please kindly consult your local distributors for specific delivery time.
-
用途:For Research Use Only. Not for use in diagnostic or therapeutic procedures.
相關產品
靶點詳情
-
基因功能參考文獻:
- results suggest that overexpression of CRISP-3 in prostate tumor may maintain higher PSA expression and lower ANXA1 expression PMID: 26369530
- These data suggest roles for epithelial and neutrophil-derived CRISP3 in postmenstrual endometrial repair and regeneration PMID: 25715794
- up-regulation of the mRNA encoding cysteine-rich secretory protein 3 (CRISP3), a glycoprotein with unknown function that is secreted from multiple exocrine glands, was correlated with HCV resistance. PMID: 24978310
- Strong CRISP3 expression is associated with unfavorable tumor phenotype and early recurrence in prostate cancers PMID: 23196798
- terminal beta-strands of PSP94 contact the first alpha-helix and the hinge region of CRISP-3 PMID: 23375721
- MSMB and CRISP3 were widely distributed in ovaries and in ovarian tumors; the expression of MSMB fits well with a tumor-suppressor function in ovarian carcinogenesis. PMID: 22993349
- up-regulation of CRISP3 is associated with prostate carcinomas with the TMPRSS2-ERG fusion gene. PMID: 21814574
- We found no correlation between CRISP3 expression and biochemical recurrence. PMID: 21240253
- Expression levels of AR and CRISP3 were not affected by short-term ADT but were high in castration-resistant prostate cancer (CRPC) and metastases. PMID: 20680031
- Either PSP94 or CRISP-3 alone can induce growth inhibition in prostate cancer cells in a cell line specific manner. PMID: 20676114
- Additional transcription changes likely associated with Th2-like eosinophilic inflammation were prominent and included decreased CRISP2&3. PMID: 20625511
- Complex binding of CRISP proteins by A1BG and other proteins may interfere with the detection and function of these proteins. PMID: 20116414
- The presence of CRISP-3 in peroxidase-negative granules of neutrophils, in granules of eosinophils, and in exocrine secretions indicates a role in the innate host defense. PMID: 12223513
- in situ hybridization experiments indicated that CRISP-3 mRNA is epithelial-specific and is up-regulated in prostate adenocarcinoma compared with benign prostate tissue; a potential biomarker for prostate cancer PMID: 12433721
- high levels of CRISP-3 in acinar cells dedifferentiating into small proliferating ductal cells in chronic pancreatitis suggests a role of this molecule in the pathophysiology of chronic pancreatitis PMID: 12647793
- alpha-1-B glycoprotein-CRISP-3 complex displays a similar function in protecting the circulation from a potentially harmful effect of free CRISP-3 PMID: 15461460
- Human CRISP-3 is a quantitatively minor seminal plasma protein not associated with prostasomes. CRISP-3 was found in secretory epithelium throughout the male genital tract, with particularly high expression in cauda epididymis and ampulla vas deferens. PMID: 15867000
- Structural similarity with an MSP-binding protein from blood plasma suggests that CRISP-3 binds MSP through its aminoterminal SCP-domain. PMID: 15950934
- Strong immunostaining for CRISP-3 is common in high-grade prostatic-intraepithelial-neoplasia and preserved in prostatic csncer. PMID: 16388501
- Predictor of recurrence after radical prostatectomy for localized prostate cancer. PMID: 17634540
- CRISP-3 pathology occurred in acini remote from lymphocyte foci and may represent some systemic effect in Sjogren Syndrome. PMID: 17665393
- A tentative structure for the hMSP-CRISP-3 complex using the known crystal structure of triflin as a model of CRISP-3 was presented. PMID: 19026612
- Results suggest that absence of a local reduction in expression of CRISP-3 in decidualized endometrium of women with EP may be due to reduced exposure to hCG due to the ectopic location of the trophoblast. PMID: 19282327
顯示更多
收起更多
-
亞細胞定位:Secreted. Note=In neutrophils, localized in specific granules.
-
蛋白家族:CRISP family
-
組織特異性:Salivary gland, pancreas and prostate > epididymis, ovary, thymus and colon.
-
數據庫鏈接:
Most popular with customers
-
-
YWHAB Recombinant Monoclonal Antibody
Applications: ELISA, WB, IHC, IF, FC
Species Reactivity: Human, Mouse, Rat
-
Phospho-YAP1 (S127) Recombinant Monoclonal Antibody
Applications: ELISA, WB, IHC
Species Reactivity: Human
-
-
-
-
-















