CRELD1 Antibody
-
中文名稱:CRELD1兔多克隆抗體
-
貨號:CSB-PA256217
-
規格:¥1100
-
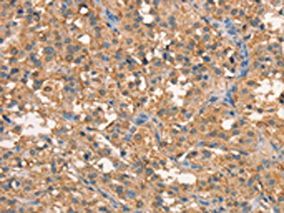
圖片:
-
The image on the left is immunohistochemistry of paraffin-embedded Human thyroid cancer tissue using CSB-PA256217(CRELD1 Antibody) at dilution 1/40, on the right is treated with synthetic peptide. (Original magnification: ×200)
-
The image on the left is immunohistochemistry of paraffin-embedded Human brain tissue using CSB-PA256217(CRELD1 Antibody) at dilution 1/40, on the right is treated with synthetic peptide. (Original magnification: ×200)
-
-
其他:
產品詳情
-
Uniprot No.:
-
基因名:CRELD1
-
別名:CRELD1; CIRRIN; UNQ188/PRO214; Protein disulfide isomerase CRELD1; Cysteine-rich with EGF-like domain protein 1
-
宿主:Rabbit
-
反應種屬:Human,Mouse,Rat
-
免疫原:Synthetic peptide of Human CRELD1
-
免疫原種屬:Homo sapiens (Human)
-
標記方式:Non-conjugated
-
抗體亞型:IgG
-
純化方式:Antigen affinity purification
-
濃度:It differs from different batches. Please contact us to confirm it.
-
保存緩沖液:-20°C, pH7.4 PBS, 0.05% NaN3, 40% Glycerol
-
產品提供形式:Liquid
-
應用范圍:ELISA,IHC
-
推薦稀釋比:
Application Recommended Dilution ELISA 1:2000-1:5000 IHC 1:50-1:200 -
Protocols:
-
儲存條件:Upon receipt, store at -20°C or -80°C. Avoid repeated freeze.
-
貨期:Basically, we can dispatch the products out in 1-3 working days after receiving your orders. Delivery time maybe differs from different purchasing way or location, please kindly consult your local distributors for specific delivery time.
-
用途:For Research Use Only. Not for use in diagnostic or therapeutic procedures.
相關產品
靶點詳情
-
功能:Protein disulfide isomerase. Promotes the localization of acetylcholine receptors (AChRs) to the plasma membrane.
-
基因功能參考文獻:
- The CRELD1 gene is likely to have a major role in causation of AVSD phenotype in selected DS patients. PMID: 29054759
- Germline mutations in the NKX2-5, GATA4, and CRELD1 genes do not appear to be associated with CHD in Mexican DS patients. PMID: 25524324
- Mutation of the CRELD1 gene increased the risk for atrioventricular septal defect. PMID: 24927998
- we identified two CRELD1 haplotypes associated with AVSD phenotype among DS and euploid individuals. PMID: 22987595
- study indicates that deleterious CRELD1 missense mutations are specifically associated with AVSD and are not correlated with other aspects of the heterotaxy phenotype PMID: 22740159
- SNP c.985 C>T of CRELD1 is involved in causing congenital heart disease in patients of Mysore, South India. PMID: 21413875
- CRELD1 is likely to be an AVSD-susceptibility gene and CRELD1 mutations may increase the risk of developing a heart defect rather than being a direct causative mutation PMID: 21080147
- CRELD1 could partly change the localization of RTN3 from the endoplasmic reticulum to the plasma membrane and modulate the apoptotic activity of RTN3 through binding with it. PMID: 19521671
- Missense mutations in this protein are associated with cardiac atrioventricular septal defects. PMID: 12632326
- Mutations in CRELD1,are infrequently found in patients with congenital cardiac septal defects PMID: 18076106
顯示更多
收起更多
-
相關疾病:Atrioventricular septal defect 2 (AVSD2)
-
亞細胞定位:Membrane; Multi-pass membrane protein.
-
蛋白家族:CRELD family
-
組織特異性:Highly expressed in fetal lung, liver, kidney, adult heart, brain and skeletal muscle. Weakly expressed in placenta, fetal brain, and adult lung, liver, kidney and pancreas.
-
數據庫鏈接:
Most popular with customers
-
-
YWHAB Recombinant Monoclonal Antibody
Applications: ELISA, WB, IHC, IF, FC
Species Reactivity: Human, Mouse, Rat
-
Phospho-YAP1 (S127) Recombinant Monoclonal Antibody
Applications: ELISA, WB, IHC
Species Reactivity: Human
-
-
-
-
-















