-
中文名稱:CRBN兔多克隆抗體
-
貨號:CSB-PA842761ESR2HU
-
規格:¥3900
-
圖片:
-
Western blot
All lanes: CRBN antibody at 5.28μg/ml
Lane 1: Mouse liver tissue
Lane 2: A375 whole cell lysate
Secondary
Goat polyclonal to rabbit IgG at 1/10000 dilution
Predicted band size: 51 kDa
Observed band size: 51 kDa -
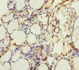
Immunohistochemistry of paraffin-embedded human thyroid tissue using CSB-PA842761ESR2HU at dilution of 1:100
-
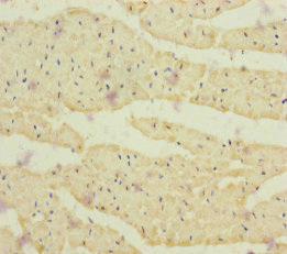
Immunohistochemistry of paraffin-embedded human heart tissue using CSB-PA842761ESR2HU at dilution of 1:100
-
-
其他:
產品詳情
-
產品描述:
The CRBN polyclonal antibody is a high-quality and specific antibody that targets the CRBN protein. It is purified using antigen affinity chromatography. This CRBN antibody has been validated for use in various applications including ELISA, WB, and IHC. It is suitable for use with a wide range of samples from human and mouse. The immunogen used to generate the CRBN antibody is the recombinant human cereblon protein (1-280aa).
The CRBN protein is known to be involved in various cellular processes, including protein degradation, cell cycle regulation, and DNA repair. The CRBN polyclonal antibody is a valuable research tool for studying the function of CRBN in these processes and for further understanding its role in human health and disease.
-
產品名稱:Rabbit anti-Homo sapiens (Human) CRBN Polyclonal antibody
-
Uniprot No.:
-
基因名:
-
別名:CRBN; AD-006; Protein cereblon
-
宿主:Rabbit
-
反應種屬:Human, Mouse
-
免疫原:Recombinant Human Protein cereblon protein (1-280AA)
-
免疫原種屬:Homo sapiens (Human)
-
標記方式:Non-conjugated
-
克隆類型:Polyclonal
-
抗體亞型:IgG
-
純化方式:Antigen Affinity Purified
-
濃度:It differs from different batches. Please contact us to confirm it.
-
保存緩沖液:PBS with 0.02% sodium azide, 50% glycerol, pH7.3.
-
產品提供形式:Liquid
-
應用范圍:ELISA, WB, IHC
-
推薦稀釋比:
Application Recommended Dilution WB 1:1000-1:5000 IHC 1:20-1:200 -
Protocols:
-
儲存條件:Upon receipt, store at -20°C or -80°C. Avoid repeated freeze.
-
貨期:Basically, we can dispatch the products out in 1-3 working days after receiving your orders. Delivery time maybe differs from different purchasing way or location, please kindly consult your local distributors for specific delivery time.
-
用途:For Research Use Only. Not for use in diagnostic or therapeutic procedures.
相關產品
靶點詳情
-
功能:Substrate recognition component of a DCX (DDB1-CUL4-X-box) E3 protein ligase complex that mediates the ubiquitination and subsequent proteasomal degradation of target proteins, such as MEIS2 (Probable). Normal degradation of key regulatory proteins is required for normal limb outgrowth and expression of the fibroblast growth factor FGF8. Maintains presynaptic glutamate release and consequently cognitive functions, such as memory and learning, by negatively regulating large-conductance calcium-activated potassium (BK) channels in excitatory neurons. Likely to function by regulating the assembly and neuronal surface expression of BK channels via its interaction with KCNT1. May also be involved in regulating anxiety-like behaviors via a BK channel-independent mechanism.
-
基因功能參考文獻:
- mitochondrially expressed CRBN exhibited protease activity, and was induced by oxidative stress. PMID: 27417535
- We sequenced CRBN-thalidomide binding region in 38 thalidomide embryopathy individuals and 136 Brazilians without congenital anomalies, and performed in silico analyses. Eight variants were identified, seven intronic and one in 3'UTR. PMID: 27751757
- These findings thus contribute to a growing list of ID disorders caused by CRBN mutations, broaden the spectrum of phenotypes attributable to Autosomal-recessive non-syndromic intellectual disability (ARNS-ID)and provide new insight into genotype-phenotype correlations between CRBN mutations and the aetiology of ARNS-ID. PMID: 28143899
- CRBN expression is of prognostic value in MM patients ineligible for ASCT treated with thalidomide as an immunomodulatory drug. With low expression indicating a possible suboptimal treatment outcome, measurement of CRBN expression might serve as additional prognostic tool in the personalized treatment approach. PMID: 27618360
- Plasmablast differentiation, whether induced by BAFF or CD40L, is prevented by modulation of CRBN activity with CC-220, which induces degradation of the B cell differentiation factors Aiolos and Ikaros. Downregulation of these B cell differentiation processes by CC-220 modulation of CRBN provides a new therapeutic approach to treating B cell-mediated pathology in SLE. PMID: 28848067
- High CRBN expression is associated with multiple myeloma. PMID: 28017969
- CRBN negatively regulates TLR4 signaling via attenuation of TRAF6 and TAB2 ubiquitination. PMID: 27468689
- Compared with newly diagnosed multiple myeloma, an increased prevalence of mutations in the Ras pathway genes KRAS, NRAS, and/or BRAF (72%), as well as TP53 (26%), CRBN (12%), and CRBN pathway genes (10%) was observed. PMID: 27458004
- dual assay demonstrated superior Cereblon IHC measurement in MM samples compared with the single IHC assay using a published commercial rabbit polyclonal Cereblon antibody and could be used to explore the potential utility of Cereblon as a biomarker in the clinic PMID: 26186254
- IRF4 and CRBN polymorphisms affect risk and response to treatment in multiple myeloma PMID: 28083618
- overview of the current understanding of mechanism of action of Immunomodulatory drugs via CRBN and prospects for the development of new drugs that degrade protein of interest. PMID: 27460676
- 45.2 of multiple myeloma patients were CRBN(+). Among patients treated with thalidomide-based regimens, CRBN(+) patients showed a better treatment response than did CRBN-negative patients. There was no significant difference in survival outcomes between thalidomide- and bortezomib-based regimens in CRBN(+) patients. PMID: 27365142
- GS is acetylated at lysines 11 and 14, yielding a degron that is necessary and sufficient for binding and ubiquitylation by CRL4(CRBN) and degradation by the proteasome. PMID: 26990986
- Structural dynamics of the cereblon ligand binding domain. PMID: 26024445
- Our data are consistent with the idea that the CUL4A/B-DDB1-CRBN complex catalyses the polyubiquitination and thus controls the degradation of CLC-1 channels. PMID: 26021757
- Data suggest that cereblon (CRBN) expression in peripheral blood chronic lymphocytic leukemia (CLL) cells is independent of prognostic factors and may be considered a potential biomarker. PMID: 24925210
- High levels of full-length CRBN mRNA in lower risk 5q deletion patients are necessary for the efficacy of lenalidomide. PMID: 25284710
- A copy number gain of CRBN gene might be responsible for developmental delay/intellectual disability. PMID: 25858704
- Although abnormal CRBN function may be associated with intellectual disability disease onset, its cellular mechanism is still unclear. Here, we examine the role of CRBN in aggresome formation and cytoprotection. PMID: 26188093
- Studied the protein cereblon , which has been recently indentified as a primary target of thalidomide and its C-terminal part as responsible for binding thalidomide within a domain carrying several invariant cysteine and tryptophan residues. PMID: 25569776
- The study presents the crystal structure of human CRBN bound to DDB1 and the drug lenalidomide. PMID: 25108355
- structures of the DDB1-CRBN complex bound to thalidomide, lenalidomide and pomalidomide PMID: 25043012
- CRBN expression in bone marrow myeloma cells is associated with superior treatment response to lenalidomide in refractory myeloma and thalidomide/dexamethasone in new patients. CRBN is a crucial factor for the anti-MM effect of immunomodulators. PMID: 24687382
- CRBN expression may provide a biomarker to predict response to Immunomodulatory drugs in patients with MM and its high expression can serve as a marker of good prognosis. PMID: 24118365
- CRBN and IRF4 have been shown to be associated with response to lenalidomide in patients, these findings do not translate back to HMCLs, which could be attributable to factors present in the bone marrow microenvironment. PMID: 23992230
- In the three intrinsically IMiD-resistant cell lines that clearly express detectable levels of cereblon, the absence of CRBN and DDB1 mutations suggest that potential cereblon-independent mechanisms of resistance exist PMID: 24166296
- Presents a molecular model in which drug binding to cereblon results in the interaction of Ikaros and Aiolos to CRL4(CRBN) , leading to their ubiquitination, subsequent proteasomal degradation and T cell activation. PMID: 24328678
- Data indicate that low cereblon (CRBN) expression can predict resistance to immunomodulatory drug (IMiD monotherapy and is a predictive biomarker for survival outcomes. PMID: 24129344
- Findings suggest an approach for the treatment of mental retardation associated with cereblon nonsense mutation. PMID: 23983124
- We investigated the role of CRBN in response to lenalidomide in myelodysplastic syndrome infants without chromosome 5 deletion. PMID: 23434730
- We conclude that CRBN expression may be associated with the clinical efficacy of thalidomide. PMID: 23233657
- These findings suggest that CRBN may modulate proteasome activity by directly interacting with the beta7 subunit. PMID: 23026050
- Data show that in a cereblon-dependent fashion, lenalidomide downregulates IRF4 and SPIB, transcription factors that together prevent IFNbeta production. PMID: 22698399
- CRBN is an essential requirement for immunoregulatory drugs activity and a possible biomarker for the clinical assessment of antimyeloma efficacy. PMID: 21860026
- CRBN directly interacts with the alpha1 subunit of AMP-activated protein kinase (AMPK alpha1) and inhibits the activation of AMPK activation. PMID: 21232561
- The results suggest that mutCRBN may cause ARNSID by disrupting the developmental regulation of BK(Ca) in brain regions that are critical for memory and learning. PMID: 20131966
- A nonsense mutation causing a premature stop codon in CRBN was found in a large kindred with mild mental retardation. ATP-dependent degradation of proteins may play a role in memory and learning. PMID: 15557513
- This may suggest new functions of CRBN in cell nucleolus besides its mitochondria protease activity in cytoplasm. PMID: 17380424
- Nonsense mutation (R419X) CRBN disturbs the development of adult brain BK(Ca) isoforms. These changes are predicted to result in BK(Ca) channels with a higher intracellular Ca(2+) sensitivity, faster activation, and slower deactivation kinetics. PMID: 18414909
顯示更多
收起更多
-
相關疾病:Mental retardation, autosomal recessive 2A (MRT2A)
-
亞細胞定位:Cytoplasm. Nucleus. Membrane; Peripheral membrane protein.
-
蛋白家族:CRBN family
-
組織特異性:Widely expressed. Highly expressed in brain.
-
數據庫鏈接:
Most popular with customers
-
-
YWHAB Recombinant Monoclonal Antibody
Applications: ELISA, WB, IHC, IF, FC
Species Reactivity: Human, Mouse, Rat
-
Phospho-YAP1 (S127) Recombinant Monoclonal Antibody
Applications: ELISA, WB, IHC
Species Reactivity: Human
-
-
-
-
-















