CRB1 Antibody
-
中文名稱:CRB1兔多克隆抗體
-
貨號:CSB-PA005941DSR1HU
-
規格:¥440
-
圖片:
-
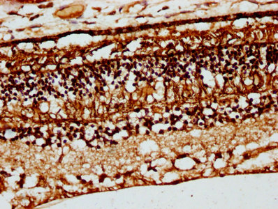
IHC image of CSB-PA005941DSR1HU diluted at 1:66 and staining in paraffin-embedded human eye tissue performed on a Leica BondTM system. After dewaxing and hydration, antigen retrieval was mediated by high pressure in a citrate buffer (pH 6.0). Section was blocked with 10% normal goat serum 30min at RT. Then primary antibody (1% BSA) was incubated at 4°C overnight. The primary is detected by a biotinylated secondary antibody and visualized using an HRP conjugated SP system.
-
Immunofluorescence staining of Hela cells with CSB-PA005941DSR1HU at 1:22, counter-stained with DAPI. The cells were fixed in 4% formaldehyde, permeabilized using 0.2% Triton X-100 and blocked in 10% normal Goat Serum. The cells were then incubated with the antibody overnight at 4°C. The secondary antibody was Alexa Fluor 488-congugated AffiniPure Goat Anti-Rabbit IgG(H+L).
-
-
其他:
產品詳情
-
產品名稱:Rabbit anti-Homo sapiens (Human) CRB1 Polyclonal antibody
-
Uniprot No.:
-
基因名:
-
別名:CRB1 antibody; CRUM1_HUMAN antibody; Protein crumbs homolog 1 antibody
-
宿主:Rabbit
-
反應種屬:Human
-
免疫原:Recombinant Human Protein crumbs homolog 1 protein (20-200AA)
-
免疫原種屬:Homo sapiens (Human)
-
標記方式:Non-conjugated
-
克隆類型:Polyclonal
-
抗體亞型:IgG
-
純化方式:Antigen Affinity Purified
-
濃度:It differs from different batches. Please contact us to confirm it.
-
保存緩沖液:PBS with 0.02% sodium azide, 50% glycerol, pH7.3.
-
產品提供形式:Liquid
-
應用范圍:ELISA, IHC, IF
-
推薦稀釋比:
Application Recommended Dilution IHC 1:20-1:200 IF 1:10-1:100 -
Protocols:
-
儲存條件:Upon receipt, store at -20°C or -80°C. Avoid repeated freeze.
-
貨期:Basically, we can dispatch the products out in 1-3 working days after receiving your orders. Delivery time maybe differs from different purchasing way or location, please kindly consult your local distributors for specific delivery time.
-
用途:For Research Use Only. Not for use in diagnostic or therapeutic procedures.
相關產品
靶點詳情
-
功能:Plays a role in photoreceptor morphogenesis in the retina. May maintain cell polarization and adhesion.
-
基因功能參考文獻:
- Several Crb mutant proteins accumulated abnormally in the rhabdomere and affected rhodopsin trafficking, suggesting that abnormal rhodopsin physiology contributes to Crb/CRB1-associated retinal degeneration. PMID: 28515229
- Novel compound heterozygous mutations found in CRB1 were identified in a Chinese pedigree with Autosomal-recessive retinitis pigmentosa using targeted-capture next generation sequencing. PMID: 27806333
- Retinal capillaritis, vitritis, and cystoid macular edema could be inflammatory features of CRB1 retinal dystrophy in our young patient. PMID: 28129017
- In summary, mutations in CRB1 need to be considered as a potential cause of isolated maculopathy, particularly in cases where the central macular atrophy is associated with paracentral macular thickening and loss of normal lamination on OCT. PMID: 27096895
- The traditional village therapy may have compromised retinal venous outflow and/or provoked a Valsalva phenomenon, leading to the bilateral retinal hemorrhages. The fact that this occurred bilaterally and in both sisters supports the concept of relative vessel wall incompetence as part of CRB1-related retinopathy. PMID: 27007588
- Mutations in the CRB1 gene are associated with a spectrum of progressive retinal degeneration. Visual acuity survival analyses indicate that the optimal intervention window for subretinal gene therapy is within the first 2 to 3 decades of life. PMID: 28341475
- This is the first report to implicate CRB1 as the underlying cause of FFR. This phenotype forms the mildest end of the spectrum of CRB1-related diseases. PMID: 27258436
- The first study reporting on the molecular genetic cause of non-syndromic early-onset severe retinal dystrophy in Czech patients identified one homozygous and two compound heterozygote probands with CRB1 mutations. PMID: 27113771
- We present the case of a child who presented during screening for uveitis associated with juvenile idiopathic arthritis with macular oedema and was found to have early onset retinal dystrophy and mutations in CRB1. PMID: 26914788
- Two novel variants were detected: c.2536G>T (p.G846X) in the CRB1 gene and c.4929delA (p.Lys1643fsX2) in the CEP290 gene. PMID: 26165328
- CRB1 mutations may be associated with intraretinal cystoid spaces. The use of carbonic anhydrase inhibitors can result in improved visual acuity in some patients. PMID: 24512366
- Comprehensive retinal dystrophy panel revealed a homozygous mutation in CRB1 (p.Pro836Thr:c.2506C>A) in both twins. PMID: 26312378
- Removal of this side chain enhances the binding affinity by more than fivefold, suggesting that access of Crb to Pals1 may be regulated by intradomain contacts or by protein-protein interaction. PMID: 25760605
- The phenotypic spectrum of recessive CRB1 mutation includes childhood cone-rod dystrophy with macular cystic degeneration and the associated ERG can be electronegative. PMID: 23767994
- The phenotypes of these novel mutations for early-onset retinal dystrophy (EORD) are typical of CRB1-associated EORD PMID: 25323024
- Study showed that CRB1 and CRB2 in human retinas have an opposite pattern of expression in Muller glia and photoreceptor cells compared with mouse retinas, and that Crb2 influences the severity of the murine Crb1-linked retinal dystrophies. PMID: 24565864
- the mammalian apical CRB1 complex might control retinogenesis and prevents onset of Leber congenital amaurosis or retinitis pigmentosa. PMID: 24508727
- Macular nummular pigmentation is a gene-specific indication for CRB1associated retinal dystrophy. PMID: 24535598
- This report illustrates a novel presentation of a macular dystrophy caused by CRB1 mutations affecting 2 siblings exhibiting a relatively well-developed retinal structure and preservation of generalized retinal function. PMID: 24811962
- The results from this study show that patients with Leber congenital amaurosis carry CRB1 null mutations more frequently than patients with retinitis pigmentosa. PMID: 24715753
- We report a novel CRB1 mutation in inherited retinal dystrophy in a Lebanese family. PMID: 23362850
- Mutations in CRB1 and ABCA4 were found in a Swedish family with Leber congenital amaurosis and Stargardt disease. PMID: 24664696
- Four patients with Leber congenital amaurosis were homozygous for a novel mutation in the CRB1 gene, while of two cases with Stargardt disease, one was homozygous for c.5461-10T>C in the ABCA4 gene and another was carrier of the same mutation. PMID: 23443024
- Retinal degenerations associated with nanophthalmos and hyperopia, or with keratoconus, can serve as further clinical cues to mutations in CRB1. PMID: 24138049
- We report the case of a 15-year-old girl affected by CRB1 gene-negative retinitis pigmentosa and Coats-like exudative vasculopathy PMID: 23871396
- R764H is a novel mutation associated with CRB1-related autosomal recessive retinitis pigmentosa. PMID: 23592920
- study represents the most complete mutational screening of CRB1 in a Spanish LCA and EORP cohort, allowing us to establish gene-specific frequencies and to provide a wide spectrum of CRB1 mutations in the Spanish population PMID: 23379534
- there is no clear genotype-phenotype correlation for CRB1 mutations, which suggests that other components of the CRB complex may influence the severity of retinal disease PMID: 23001562
- we showed that mutations in CRB1 are a common cause of eary onset retinal degeneration among the Jewish and Arab-Muslim populations in Israel and the Palestinian Territories PMID: 23449718
- A novel homozygous missense mutation (p.Gly833Asp) in the CRB1 gene is responsible for retinitis pigmentosa, nanophthalmos, and optic disc drusen in a Turkish family. PMID: 23077403
- CRB1 (c.2548 G>A) is the likely disease-causing gene in one non-consanguineous Australian pedigree with autosomal recessive retinitis pigmentosa. PMID: 22876132
- Mutation in CRB1 gene is associated with Stargardt Disease. PMID: 22863181
- A review of seven novel mutations and classification of over 150 reported CRB1 sequence variants that were found in more that 240 patients with inherited retinal dystrophies. PMID: 22065545
- Digenic and triallelic mutations of CRB1 and SPATA7 were detected in a Chinese family with Leber congenital amaurosis. The results imply that CRB1 and SPATA7 may not interact with each other directly. PMID: 22219627
- CRB1 mutations lead to early-onset severe loss of vision with thickened, disorganized, nonseeing retina. Impaired peripheral vision can persist in late disease stages. PMID: 21757580
- Mutations in CRB1 are associated with a range of recessively inherited retinal dystrophies, including Leber congenital amaurosis, childhood- and juvenile-onset rod-cone and cone-rod dystrophies. PMID: 20956273
- The corneas of human carriers of CRB1 mutations display shape deviations compared with what has been observed in normal individuals PMID: 20805571
- intracellular domain of CRB1 behaves similarly to its Drosophila counterpart when overexpressed in the fly eye PMID: 11850624
- Mutation disrupting the cytoplasmic domain of CRB1 is associated with Leber congenital amaurosis in arabs PMID: 12567265
- REVIEW--overview of the currently known CRB1 sequence variants and prediction of their effects: a genotype-phenotype correlation model for CRB1 mutations PMID: 15459956
- The PPCRA (Pigmented paravenous chorioretinal atrophy) phenotype is associated with a Val162Met mutation in CRB1 which is likely to affect the structure of the CRB1 protein. PMID: 15623792
- AIPL1, CRB1, GUCY2D, RPE65, and RPGRIP1 mutations may have roles in juvenile retinitis pigmentosa PMID: 16272259
- Microarray-based mutation detection allowed the identification of 32% of LCA sequence variants and represents an efficient first-pass screening tool. Mutations in CRB1, and to a lesser extent, in GUCY2D, underlie most LCA cases in this cohort PMID: 16505055
- Mutation in CRB1 is co-inherited with high hyperopia and Leber congenital amau PMID: 16543197
- In human heterozygotes of CRB1 mutations (parents of offspring with Leber congenital amaurosis), distinctive regional retinal dysfunctions were found by multifocal ERG (electroretinography) measurements PMID: 16936081
- overexpression of human CRB1 and related isoforms, CRB2 and CRB3, had no effect on the levels of presenilin complex components, on NCT maturation or on presenilin endoproteolysis PMID: 17988153
- Two distinct retinal dystrophies with mutations affecting two different genes ABCA4 and CRB1 genes cosegregated in this family. PMID: 18334942
- This study presents the case of a compound heterozygous fetus for two mutations in CRB1 (1q3.1-q32.2). PMID: 18682814
- Although the results cannot exclude other gene mutations, they suggest that LCA patients with a CRB1 mutation may have a particular susceptibility to keratoconus. PMID: 19407021
顯示更多
收起更多
-
相關疾病:Retinitis pigmentosa 12 (RP12); Leber congenital amaurosis 8 (LCA8); Pigmented paravenous chorioretinal atrophy (PPCRA)
-
亞細胞定位:[Isoform 1]: Apical cell membrane; Single-pass type I membrane protein. Secreted. Cell projection, cilium, photoreceptor outer segment. Photoreceptor inner segment.; [Isoform 2]: Secreted.
-
蛋白家族:Crumbs protein family
-
組織特異性:Preferential expression in retina, also expressed in brain, testis, fetal brain and fetal eye. Expressed at the outer limiting membrane and apical to adherens junctions in the retina.
-
數據庫鏈接:
Most popular with customers
-
-
YWHAB Recombinant Monoclonal Antibody
Applications: ELISA, WB, IHC, IF, FC
Species Reactivity: Human, Mouse, Rat
-
Phospho-YAP1 (S127) Recombinant Monoclonal Antibody
Applications: ELISA, WB, IHC
Species Reactivity: Human
-
-
-
-
-















