CRABP1 Antibody
-
中文名稱:CRABP1兔多克隆抗體
-
貨號:CSB-PA005935DA01HU
-
規格:¥440
-
圖片:
-
Western blot
All lanes: CRABP1 antibody at 4µg/ml
Lane 1: Mouse eye tissue
Lane 2: THP-1 whole cell lysate
Secondary
Goat polyclonal to rabbit IgG at 1/10000 dilution
Predicted band size: 16 kDa
Observed band size: 16 kDa -
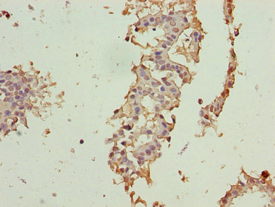
Immunohistochemistry of paraffin-embedded human breast cancer using CSB-PA005935DA01HU at dilution of 1:100
-
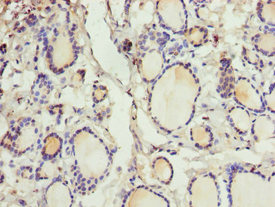
Immunohistochemistry of paraffin-embedded human thyroid tissue using CSB-PA005935DA01HU at dilution of 1:100
-
-
其他:
產品詳情
-
產品描述:
The polyclonal antibody targeting CRABP1 was generated in rabbits using the recombinant human CRABP1 protein containing amino acids 2-137 as the immunogen. The antibody was then isolated and underwent protein G affinity chromatography to attain a purity level greater than 95%. Its specificity encompasses the recognition and binding of the CRABP1 protein present in human and mouse samples.
This antibody has been validated for use in ELISA, WB, and IHC assays. The main function of this CRABP1 polyclonal antibody is to detect the expression and localization of CRABP1 in various tissues and cells, thus aiding in investigating CRABP1's role in retinoid signaling and metabolism and exploring CRABP1's potential as a therapeutic target in cancer and other diseases.
-
產品名稱:Rabbit anti-Homo sapiens (Human) CRABP1 Polyclonal antibody
-
Uniprot No.:
-
基因名:CRABP1
-
別名:Cellular retinoic acid binding protein 1 antibody; Cellular retinoic acid-binding protein 1 antibody; Cellular retinoic acid-binding protein I antibody; CRABP 1 antibody; CRABP antibody; CRABP I antibody; CRABP-I antibody; Crabp1 antibody; CRABPI antibody; RABP1_HUMAN antibody; RBP 5 antibody; RBP5 antibody; Retinoic acid binding protein I cellular antibody
-
宿主:Rabbit
-
反應種屬:Human, Mouse
-
免疫原:Recombinant Human Cellular retinoic acid-binding protein 1 protein (2-137AA)
-
免疫原種屬:Homo sapiens (Human)
-
標記方式:Non-conjugated
本頁面中的產品,CRABP1 Antibody (CSB-PA005935DA01HU),的標記方式是Non-conjugated。對于CRABP1 Antibody,我們還提供其他標記。見下表:
-
克隆類型:Polyclonal
-
抗體亞型:IgG
-
純化方式:>95%, Protein G purified
-
濃度:It differs from different batches. Please contact us to confirm it.
-
保存緩沖液:Preservative: 0.03% Proclin 300
Constituents: 50% Glycerol, 0.01M PBS, PH 7.4 -
產品提供形式:Liquid
-
應用范圍:ELISA, WB, IHC
-
推薦稀釋比:
Application Recommended Dilution WB 1:500-1:2000 IHC 1:20-1:200 -
Protocols:
-
儲存條件:Upon receipt, store at -20°C or -80°C. Avoid repeated freeze.
-
貨期:Basically, we can dispatch the products out in 1-3 working days after receiving your orders. Delivery time maybe differs from different purchasing way or location, please kindly consult your local distributors for specific delivery time.
-
用途:For Research Use Only. Not for use in diagnostic or therapeutic procedures.
相關產品
靶點詳情
-
功能:Cytosolic CRABPs may regulate the access of retinoic acid to the nuclear retinoic acid receptors.
-
基因功能參考文獻:
- We conclude that the underexpression of CRABP1 and the overexpression of LCN2 may be useful diagnostic biomarkers in thyroid tumours with questionable malignity, and the overexpression of LCN2 and C1QL1 may be useful for prognostic purposes. PMID: 29321030
- Holo-CRABPs had higher affinity for CYP26B1 than free atRA, but both apo-CRABPs(CRABP-I and CRABP-II ) inhibited the formation of 4-OH-RA by CYP26B1. PMID: 27416800
- p75NTR and CRABP1 modulate the effect of fenretinide on neuroblastoma cells PMID: 26843908
- miR-93/miR-106b/miR-375-CIC-CRABP1 is a novel key regulatory axis in prostate cancer progression PMID: 26124181
- CRABP1 expression is maintained in ER- and triple-negative breast tumors, and that elevated levels of CRABP1 is a significant indicator of high tumor grade, Ki67 immunoreactivity, and poor prognosis. PMID: 26142905
- the first evidence of pro-tumorigenic and pro-metastatic activity of CRABP1 in mesenchymal and neuroendocrine tumors. PMID: 24626200
- we demonstrated significant changes in CRABP1 and CRABP2 expression in non-small cell lung cancer samples PMID: 25034531
- Factors involved in the retinoid pathway, in particular upregulation of CRBP, CRABP1 and CRABP2, also showed differential expression in tumors with different histological subtypes PMID: 24269351
- Results describe the mRNA expression of CRABP1, RERG, and GRP in pituitary adenomas. PMID: 21270509
- reduced expression of CRABP1 has a potential as a prognostic marker for serous adenocarcinoma which is the most frequent histological ovarian tumor type and also for clear cell carcinoma that often exhibits chemo-resistance. PMID: 20571827
- Loss of cellular retinoic acid binding protein 1 function due to hypermethylation of its promoter leads to pathogenesis of papillary thyroid carcinoma PMID: 12640681
- CSF of Moyamoya Disease [MMD] patients reveals high CRABP-I expression suggesting that the elevation of CRABP-I in CSF may be a candidate for pathogenesis of MMD PMID: 14605320
- CRABP I plays an important role not only in mediating the retinoid effects, but also in modulating the radiation sensitivity of tumour cells after combined retinoic acid radiation treatment. PMID: 14713576
- increased CYP26-mediated catabolism of retinoic by CRABP-I transfection might decrease the amount of retinoic acid that is accessible to the nuclear receptors PMID: 15281009
- Decreases in the CRABP1 (cellular retinoic acid binding protein 1) and TFF3 (trefoil factor 3) expression levels identified these as candidate molecular biomarkers for papillary thyroid carcinoma. PMID: 15515157
- Real-time RT-PCR analysis disclosed a significant lack of CRABP-I expression in four renal cell carcinoma cell lines PMID: 16254461
- Hypermethylation was subsequently identified for three of four analyzed genes, ADAMTS1 (85%), CRABP1 (90%), and NR3C1 (35%). PMID: 17167179
- Frequent methylation-associated silencing of CRABP1 is associated with esophageal squamous-cell carcinoma PMID: 17438526
- DNA hypermethylation of tumour suppressor genes seems to play an important role in ovarian carcinogenesis and HOXA9, HOXB5, SCGB3A1, and CRABP1 are identified as novel hypermethylated target genes in this tumour type PMID: 17623056
- As epidermal basal keratinocyte proliferation is stimulated by paracrine growth factors secreted by ATRA activated suprabasal keratinocytes, our results indicate that CRABPI overexpression in suprabasal keratinocytes enhances ATRA. PMID: 17727842
- supports an active role for PLZF and RARalpha-PLZF in leukemogenesis, identifies up-regulation of CRABPI PMID: 18000064
- The authors identified several dysregulated genes and proteins, but only the cellular retinoic acid binding protein 1 (CRABP1) was up-regulated exclusively in cells expressing an increased Abeta42/Abeta40 ratio. PMID: 19087254
顯示更多
收起更多
-
亞細胞定位:Cytoplasm.
-
蛋白家族:Calycin superfamily, Fatty-acid binding protein (FABP) family
-
數據庫鏈接:
Most popular with customers
-
YWHAB Recombinant Monoclonal Antibody
Applications: ELISA, WB, IHC, IF, FC
Species Reactivity: Human, Mouse, Rat
-
Phospho-YAP1 (S127) Recombinant Monoclonal Antibody
Applications: ELISA, WB, IHC
Species Reactivity: Human
-
-
-
-
-
-















