CPTP Antibody
-
中文名稱:CPTP兔多克隆抗體
-
貨號:CSB-PA719416LA01HU
-
規格:¥440
-
圖片:
-
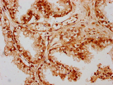
IHC image of CSB-PA719416LA01HU diluted at 1:300 and staining in paraffin-embedded human prostate cancer performed on a Leica BondTM system. After dewaxing and hydration, antigen retrieval was mediated by high pressure in a citrate buffer (pH 6.0). Section was blocked with 10% normal goat serum 30min at RT. Then primary antibody (1% BSA) was incubated at 4°C overnight. The primary is detected by a biotinylated secondary antibody and visualized using an HRP conjugated SP system.
-
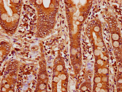
IHC image of CSB-PA719416LA01HU diluted at 1:300 and staining in paraffin-embedded human small intestine tissue performed on a Leica BondTM system. After dewaxing and hydration, antigen retrieval was mediated by high pressure in a citrate buffer (pH 6.0). Section was blocked with 10% normal goat serum 30min at RT. Then primary antibody (1% BSA) was incubated at 4°C overnight. The primary is detected by a biotinylated secondary antibody and visualized using an HRP conjugated SP system.
-
Immunofluorescence staining of HepG2 cells with CSB-PA719416LA01HU at 1:100, counter-stained with DAPI. The cells were fixed in 4% formaldehyde, permeabilized using 0.2% Triton X-100 and blocked in 10% normal Goat Serum. The cells were then incubated with the antibody overnight at 4°C. The secondary antibody was Alexa Fluor 488-congugated AffiniPure Goat Anti-Rabbit IgG(H+L).
-
-
其他:
產品詳情
-
產品名稱:Rabbit anti-Homo sapiens (Human) CPTP Polyclonal antibody
-
Uniprot No.:
-
基因名:CPTP
-
別名:Ceramide-1-phosphate transfer protein antibody; CPTP antibody; CPTP_HUMAN antibody; gltpd1 antibody; Glycolipid transfer protein domain-containing protein 1 antibody
-
宿主:Rabbit
-
反應種屬:Human
-
免疫原:Recombinant Human Ceramide-1-phosphate transfer protein (1-214AA)
-
免疫原種屬:Homo sapiens (Human)
-
標記方式:Non-conjugated
本頁面中的產品,CPTP Antibody (CSB-PA719416LA01HU),的標記方式是Non-conjugated。對于CPTP Antibody,我們還提供其他標記。見下表:
-
克隆類型:Polyclonal
-
抗體亞型:IgG
-
純化方式:>95%, Protein G purified
-
濃度:It differs from different batches. Please contact us to confirm it.
-
保存緩沖液:Preservative: 0.03% Proclin 300
Constituents: 50% Glycerol, 0.01M PBS, pH 7.4 -
產品提供形式:Liquid
-
應用范圍:ELISA, IHC, IF
-
推薦稀釋比:
Application Recommended Dilution IHC 1:200-1:500 IF 1:50-1:200 -
Protocols:
-
儲存條件:Upon receipt, store at -20°C or -80°C. Avoid repeated freeze.
-
貨期:Basically, we can dispatch the products out in 1-3 working days after receiving your orders. Delivery time maybe differs from different purchasing way or location, please kindly consult your local distributors for specific delivery time.
-
用途:For Research Use Only. Not for use in diagnostic or therapeutic procedures.
相關產品
靶點詳情
-
功能:Mediates the intracellular transfer of ceramide-1-phosphate (C1P) between organelle membranes and the cell membrane. Required for normal structure of the Golgi stacks. Can bind phosphoceramides with a variety of aliphatic chains, but has a preference for lipids with saturated C16:0 or monounsaturated C18:1 aliphatic chains, and is inefficient with phosphoceramides containing lignoceryl (C24:0). Plays a role in the regulation of the cellular levels of ceramide-1-phosphate, and thereby contributes to the regulation of phospholipase PLA2G4A activity and the release of arachidonic acid. Has no activity with galactosylceramide, lactosylceramide, sphingomyelin, phosphatidylcholine, phosphatidic acid and ceramide. C1P transfer is stimulated by phosphatidylserine in C1P source vesicles. Regulates autophagy, inflammasome mediated IL1B and IL18 processing, and pyroptosis, but not apoptosis.
-
基因功能參考文獻:
- a ubiquitously expressed lipid transfer protein, human GLTPD1, named here CPTP, is shown to specifically transfer C1P between membranes. PMID: 23863933
-
亞細胞定位:Cytoplasm, cytosol. Golgi apparatus, trans-Golgi network membrane; Peripheral membrane protein. Cell membrane; Peripheral membrane protein; Cytoplasmic side. Endosome membrane; Peripheral membrane protein. Nucleus outer membrane; Peripheral membrane protein.
-
蛋白家族:GLTP family
-
組織特異性:Ubiquitous. Detected in heart, brain, placenta, lung, liver, skeletal muscle, kidney, pancreas, spleen, thymus, prostate, testis, ovary, small intestine, colon and peripheral blood leukocytes.
-
數據庫鏈接:
Most popular with customers
-
-
YWHAB Recombinant Monoclonal Antibody
Applications: ELISA, WB, IHC, IF, FC
Species Reactivity: Human, Mouse, Rat
-
Phospho-YAP1 (S127) Recombinant Monoclonal Antibody
Applications: ELISA, WB, IHC
Species Reactivity: Human
-
-
-
-
-















