COTL1 Antibody
-
中文名稱:COTL1兔多克隆抗體
-
貨號:CSB-PA622751HA01HU
-
規格:¥440
-
圖片:
-
Western blot
All lanes: COTL1 antibody at 8µg/ml
Lane 1: Mouse brain tissue
Lane 2: Hela whole cell lysate
Lane 3: Mouse kidney tissue
Lane 4: HepG2 whole cell lysate
Lane 5: Mouse thymus tissue
Lane 6: U87 whole cell lysate
Lane 7: HL60 whole cell lysate
Lane 8: A549 whole cell lysate
Secondary
Goat polyclonal to rabbit IgG at 1/10000 dilution
Predicted band size: 16 kDa
Observed band size: 16 kDa -
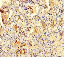
Immunohistochemistry of paraffin-embedded human lymphoid tissue using CSB-PA622751HA01HU at dilution of 1:100
-
Immunohistochemistry of paraffin-embedded human lung cancer using CSB-PA622751HA01HU at dilution of 1:100
-
-
其他:
產品詳情
-
產品名稱:Rabbit anti-Homo sapiens (Human) COTL1 Polyclonal antibody
-
Uniprot No.:
-
基因名:COTL1
-
別名:CLP antibody; Coactosin like 1 antibody; Coactosin-like protein antibody; COTL1 antibody; COTL1_HUMAN antibody; FLJ43657 antibody; MGC19733 antibody
-
宿主:Rabbit
-
反應種屬:Human, Mouse
-
免疫原:Recombinant Human Coactosin-like protein (2-142AA)
-
免疫原種屬:Homo sapiens (Human)
-
標記方式:Non-conjugated
本頁面中的產品,COTL1 Antibody (CSB-PA622751HA01HU),的標記方式是Non-conjugated。對于COTL1 Antibody,我們還提供其他標記。見下表:
-
克隆類型:Polyclonal
-
抗體亞型:IgG
-
純化方式:>95%, Protein G purified
-
濃度:It differs from different batches. Please contact us to confirm it.
-
保存緩沖液:Preservative: 0.03% Proclin 300
Constituents: 50% Glycerol, 0.01M PBS, PH 7.4 -
產品提供形式:Liquid
-
應用范圍:ELISA, WB, IHC
-
推薦稀釋比:
Application Recommended Dilution WB 1:500-1:5000 IHC 1:20-1:200 -
Protocols:
-
儲存條件:Upon receipt, store at -20°C or -80°C. Avoid repeated freeze.
-
貨期:Basically, we can dispatch the products out in 1-3 working days after receiving your orders. Delivery time maybe differs from different purchasing way or location, please kindly consult your local distributors for specific delivery time.
-
用途:For Research Use Only. Not for use in diagnostic or therapeutic procedures.
相關產品
靶點詳情
-
功能:Binds to F-actin in a calcium-independent manner. Has no direct effect on actin depolymerization. Acts as a chaperone for ALOX5 (5LO), influencing both its stability and activity in leukotrienes synthesis.
-
基因功能參考文獻:
- Study uncovers a novel tumor-suppressor role for CLP/Cotl1 and identify the downstream effectors interleukin 24 (IL-24)/PERP and IL-24/MAPK/ERK/TGF-beta. PMID: 28925397
- our combined results elucidated genetic and epigenetic silencing of miR-506-3p enhances COTL1 oncogene expression to foster NSCLC progression. PMID: 27893417
- The roles of CLP and FLAP in in cellular leukotriene biosynthesis, were studied. PMID: 25034252
- COTL1 regulates lamellipodia dynamics in part by protecting F-actin from cofilin-mediated disassembly. PMID: 24454796
- PAI-RBP1 and C1orf142 expression levels are higher in 95D (high metastatic potential) than in 95C (low metastatic potential) non-small lung cancer cells, whereas COTL1 expression level is lower in 95D when compared to 95C cells. PMID: 22373659
- Up-regulated COTL-1 expression in small cell lung cancer was validated by Western blot analysis, immunohistochemistry, and qRT-qPCR. PMID: 21047053
- Results of the present study support a role for CLP as a chaperoning scaffold factor, influencing both the stability and the activity of 5-LO. PMID: 19807693
- CLP 57-65 peptide elicits immediate-type hypersensitivity. Identical peptides are recognized by cellular and humoral immune systems to a tumor-associated antigen. CLP 15-24 and 104-113 might be used for peptide-based immunotherapy of HLA-A2(+) cancers. PMID: 11870627
- NMR resonance assignments and the secondary structures of human Coactosin like protein (hCLP) D123N PMID: 15213466
- coactosin-like protein (CLP) is an actin-binding protein as well as a 5-lipoxygenase binding partner PMID: 15333945
- structural analysis shows that CLP forms a polymer along the crystallographic b axis with the exact same repeat distance as F-actin; a model for the CLP polymer and F-actin binding has therefore been proposed. PMID: 15459340
- preliminary crystallographic studies of human coactosin-like protein (CLP) PMID: 15583396
- Coactosin-like protein (CLP) up-regulates Ca(2+)-induced 5-lipoxygenase (5LO) activity, and increases the amount of Leukotriene A(4) formed by 5LO. PMID: 16924104
- extended region of beta4-beta5 of hCLP (residue 66-75) was found very flexible and very important for F-actin binding. The C-terminal residues of human coactosin-like protein were not involved in F-actin binding PMID: 17070122
- We found that coactosin-like1 (COTL1) were highly expressed in rheumatoid arthritis patients compared with healthy controls PMID: 19307756
顯示更多
收起更多
-
亞細胞定位:Cytoplasm. Cytoplasm, cytoskeleton. Nucleus.
-
蛋白家族:Actin-binding proteins ADF family, Coactosin subfamily
-
組織特異性:Widely expressed with highest levels in placenta, lung, kidney and peripheral blood leukocytes and lower levels in brain, liver and pancreas.
-
數據庫鏈接:
Most popular with customers
-
-
YWHAB Recombinant Monoclonal Antibody
Applications: ELISA, WB, IHC, IF, FC
Species Reactivity: Human, Mouse, Rat
-
Phospho-YAP1 (S127) Recombinant Monoclonal Antibody
Applications: ELISA, WB, IHC
Species Reactivity: Human
-
-
-
-
-















