COPS7B Antibody
-
中文名稱:COPS7B兔多克隆抗體
-
貨號:CSB-PA872526LA01HU
-
規格:¥440
-
圖片:
-
Western Blot
Positive WB detected in: Mouse brain tissue, Mouse stomach tissue
All lanes: COPS7B antibody at 3µg/ml
Secondary
Goat polyclonal to rabbit IgG at 1/50000 dilution
Predicted band size: 30, 19, 31 kDa
Observed band size: 30 kDa -
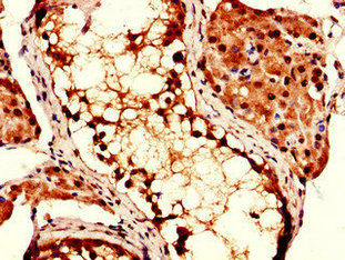
Immunohistochemistry of paraffin-embedded human testis tissue using CSB-PA872526LA01HU at dilution of 1:100
-
Immunofluorescent analysis of Hela cells using CSB-PA872526LA01HU at dilution of 1:100 and Alexa Fluor 488-congugated AffiniPure Goat Anti-Rabbit IgG(H+L)
-
-
其他:
產品詳情
-
產品名稱:Rabbit anti-Homo sapiens (Human) COPS7B Polyclonal antibody
-
Uniprot No.:
-
基因名:COPS7B
-
別名:COP9 Complex Homolog Subunit 7b antibody; COP9 Constitutive Photomorphogenic Homolog Subunit 7b antibody; COP9 Signalasome Subunit 7b antibody; COP9 signalosome complex subunit 7b antibody; COPS7B antibody; CSN7B_HUMAN antibody; JAB1 Containing Signalosome Subunit 7b antibody; JAB1-containing signalosome subunit 7b antibody; SGN7b antibody; Signalosome subunit 7b antibody
-
宿主:Rabbit
-
反應種屬:Human, Mouse
-
免疫原:Recombinant Human COP9 signalosome complex subunit 7b protein (1-157AA)
-
免疫原種屬:Homo sapiens (Human)
-
標記方式:Non-conjugated
本頁面中的產品,COPS7B Antibody (CSB-PA872526LA01HU),的標記方式是Non-conjugated。對于COPS7B Antibody,我們還提供其他標記。見下表:
-
克隆類型:Polyclonal
-
抗體亞型:IgG
-
純化方式:>95%, Protein G purified
-
濃度:It differs from different batches. Please contact us to confirm it.
-
保存緩沖液:Preservative: 0.03% Proclin 300
Constituents: 50% Glycerol, 0.01M PBS, PH 7.4 -
產品提供形式:Liquid
-
應用范圍:ELISA, WB, IHC, IF
-
推薦稀釋比:
Application Recommended Dilution WB 1:2000-1:5000 IHC 1:20-1:200 IF 1:50-1:200 -
Protocols:
-
儲存條件:Upon receipt, store at -20°C or -80°C. Avoid repeated freeze.
-
貨期:Basically, we can dispatch the products out in 1-3 working days after receiving your orders. Delivery time maybe differs from different purchasing way or location, please kindly consult your local distributors for specific delivery time.
-
用途:For Research Use Only. Not for use in diagnostic or therapeutic procedures.
相關產品
靶點詳情
-
功能:Component of the COP9 signalosome complex (CSN), a complex involved in various cellular and developmental processes. The CSN complex is an essential regulator of the ubiquitin (Ubl) conjugation pathway by mediating the deneddylation of the cullin subunits of SCF-type E3 ligase complexes, leading to decrease the Ubl ligase activity of SCF-type complexes such as SCF, CSA or DDB2. The complex is also involved in phosphorylation of p53/TP53, JUN, I-kappa-B-alpha/NFKBIA, ITPK1 and IRF8/ICSBP, possibly via its association with CK2 and PKD kinases. CSN-dependent phosphorylation of TP53 and JUN promotes and protects degradation by the Ubl system, respectively.
-
亞細胞定位:Cytoplasm. Nucleus.
-
蛋白家族:CSN7/EIF3M family, CSN7 subfamily
-
數據庫鏈接:
Most popular with customers
-
-
YWHAB Recombinant Monoclonal Antibody
Applications: ELISA, WB, IHC, IF, FC
Species Reactivity: Human, Mouse, Rat
-
-
-
-
-
-















