COPB1 Antibody
-
中文名稱:COPB1兔多克隆抗體
-
貨號:CSB-PA005783LA01HU
-
規格:¥440
-
圖片:
-
Western blot
All lanes: COPB1 antibody at 1μg/ml
Lane 1: Hela whole cell lysate
Lane 2: Jurkat whole cell lysate
Lane 3: NIH/3T3 whole cell lysate
Lane 4: Mouse liver tissue
Lane 5: A549 whole cell lysate
Secondary
Goat polyclonal to rabbit IgG at 1/10000 dilution
Predicted band size: 108 kDa
Observed band size: 108 kDa -
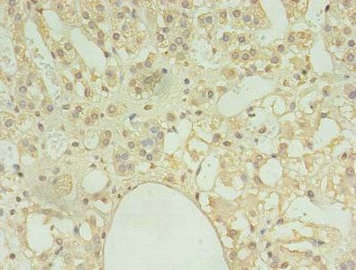
Immunohistochemistry of paraffin-embedded human adrenal gland tissue using CSB-PA005783LA01HU at dilution of 1:100
-
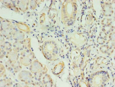
Immunohistochemistry of paraffin-embedded human pancreatic tissue using CSB-PA005783LA01HU at dilution of 1:100
-
-
其他:
產品詳情
-
產品描述:COBP1(Copper Binding Protein 1)是一種結合銅離子的蛋白質,它在細胞內具有多種功能,包括調節銅離子的代謝、維持生物體內銅離子的平衡和抗氧化等。COBP1抗體一般用于檢測COBP1蛋白在組織或細胞中的表達水平以及其在細胞過程中的作用機制。COBP1抗體通常由生物技術公司或實驗室制備,供科學研究人員使用。可以進行wb、免疫印跡、免疫組化和免疫熒光等實驗方法,來檢測COBP1抗體在樣本中的結合情況并確定COBP1蛋白的表達量和分布情況。此外,還可以利用COBP1抗體來研究COBP1與其他蛋白質的相互作用,探究其在不同生理過程中的功能和調控機制。COBP1抗體的選擇應該根據實驗需要和樣本來源進行考慮,確保其特異性和靈敏度。同時,在使用COBP1抗體進行實驗時,還需要注意實驗條件和操作過程,以確保實驗結果的準確性和可重復性。
-
產品名稱:Rabbit anti-Homo sapiens (Human) COPB1 Polyclonal antibody
-
Uniprot No.:
-
基因名:COPB1
-
別名:Beta-coat protein antibody; Beta-COP antibody; betacop antibody; Coatomer beta subunit antibody; Coatomer protein complex subunit beta 1 antibody; Coatomer protein complex subunit beta antibody; Coatomer subunit beta antibody; COPB antibody; COPB_HUMAN antibody; Copb1 antibody; DKFZp761K102 antibody; FLJ10341 antibody
-
宿主:Rabbit
-
反應種屬:Human, Mouse
-
免疫原:Recombinant Human Coatomer subunit beta protein (2-200AA)
-
免疫原種屬:Homo sapiens (Human)
-
標記方式:Non-conjugated
本頁面中的產品,COPB1 Antibody (CSB-PA005783LA01HU),的標記方式是Non-conjugated。對于COPB1 Antibody,我們還提供其他標記。見下表:
-
克隆類型:Polyclonal
-
抗體亞型:IgG
-
純化方式:Antigen Affinity Purified
-
濃度:It differs from different batches. Please contact us to confirm it.
-
保存緩沖液:Preservative: 0.03% Proclin 300
Constituents: 50% Glycerol, 0.01M PBS, PH 7.4 -
產品提供形式:Liquid
-
應用范圍:ELISA, WB, IHC
-
推薦稀釋比:
Application Recommended Dilution WB 1:500-1:2000 IHC 1:20-1:200 -
Protocols:
-
儲存條件:Upon receipt, store at -20°C or -80°C. Avoid repeated freeze.
-
貨期:Basically, we can dispatch the products out in 1-3 working days after receiving your orders. Delivery time maybe differs from different purchasing way or location, please kindly consult your local distributors for specific delivery time.
-
用途:For Research Use Only. Not for use in diagnostic or therapeutic procedures.
相關產品
靶點詳情
-
功能:The coatomer is a cytosolic protein complex that binds to dilysine motifs and reversibly associates with Golgi non-clathrin-coated vesicles, which further mediate biosynthetic protein transport from the ER, via the Golgi up to the trans Golgi network. Coatomer complex is required for budding from Golgi membranes, and is essential for the retrograde Golgi-to-ER transport of dilysine-tagged proteins. In mammals, the coatomer can only be recruited by membranes associated to ADP-ribosylation factors (ARFs), which are small GTP-binding proteins; the complex also influences the Golgi structural integrity, as well as the processing, activity, and endocytic recycling of LDL receptors. Plays a functional role in facilitating the transport of kappa-type opioid receptor mRNAs into axons and enhances translation of these proteins. Required for limiting lipid storage in lipid droplets. Involved in lipid homeostasis by regulating the presence of perilipin family members PLIN2 and PLIN3 at the lipid droplet surface and promoting the association of adipocyte surface triglyceride lipase (PNPLA2) with the lipid droplet to mediate lipolysis. Involved in the Golgi disassembly and reassembly processes during cell cycle. Involved in autophagy by playing a role in early endosome function. Plays a role in organellar compartmentalization of secretory compartments including endoplasmic reticulum (ER)-Golgi intermediate compartment (ERGIC), Golgi, trans-Golgi network (TGN) and recycling endosomes, and in biosynthetic transport of CAV1. Promotes degradation of Nef cellular targets CD4 and MHC class I antigens by facilitating their trafficking to degradative compartments.
-
基因功能參考文獻:
- Endogenous ANO1 was associated with COPB1 in U251 glioblastoma cells, and silencing of COPB1 enhanced surface expression and whole-cell currents of ANO1 in these cells. Taken together, these data suggest that COPB1 negatively regulates ANO1 surface expression. PMID: 27207835
-
亞細胞定位:Cytoplasm. Golgi apparatus membrane; Peripheral membrane protein; Cytoplasmic side. Cytoplasmic vesicle, COPI-coated vesicle membrane; Peripheral membrane protein; Cytoplasmic side. Cell membrane. Endoplasmic reticulum-Golgi intermediate compartment.
-
數據庫鏈接:
Most popular with customers
-
-
YWHAB Recombinant Monoclonal Antibody
Applications: ELISA, WB, IHC, IF, FC
Species Reactivity: Human, Mouse, Rat
-
Phospho-YAP1 (S127) Recombinant Monoclonal Antibody
Applications: ELISA, WB, IHC
Species Reactivity: Human
-
-
-
-
-















