COMMD1 Antibody
-
中文名稱:COMMD1兔多克隆抗體
-
貨號:CSB-PA818712ESR1HU
-
規格:¥440
-
圖片:
-
Western blot
All lanes: COMMD1 antibody at 5.36µg/ml
Lane 1: A549 whole cell lysate
Lane 2: Jurkat whole cell lysate
Lane 3: MCF-7 whole cell lysate
Lane 4: Hela whole cell lysate
Lane 5: HepG2 whole cell lysate
Secondary
Goat polyclonal to rabbit IgG at 1/10000 dilution
Predicted band size: 22, 18 kDa
Observed band size: 22 kDa -
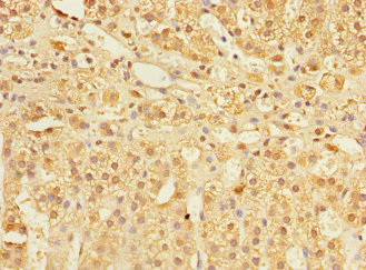
Immunohistochemistry of paraffin-embedded human liver cancer using CSB-PA818712ESR1HU at dilution of 1:100
-
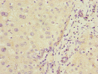
Immunohistochemistry of paraffin-embedded human adrenal gland tissue using CSB-PA818712ESR1HU at dilution of 1:100
-
Immunoprecipitating COMMD1 in HepG2 whole cell lysate
Lane 1: Rabbit control IgG instead of (1µg) instead of CSB-PA818712ESR1HU in HepG2 whole cell lysate. For western blotting, a HRP-conjugated anti-rabbit IgG, specific to the non-reduced form of IgG was used as the Secondary antibody (1/50000)
Lane 2: CSB-PA818712ESR1HU (4µg) + HepG2 whole cell lysate (500µg)
Lane 3: HepG2 whole cell lysate (20µg)
-
-
其他:
產品詳情
-
產品名稱:Rabbit anti-Homo sapiens (Human) COMMD1 Polyclonal antibody
-
Uniprot No.:
-
基因名:COMMD1
-
別名:C2orf5 antibody; COMD1 antibody; COMD1_HUMAN antibody; COMM domain-containing protein 1 antibody; COMMD1 antibody; Copper metabolism (Murr1) domain containing 1 antibody; Copper metabolism domain containing 1 antibody; Copper metabolism gene MURR1 antibody; Copper metabolism MURR1 domain-containing protein 1 antibody; MGC27155 antibody; MURR1 antibody; Protein Murr1 antibody
-
宿主:Rabbit
-
反應種屬:Human
-
免疫原:Recombinant Human COMM domain-containing protein 1 protein (1-190AA)
-
免疫原種屬:Homo sapiens (Human)
-
標記方式:Non-conjugated
-
克隆類型:Polyclonal
-
抗體亞型:IgG
-
純化方式:Antigen Affinity Purified
-
濃度:It differs from different batches. Please contact us to confirm it.
-
保存緩沖液:PBS with 0.02% sodium azide, 50% glycerol, pH7.3.
-
產品提供形式:Liquid
-
應用范圍:ELISA, WB, IHC, IP
-
推薦稀釋比:
Application Recommended Dilution WB 1:1000-1:5000 IHC 1:20-1:200 IP 1:200-1:2000 -
Protocols:
-
儲存條件:Upon receipt, store at -20°C or -80°C. Avoid repeated freeze.
-
貨期:Basically, we can dispatch the products out in 1-3 working days after receiving your orders. Delivery time maybe differs from different purchasing way or location, please kindly consult your local distributors for specific delivery time.
-
用途:For Research Use Only. Not for use in diagnostic or therapeutic procedures.
相關產品
靶點詳情
-
功能:Proposed scaffold protein that is implicated in diverse physiological processes and whose function may be in part linked to its ability to regulate ubiquitination of specific cellular proteins. Can modulate activity of cullin-RING E3 ubiquitin ligase (CRL) complexes by displacing CAND1; in vitro promotes CRL E3 activity and dissociates CAND1 from CUL1 and CUL2. Promotes ubiquitination of NF-kappa-B subunit RELA and its subsequent proteasomal degradation. Down-regulates NF-kappa-B activity. Involved in the regulation of membrane expression and ubiquitination of SLC12A2. Modulates Na(+) transport in epithelial cells by regulation of apical cell surface expression of amiloride-sensitive sodium channel (ENaC) subunits and by promoting their ubiquitination presumably involving NEDD4L. Promotes the localization of SCNN1D to recycling endosomes. Promotes CFTR cell surface expression through regulation of its ubiquitination. Down-regulates SOD1 activity by interfering with its homodimerization. Plays a role in copper ion homeostasis. Involved in copper-dependent ATP7A trafficking between the trans-Golgi network and vesicles in the cell periphery; the function is proposed to depend on its association within the CCC complex and cooperation with the WASH complex on early endosomes. Can bind one copper ion per monomer. May function to facilitate biliary copper excretion within hepatocytes. Binds to phosphatidylinositol 4,5-bisphosphate (PtdIns(4,5)P2). Involved in the regulation of HIF1A-mediated transcription; competes with ARNT/Hif-1-beta for binding to HIF1A resulting in decreased DNA binding and impaired transcriptional activation by HIF-1. Negatively regulates neuroblastoma G1/S phase cell cycle progression and cell proliferation by stimulating ubiquitination of NF-kappa-B subunit RELA and NF-kappa-B degradation in a FAM107A- and actin-dependent manner.
-
基因功能參考文獻:
- Sp1 constitutively regulates the basal expression of the COMMD1 gene in human epithelial cell lines. PMID: 29336469
- This study has thus revealed a novel nuclear complex of F-actin, DRR1 and COMMD1 that is involved in NF-kappaB degradation and cell cycle suppression in neuroblastoma cells. PMID: 28604741
- these results identify COMMD1 and an E2F-metabolic pathway as key regulators of osteoclastogenic responses under pathological inflammatory conditions PMID: 28723554
- The COMMD1 downregulation by miR-205 promotes tumor development by modulating a positive feedback loop that amplifies inflammatory- and stemness-associated properties of cancer cells. PMID: 26586569
- COMMD1 plays a critical role in the termination of NF-kappaB activity and the control of pro-inflammatory and pro-labor mediators. PMID: 26733542
- COMMD1 expression is associated with poor prognosis in diffuse large B-cell lymphoma PMID: 24625556
- COMMD1 is identified as a novel regulator of misfolded protein aggregation. PMID: 24691167
- COMMD1 is directly linked to early endosomes through its interaction with a protein complex containing CCDC22, CCDC93, and C16orf62. PMID: 25355947
- COMMD1 is acetylated by p300 and that acetylation protects COMMD1 from XIAP-mediated proteosomal degradation PMID: 25074812
- IkappaB-alpha protein was stabilized by COMMD1, which attenuated NF-kappaB signaling during Toll-like receptor ligand and tumor necrosis factor alpha treatment and enhanced HIV-1 latency in latently HIV-1-infected cells. PMID: 25520503
- These data demonstrate the anti-inflammatory properties of COMMD1 in bronchial epithelial cells and open new therapeutic avenues in cystic fibrosis. PMID: 23892095
- Placental COMMD1 expression is increased in women with severe preeclampsia compared to that found in women with normal pregnancies. PMID: 23364987
- The role of COMMD1 in copper metabolism and it structure and function are discussed. PMID: 23677795
- The results indicate a role for COMMD1 in the regulation of NKCC1 membrane expression and ubiquitination. PMID: 23515529
- No major role can be attributed to Atox1 and COMMD in the pathophysiology or clinical variation of Wilson disease. PMID: 22677543
- Clusterin and COMMD1 independently regulate degradation of the mammalian copper ATPases ATP7A and ATP7B. PMID: 22130675
- These results suggest that COMMD1 downregulates deltaENaC activity by reducing deltaENaC surface expression through promoting internalization of surface deltaENaC to an intracellular recycling pool, possibly via enhanced ubiquitination. PMID: 21741370
- Data show that COMMD1 interacts with CFTR. This interaction promotes CFTR cell surface expression as assessed by biotinylation experiments in heterologously expressing cells through regulation of CFTR ubiquitination. PMID: 21483833
- We argue that COMMD1 participates in the normal disposition of copper within the hepatocyte and we speculate about that role. PMID: 21275100
- COMMD1 as a novel protein regulating SOD1 activation and associate COMMD1 function with the production of free radicals. PMID: 20595380
- report a single novel, putative mutation in COMMD1 in one Wilson disease (WD) patient with atypical features; absence of any other prospective mutations among 108 patients suggests that COMMD1 variants are not major contributors towards WD phenotypes PMID: 20550661
- Elevated levels of sCLU promote prostate cancer cell survival by facilitating degradation of COMMD1 and I-kappaB, thereby activating the canonical NF-kappaB pathway. PMID: 20068069
- COMMD1 has a role in conjunction with HSP90beta/HSP70 in the ubiquitin and O(2)-independent regulation of HIF-1alpha PMID: 19802386
- These data identify a new role for COMMD1 in regulating the nuclear/nucleolar distribution of RelA PMID: 20048074
- No mutations in the MURR1 gene, including the intron-exon boundaries, were identified in a total of 23 patients with non-Wilsonian hepatic copper toxicosis PMID: 12547404
- findings reveal involvement of Murr1 in the defined pathway of hepatic biliary copper excretion, suggest a mechanism for Murr1 function in this process, and provide evidence in support of the proposed role of the MURR1 gene in hepatic copper toxicosis PMID: 12968035
- MURR1 was detected in different tissues and cell lines; in cell lines it was found both in cytosol and membrane preparations; in some cells MURR1 was associated with a vesicular compartment diffusely localized throughout the cell PMID: 14568250
- Murr1 is a novel regulator of delta ENaC PMID: 14645214
- Murr1, a gene product known previously for its involvement in copper regulation, inhibits HIV-1 growth in unstimulated CD4+ T cells PMID: 14685242
- XIAP functions through MUUR1 to regulate copper homeostasis. PMID: 14685266
- 3 intronic base pair changes, 1 new sequence variation & 2 known polymorphisms were detected, including the GAT/GAC heterozygous state at Asn 164 in 24% of the patients. GAT/GAC heterozygosity at Asn 164 is associated with earlier onset of Wilson disease. PMID: 15205742
- MURR1/COMMD1 functions in the nucleus by affecting the association of NF-kappaB with chromatin PMID: 15799966
- COMMD1 is not a significant contributor to Wilson-like copper storage disorders in humans. PMID: 16283886
- These data support the significance of COMMD protein-protein interactions and provide new mechanistic insight into the function of this protein family in NF-kappaB signalling. PMID: 16573520
- The solution structure of the N-terminal domain of COMMD1 (N-COMMD1, residues 1-108), is presented. PMID: 17097678
- COMMD1 accelerates the ubiquitination and degradation of NF-kappaB subunits through its interaction with a multimeric ubiquitin ligase containing Elongins B and C, Cul2 and SOCS1 (ECS(SOCS1)). PMID: 17183367
- COMMD1 specifically binds copper as Cu(II) in 1:1 stoichiometry & does not bind other divalent metals. Fluorescence studies of single point mutants of the full-length protein revealed the involvement of M110 in addition to H134 in direct Cu(II) binding. PMID: 17309234
- Implicate COMMD1 in the pathogenesis of Wilson's disease and indicate that COMMD1 exerts its regulatory role in copper homeostasis through the regulation of ATP7B stability. PMID: 17919502
- the ability to promote Lys(63)-mediated polyubiquitination of COMMD1 is a novel property of ARF independent of p53 PMID: 18305112
- COMMD1 expression is controlled primarily by protein ubiquitination PMID: 18795889
- COMMD1 is a scaffold protein in a distinct sub-compartment of endocytic pathway and offer first clues to its role as a regulator of structurally unrelated membrane transporters. PMID: 18940794
- Data suggest that translocation of ATP7B takes place independently of Rab7-regulated endosomal traffic, and that Murr1 plays a role in a later step of the copper excretion pathway but is not involved in the translocation of the Wilson disease protein. PMID: 18974300
顯示更多
收起更多
-
亞細胞定位:Nucleus. Cytoplasm. Endosome membrane. Cytoplasmic vesicle. Early endosome. Recycling endosome. Note=Shuttles between nucleus and cytosol. Detected in perinuclear foci that may be aggresomes containing misfolded, ubiquitinated proteins.
-
組織特異性:Ubiquitous. Highest expression in the liver, with lower expression in brain, lung, placenta, pancreas, small intestine, heart, skeletal muscle, kidney and placenta. Down-regulated in cancer tissues.
-
數據庫鏈接:
Most popular with customers
-
-
YWHAB Recombinant Monoclonal Antibody
Applications: ELISA, WB, IHC, IF, FC
Species Reactivity: Human, Mouse, Rat
-
Phospho-YAP1 (S127) Recombinant Monoclonal Antibody
Applications: ELISA, WB, IHC
Species Reactivity: Human
-
-
-
-
-















