COL9A3 Antibody
-
中文名稱:COL9A3兔多克隆抗體
-
貨號:CSB-PA005759DSR1HU
-
規格:¥440
-
圖片:
-
Western blot
All lanes: COL9A3antibody at 1.36μg/ml
Lane 1: MCF-7 whole cell lysate
Lane 2: A549 whole cell lysate
Secondary
Goat polyclonal to rabbit IgG at 1/10000 dilution
Predicted band size: 64 kDa
Observed band size: 64 kDa -
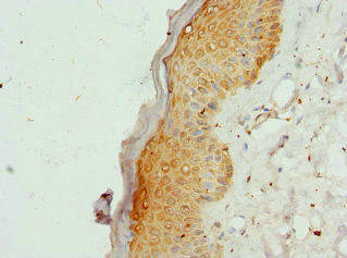
Immunohistochemistry of paraffin-embedded human skin tissue using CSB-PA005759DSR1HU at dilution of 1:100
-
-
其他:
產品詳情
-
產品名稱:Rabbit anti-Homo sapiens (Human) COL9A3 Polyclonal antibody
-
Uniprot No.:
-
基因名:
-
別名:COL9A3Collagen alpha-3(IX) chain antibody
-
宿主:Rabbit
-
反應種屬:Human
-
免疫原:Recombinant Human Collagen alpha-3(IX) chain protein (445-684AA)
-
免疫原種屬:Homo sapiens (Human)
-
標記方式:Non-conjugated
-
克隆類型:Polyclonal
-
抗體亞型:IgG
-
純化方式:Antigen Affinity Purified
-
濃度:It differs from different batches. Please contact us to confirm it.
-
保存緩沖液:PBS with 0.02% sodium azide, 50% glycerol, pH7.3.
-
產品提供形式:Liquid
-
應用范圍:ELISA, WB, IHC
-
推薦稀釋比:
Application Recommended Dilution WB 1:1000-1:5000 IHC 1:20-1:200 -
Protocols:
-
儲存條件:Upon receipt, store at -20°C or -80°C. Avoid repeated freeze.
-
貨期:Basically, we can dispatch the products out in 1-3 working days after receiving your orders. Delivery time maybe differs from different purchasing way or location, please kindly consult your local distributors for specific delivery time.
-
用途:For Research Use Only. Not for use in diagnostic or therapeutic procedures.
相關產品
靶點詳情
-
功能:Structural component of hyaline cartilage and vitreous of the eye.
-
基因功能參考文獻:
- rs61734651 variant in COL9A3 was not significantly associated with a predisposition to lumbar disc degeneration. PMID: 29506578
- In an Iranian population, we observed a 5.8-fold increase in the odds of degenerative disc disease in males when the Trp3 allele was present PMID: 27798555
- A novel missense mutation was identified in a family diagnosed with multiple epiphyseal dysplasia. PMID: 25381065
- Here, we describe the first autosomal recessive Stickler family due to loss of function mutations (c.1176_1198del, p.Gln393Cysfs*25) of COL9A3 gene. These findings extend further the role of collagen genes family in the disease pathogenesis. PMID: 24273071
- We report an 81% mutation detection rate for pseudoachondroplasia, of which COMP+Col9A3 mutations were more prevalent (61%) than COMP mutations alone (30%). PMID: 21042783
- Patients with COL9A3 in-frame deletion of three amino acid residues (G181-P183 del) and missense mutation (D617E) showed moderate progressive bilateral sensorineural hearing impairment in all frequencies. PMID: 15917166
- a fragment of collagen type IX alpha chain is found in 34% of newborns with ureteropelvic junction obstruction, and in 100% of normals. PMID: 17701042
顯示更多
收起更多
-
相關疾病:Multiple epiphyseal dysplasia 3 (EDM3); Intervertebral disc disease (IDD)
-
亞細胞定位:Secreted, extracellular space, extracellular matrix.
-
蛋白家族:Fibril-associated collagens with interrupted helices (FACIT) family
-
數據庫鏈接:
Most popular with customers
-
-
YWHAB Recombinant Monoclonal Antibody
Applications: ELISA, WB, IHC, IF, FC
Species Reactivity: Human, Mouse, Rat
-
Phospho-YAP1 (S127) Recombinant Monoclonal Antibody
Applications: ELISA, WB, IHC
Species Reactivity: Human
-
-
-
-
-















