COL4A5 Antibody
-
中文名稱:COL4A5兔多克隆抗體
-
貨號:CSB-PA005746LA01HU
-
規格:¥440
-
圖片:
-
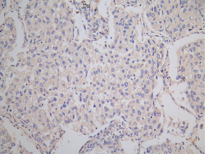
IHC image of CSB-PA005746LA01HU diluted at 1:150 and staining in paraffin-embedded human lung cancer performed on a Leica BondTM system. After dewaxing and hydration, antigen retrieval was mediated by high pressure in a citrate buffer (pH 6.0). Section was blocked with 10% normal goat serum 30min at RT. Then primary antibody (1% BSA) was incubated at 4°C overnight. The primary is detected by a Goat anti-rabbit polymer IgG labeled by HRP and visualized using 0.05% DAB.
-
Immunofluorescence staining of Hela cell with CSB-PA005746LA01HU at 1:100, counter-stained with DAPI. The cells were fixed in 4% formaldehyde and blocked in 10% normal Goat Serum. The cells were then incubated with the antibody overnight at 4C. The secondary antibody was Alexa Fluor 488-congugated AffiniPure Goat Anti-Rabbit IgG(H+L).
-
-
其他:
產品詳情
-
產品名稱:Rabbit anti-Homo sapiens (Human) COL4A5 Polyclonal antibody
-
Uniprot No.:
-
基因名:
-
別名:CO4A5_HUMAN antibody; COL4A5 antibody; Collagen alpha-5(IV) chain antibody
-
宿主:Rabbit
-
反應種屬:Human
-
免疫原:Recombinant Human Collagen alpha-5(IV) chain protein (1184-1235AA)
-
免疫原種屬:Homo sapiens (Human)
-
標記方式:Non-conjugated
本頁面中的產品,COL4A5 Antibody (CSB-PA005746LA01HU),的標記方式是Non-conjugated。對于COL4A5 Antibody,我們還提供其他標記。見下表:
-
克隆類型:Polyclonal
-
抗體亞型:IgG
-
純化方式:>95%, Protein G purified
-
濃度:It differs from different batches. Please contact us to confirm it.
-
保存緩沖液:Preservative: 0.03% Proclin 300
Constituents: 50% Glycerol, 0.01M PBS, pH 7.4 -
產品提供形式:Liquid
-
應用范圍:ELISA, IHC, IF
-
推薦稀釋比:
Application Recommended Dilution IHC 1:20-1:200 IF 1:20-1:200 -
Protocols:
-
儲存條件:Upon receipt, store at -20°C or -80°C. Avoid repeated freeze.
-
貨期:Basically, we can dispatch the products out in 1-3 working days after receiving your orders. Delivery time maybe differs from different purchasing way or location, please kindly consult your local distributors for specific delivery time.
-
用途:For Research Use Only. Not for use in diagnostic or therapeutic procedures.
相關產品
靶點詳情
-
功能:Type IV collagen is the major structural component of glomerular basement membranes (GBM), forming a 'chicken-wire' meshwork together with laminins, proteoglycans and entactin/nidogen.
-
基因功能參考文獻:
- Case Reports: female X-linked Alport syndrome patients with somatic mosaic variants in COL4A5. Phenotype severity in females could be affected by modifier gene variants. PMID: 27796712
- although alpha5 and alpha6 (IV) chains are induced in the glomerular basement membrane in autosomal recessive Alport syndrome, their induction does not seem to play a major compensatory role PMID: 27377778
- deletion breakpoints in five Alport syndrome-diffuse leiomyomatosis patients and show a contiguous COL4A6/COL4A5 deletion in each case, were characterized. PMID: 28275241
- variant c.2858G>T, rs78972735, annotated as a pathogenic mutation in dbSNP and human gene mutation database (HGMD), found in four family members with no clinical traits of Alport syndrome PMID: 28827396
- Missense mutation in exon 28 of the COL4A5 gene is associated with focal segmental glomerulosclerosis. PMID: 28604958
- We show that collagen IV mutations, including COL4A5, frequently underlie FSGS and should be considered, particularly with a positive family history. Targeted NGS improves diagnostic efficiency by investigating many candidate genes in parallel. PMID: 26346198
- Synonymous COL4A5 substitution responsible for X-linked Alport syndrome. PMID: 26581810
- Sanger sequencing of these regions identified a novel splicesite mutation in intron 9 (c.547-3C>A) of the COL4A5 gene. Subsequent cDNA analysis revealed that c.547- 3C>A led to skipping of exon 10, which resulted in an in-frame deletion of 21 amino acids from the a5 chain of type IV collagen. This is the first report of the novel c.547-3C>A splicing mutation in the collagen domain of COL4A5 gene. PMID: 26866448
- Coinheritance of COL4A5 and MYO1E mutations accentuate the severity of kidney disease. PMID: 25739341
- Case Report: subepidermal blistering disease with autoantibodies to multiple laminin subunits which developed autoantibodies to COL4A5 associated with membranous glomerulonephropathy. PMID: 25633161
- New COL4A5 mutations among Portuguese patients with collagen IV-related nephropathies were identified in unrelated individuals. PMID: 25307721
- alpha5(IV), but not alpha1(IV), promotes lung cancer cell proliferation and tumor angiogenesis through non-integrin collagen receptor DDR1-mediated ERK activation. PMID: 25992553
- New deletion in COL4A6/COL4A5 related to diffuse esophageal leiomyomatosis associated with Alport syndrome in a Chinese family. PMID: 26179878
- We identified a nucleotide change 1226 G>A, causing amino acid substitutions of Gly to Asp at position 409, in hemizygosis in the exon 20 of COL4A5 gene (proband 16 and the 13 in Alport syndrome pedigree PMID: 25572247
- the intima+media of IPAH vessels, collagens (COL4A5, COL14A1, and COL18A1), matrix metalloproteinase (MMP) 19, and a disintegrin and metalloprotease (ADAM) 33 were higher expressed, whereas MMP10, ADAM17, TIMP1, and TIMP3 were less abundant. PMID: 25840998
- we report 10 intronic mutations and one exonic mutation that produce aberrant splicing, including four deep intronic mutations that produced cryptic exons. PMID: 25183659
- 31 mutation in COL4A5 associated with autosomal dominant Alport syndrome. PMID: 24033287
- These results broadens the mutation spectrum in the COL4A5 gene associated with Alport syndrome. PMID: 25110662
- A novel missense mutation c.368G>A (p.Gly123Glu) in the collagen type IV alpha-5 gene (COL4A5) was found to be the genetic cause of the Alport syndrome PMID: 24522658
- Results help to clarify the milder clinical manifestations and molecular characteristics of male X-linked Alport syndrome patients expressing the alpha5(IV) chain. PMID: 24304881
- Case Report: female with X-linked Alport syndrome with compound heterozygous COL4A5 mutations and germ cell mosaicism. PMID: 24337245
- The objective of the following study was to record the specificity and sensitivity of alpha5(IV) loss, smoothelin expression and PLAP expression as markers of gastrointestinal smooth muscle neoplasms PMID: 24043717
- Genotype-phenotype correlation in X-linked Alport syndrome patients carrying missense mutations in the collagenous domain of COL4A5 PMID: 22335431
- report for the first time revealed that the frameshift mutation in the type IV collagen chain alpha5 causes only renal disease, without extrarenal lesion. PMID: 23085274
- A novel COL4A5 mutation (g. 4400_4400+1del), was detected in a Chinese female patient with X-linked Alport syndrome and her son. PMID: 22919268
- Certain mutations within the COL4A5 gene are associated with heterogeneous phenotypes. PMID: 21332469
- Mutation analysis of the proband has revealed a novel nonsense mutation (c.1135C>T; Gln379X) in exon 19 of the COL4A5 gene which may lead to a more severe phenotype in affected family members. carrying this mutation PMID: 21848006
- In this paper we improve the definition of the COL4A5/COL4A6 deletions in three Alport syndrome with diffuse leiomyomatosis. PMID: 21380622
- expression of collagen type IV alpha5 chain in the smooth muscle BM of the gastrointestinal tract is restricted to the esophagus in humans PMID: 20951201
- A novel COL4A5 mutation causes rapid progression to end-stage renal disease in males, despite the absence of clinical and biopsy findings associated with Alport syndrome. PMID: 20881942
- Overexpression of HSP47 decreased the secretion of heterotrimers containing the mutant collagen alpha5(IV) chain. PMID: 21187648
- A curated disease-specific database containing reported sequence variants in COL4A5, was developed. PMID: 20574986
- An assay useful for mutations responsible for the most adult type Alport syndrome in the U.S. is recommended for testing individuals from families carrying one of the COL4A5 mutations tested: Cys1564Ser, Leu1649Arg or Arg1677Gln. PMID: 19919694
- younger age at onset of ESRD associated with mutations at the 5' end of the gene PMID: 20378821
- Severe mutations in male individuals with X-linked Alport syndrome are associated with the perimacular dot-and-fleck retinopathy. Furthermore, the retinopathy indicates that male individuals are at increased risk for renal failure before the age of 30 PMID: 19965530
- new point mutation in a Spanish family with X-linked Alport syndrome PMID: 11961405
- thin basement membrane disease might be caused by an abnormality of the alpha5(IV) antigen along the glomerular basement membrane PMID: 12218303
- human CA54 protein has a natural tendency towards variants PMID: 12732331
- This study showed abnormal composition of alpha(IV) chains in the anterior lens capsule of a patient with anterior lenticonus caused by a nonsense mutation in the COL4A5 gene. PMID: 12796257
- absence of genotype-phenotype correlation and the large intrafamilial phenotypic heterogeneity PMID: 14514738
- there is no correlation between the severity of the glomerular involvement (expressed by proteinuria) and the staining of the alpha 5 chain in the EBM in females with X-linked Alport syndrome. PMID: 14531812
- We provide a first indication that highly specialized patterns characteristic of COL4A5-COL4A6 expression in vivo arise from effects of distributed cis-acting regulatory elements on a bidirectional proximal promoter, itself transcriptionally competent. PMID: 14592452
- critical role of COL4A5 gene mutations in the pathogenesis of Alport's syndrome. PMID: 14993485
- Alport syndrome in French Polynesia is due to a founder mutation, a tandem duplication of 35 exons, that occurred onto a common haplotype PMID: 15149316
- Collagen chains alpha5(IV) and alpha6(IV) were frequently absent in basement membrane from pancreatic adenocarcinoma, and their absence might be related to the invasion of cancer cells. PMID: 15211113
- COL4A5 mutations observed in evident X-linked Alport syndrome using genomic DNA. PMID: 15780079
- both COL12A1 and COL4A5 constitute good candidate target genes in the pathogenesis of subungual exostosis PMID: 16284948
- The expression of the alpha5(IV)/alpha6(IV) chains was down-regulated in colorectal cancer, and the loss of expression of the alpha5(IV)/alpha6(IV) chains was associated with the hypermethylation of their promoter region. PMID: 16507901
- analysis of conformational features of a natural break in the type IV collagen Gly-X-Y repeat PMID: 16613845
- Immunolocalization of alpha5 type (IV)-chain collagen in the kidney may correspond to the severity of the clinical phenotype. PMID: 16940319
顯示更多
收起更多
-
相關疾病:Alport syndrome, X-linked (APSX)
-
亞細胞定位:Secreted, extracellular space, extracellular matrix, basement membrane.
-
蛋白家族:Type IV collagen family
-
組織特異性:Isoform 2 is found in kidney.
-
數據庫鏈接:
Most popular with customers
-
-
YWHAB Recombinant Monoclonal Antibody
Applications: ELISA, WB, IHC, IF, FC
Species Reactivity: Human, Mouse, Rat
-
Phospho-YAP1 (S127) Recombinant Monoclonal Antibody
Applications: ELISA, WB, IHC
Species Reactivity: Human
-
-
-
-
-















