COL4A3 Antibody
-
中文名稱:COL4A3兔多克隆抗體
-
貨號:CSB-PA345280
-
規格:¥1100
-
圖片:
-
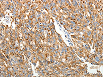
The image on the left is immunohistochemistry of paraffin-embedded Human ovarian cancer tissue using CSB-PA345280(COL4A3 Antibody) at dilution 1/20, on the right is treated with synthetic peptide. (Original magnification: ×200)
-
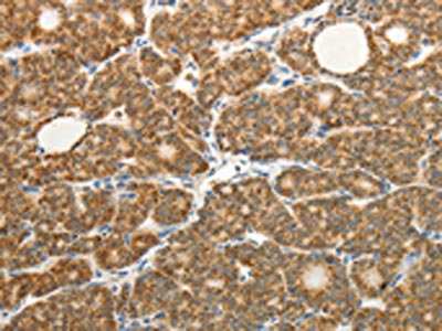
The image on the left is immunohistochemistry of paraffin-embedded Human thyroid cancer tissue using CSB-PA345280(COL4A3 Antibody) at dilution 1/20, on the right is treated with synthetic peptide. (Original magnification: ×200)
-
-
其他:
產品詳情
-
Uniprot No.:
-
基因名:
-
別名:Alpha 3 type IV collagen antibody; Alpha3 type IV collagen antibody; CO4A3_HUMAN antibody; COL4A 3 antibody; Col4a3 antibody; Collagen alpha 3(IV) chain antibody; Collagen IV alpha 3 polypeptide antibody; Collagen type IV alpha 3 (Goodpasture antigen) antibody; Collagen type IV alpha 3 antibody; Collagen type IV alpha 3 chain antibody; Goodpasture antigen antibody; OTTHUMP00000195044 antibody; Tumstatin antibody
-
宿主:Rabbit
-
反應種屬:Human,Mouse
-
免疫原:Synthetic peptide of Human COL4A3
-
免疫原種屬:Homo sapiens (Human)
-
標記方式:Non-conjugated
-
抗體亞型:IgG
-
純化方式:Antigen affinity purification
-
濃度:It differs from different batches. Please contact us to confirm it.
-
保存緩沖液:-20°C, pH7.4 PBS, 0.05% NaN3, 40% Glycerol
-
產品提供形式:Liquid
-
應用范圍:ELISA,IHC
-
推薦稀釋比:
Application Recommended Dilution ELISA 1:2000-1:5000 IHC 1:25-1:100 -
Protocols:
-
儲存條件:Upon receipt, store at -20°C or -80°C. Avoid repeated freeze.
-
貨期:Basically, we can dispatch the products out in 1-3 working days after receiving your orders. Delivery time maybe differs from different purchasing way or location, please kindly consult your local distributors for specific delivery time.
-
用途:For Research Use Only. Not for use in diagnostic or therapeutic procedures.
相關產品
靶點詳情
-
功能:Type IV collagen is the major structural component of glomerular basement membranes (GBM), forming a 'chicken-wire' meshwork together with laminins, proteoglycans and entactin/nidogen.; Tumstatin, a cleavage fragment corresponding to the collagen alpha 3(IV) NC1 domain, possesses both anti-angiogenic and anti-tumor cell activity; these two anti-tumor properties may be regulated via RGD-independent ITGB3-mediated mechanisms.
-
基因功能參考文獻:
- Goodpasture antigen peptide alpha3127-148 was identified as a mutual T and B cell epitope in patients with anti-glomerular basement membrane disease. PMID: 28152559
- Results showed that COL4A4 c.1471C>T and COL4A3 c.3418 + 1G>T variants in cis are pathogenic and co-segregate with the benign familial hematuria. This result suggests that COL4A3 and COL4A4 digenic mutations in cis mimicking an autosomal dominant inheritance should be considered as a novel inheritance pattern of benign familial hematuria. PMID: 29742505
- In a large Spanish family with Alport sysndrome, carriers of certain mutations in the COL4A3 gene were more severely affected and had earlier onset of the disease compared to non-carriers of these mutations. PMID: 29089023
- For mutation screening, all exons of COL4A3 and COL4A4 genes were polymerase chain reaction-amplified and direct sequenced from genomic DNA, and the mutations were analyzed by comparing with members in this family, 100 ethnicitymatched controls and the sequence of COL4A3 and COL4A4 genes from GenBank. A novel mutation determining a nucleotide change was found, i.e. c.4195 A>T (p.Met1399Leu) at 44th exon of COL4A4 gene. PMID: 28674241
- Two families showed COL4A3/A4 mutations in cis, mimicking an autosomal dominant inheritance with a more severe phenotype and one showed COL4A3/A4 mutations in trans, mimicking an autosomal recessive inheritance with a less severe phenotype. In a fourth family, a de novo mutation (COL4A5) combined with an inherited mutation (COL4A3) triggered a more severe phenotype PMID: 27859054
- Alport syndrome is the result of mutations in any of three type IV collagen genes, COL4A3, COL4A4, or COL4A5. Because the three collagen chains form heterotrimers, there is an absence of all three proteins in the basement membranes where they are expressed. (Review) PMID: 27576055
- These findings indicate that the heterozygous mutations in COL4A3 or COL4A4 may cause ESRD on their own, although secondary factors, such as environmental factors or unknown genetic changes, might also contribute to the phenotype of kidney disease in patients with ADAS. PMID: 27281700
- This study indicates that in our population, the COL4A3 rs55703767 polymorphism decreased the risk of KC. However, the TIMP-1 rs6609533 polymorphism was associated with an increased risk of KC. PMID: 28197741
- mutations in COL4A3, COL4A4, and COL4A5 in Chinese patients with Alport Syndrome PMID: 28542346
- COL4A3 gene expression is negatively regulated by ZEB1 binding to E2 box motifs in the COL4A3 promoter region. PMID: 27537263
- COL4A3 expression is significantly downregulated in human masticatory mucosa during wound healing PMID: 28005267
- New COL4A3 mutations among Portuguese patients with collagen IV-related nephropathies were identified in 18 unrelated families. PMID: 25307543
- The results support the hypothesis that certain hypomorphic podocin variants may act as adverse genetic modifiers when co-inherited with COL4A3 mutations PMID: 26138234
- Letter/Case Report: novel COL4A3 gene mutations in a consanguineous family with autosomal recessive Alport syndrome. PMID: 26194984
- we identified seven families with associated mutations in COL4A3 and COL4A4 genes and four families with associated mutations in COL4A4 and COL4A5. We did not find kindreds with digenic inheritance attributable to mutations in COL4A3 and COL4A5 PMID: 25575550
- Functional studies in cultured podocytes transfected with wild type or mutant COL4A3 chains showed retention of mutant collagens and differential activation of the unfolded protein response cascade. PMID: 25514610
- We found that 7 out of 70 families (10%) with familial focal segmental glomerulosclerosis in our cohort have rare variants in COL4A3 and COL4A4. PMID: 25229338
- COL4A3 mutations cause focal segmental glomerulosclerosis. PMID: 25596306
- A new mutation in the COL4A3 gene responsible for autosomal dominant Alport syndrome, which only generates hearing loss in some carriers PMID: 25450602
- In family 2, a novel COL4A3 missense mutation c.G2290A (p.Gly997Glu) was identified in all affected family members, who had disease ranging from isolated microscopic hematuria to end stage renal disease. PMID: 25381091
- 10 mutation in COL4A3 associated with autosomal dominant Alport syndrome. PMID: 24033287
- We could hypothesize that mutations in COL4A3 and COL4A4 genes are not involved in keratoconus risk in Greek population. PMID: 25083577
- A homozygous COL4A3 mutation, c.40_63del, was identified in Alport syndrome individuals with mutant alleles inherited from each parent on partially conserved haplotypes. PMID: 23927549
- Release of recombinant tumstatin in transgenic platelet granules led to antiangiogenic effect of platelets. PMID: 24655355
- COL4A3 overexpression in podocytes caused chain retention in the endoplasmic reticulum associated with activation of the unfolded protein response. Mutant COL4A3 chains differentially activated the UPR pathway in human and transfected mouse cells. PMID: 24262798
- Report monoclonal antibody against the collagen type IV alpha3NC1 domain as a marker for glomerular disease. PMID: 23515049
- Twenty mutation pairs (50%) affected COL4A3 and 20 pairs affected COL4A4 in Alport syndrome. PMID: 24052634
- Maintained expression of the alpha3(COLIV) chain is an early positive prognostic marker in patients with X-linked Alport symdrome. PMID: 23371956
- Quaternary epitopes within alpha345NC1 hexamers may initiate alloimmune responses after transplant in X-linked Alport patients. PMID: 23620401
- present a large consanguineous Turkish family with AS that was found to have a COL4A3 mutation as the cause of the disease PMID: 23297803
- Intramolecular epitope spreading might occur before the onset of human antiglomerular basement membrane disease; autoimmunity to E(A) and E(B), especially E(B), was crucial for kidney dysfunction. PMID: 23085731
- study found an association between lower COL4A3 mRNA expression levels and improved survival after treatment with a combination Gem/CDDP regimen for patients with advanced stage non-small cell lung cancer PMID: 23108892
- COL4A3 expression is negatively associated with a favorable prognosis of overall, advanced, and intestinal-type gastric carcinomas. PMID: 22939955
- Antibodies against linear epitopes on the Goodpasture autoantigen could be detected in human anti-glomerular basement membrane disease and were associated with kidney injury. PMID: 22461538
- Tumstatin-mRNA expression level correlates with prognosis, which suggests that tumstatin-mRNA is a new potential independent marker of favorable prognosis in non-small cell lung cancer. PMID: 22473740
- Circulating anti-GBM antibodies undetectable by ELISA could recognize cryptic and conformation-dependent epitopes restricted on col4a3. PMID: 21854504
- Identified mutations of the COL4A5 and COL4A3 gene in five Chinese Alport syndrome families. PMID: 21143337
- The absence of pathogenic mutations in COL4A3 gene in our large number of unrelated keratoconus patients indicates that other genetic factors are involved in the development of this disorder PMID: 20664914
- a novel heterozygous mutation p.G291E in exon 15 of the COL4A3 in the family who presented with hematuria and mild proteinuria. PMID: 20177710
- The expression of tumstatin gene was down-regulated in renal carcinoma tissues and cells. PMID: 19688274
- This is the first mutational screening of COL4A3 and COL4A4 genes in keratoconus patients to establish the status of these genes and compare them to a control population. PMID: 20029656
- the repetitive nature and relatedness of the alpha3(IV)NC1 antigenic epitopes facilitate cross-linking of pathogenic Ab, in vivo, by allowing both IgG Fab to bind to the basement membrane PMID: 19786737
- COL4A3 mutation: from familial hematuria to autosomal-dominant or recessive Alport syndrome. PMID: 12028435
- the quaternary organization of Goodpasture antigen demonstrates the molecular basis for the sequestration of epitopes PMID: 12193605
- No collagen alpha3(IV) or alpha4(IV) in lens capsules of 54-day human embryos, while collagen alpha3(IV) and alpha4(IV) were detected in adult humans. PMID: 12225806
- tumstatin binds to alpha v beta 3 integrin in a vitronectin/fibronectin/RGD cyclic peptide independent manner PMID: 12682293
- COL4A3 gene is associated with Alport's syndrome in which males and females are severely affected. PMID: 12768082
- In kidney, when expressed onto Col4a3(-/-) background, human alpha3(IV) chain restored expression of and co-assembled with mouse alpha4 and alpha5(IV) chains at sites where human alpha3(IV) was expressed. All three chains required for network assembly. PMID: 14507670
- Not only nephritogenic epitope itself, but flanking sequences and conformational context of nephritogenic epitope may influence its ability to cause glomerulonephritis. (alpha3(IV)NC1) PMID: 14633133
- COL4A3 mutations are common in thin basement membrane nephropathy PMID: 14871398
顯示更多
收起更多
-
相關疾病:Alport syndrome, autosomal recessive (APSAR); Hematuria, benign familial (BFH); Alport syndrome, autosomal dominant (APSAD)
-
亞細胞定位:Secreted, extracellular space, extracellular matrix, basement membrane.
-
蛋白家族:Type IV collagen family
-
組織特異性:Alpha 3 and alpha 4 type IV collagens are colocalized and present in kidney, eye, basement membranes of lens capsule, cochlea, lung, skeletal muscle, aorta, synaptic fibers, fetal kidney and fetal lung. PubMed:8083201 reports similar levels of expression
-
數據庫鏈接:
Most popular with customers
-
-
YWHAB Recombinant Monoclonal Antibody
Applications: ELISA, WB, IHC, IF, FC
Species Reactivity: Human, Mouse, Rat
-
Phospho-YAP1 (S127) Recombinant Monoclonal Antibody
Applications: ELISA, WB, IHC
Species Reactivity: Human
-
-
-
-
-















