COL4A2 Antibody
-
中文名稱:COL4A2兔多克隆抗體
-
貨號:CSB-PA578311
-
規格:¥1100
-
圖片:
-
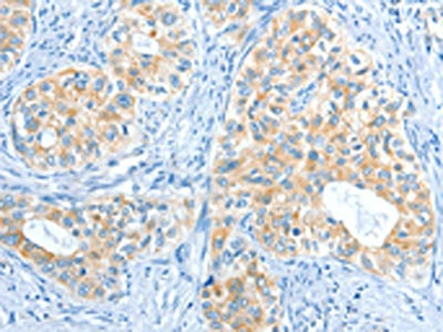
The image on the left is immunohistochemistry of paraffin-embedded Human liver cancer tissue using CSB-PA578311(COL4A2 Antibody) at dilution 1/70, on the right is treated with synthetic peptide. (Original magnification: ×200)
-
The image on the left is immunohistochemistry of paraffin-embedded Human cervical cancer tissue using CSB-PA578311(COL4A2 Antibody) at dilution 1/70, on the right is treated with synthetic peptide. (Original magnification: ×200)
-
-
其他:
產品詳情
-
Uniprot No.:
-
基因名:
-
別名:Canstatin antibody; CO4A2_HUMAN antibody; COL4A 2 antibody; Col4a2 antibody; Collagen alpha 2(IV) chain antibody; Collagen; type IV; alpha 2 antibody
-
宿主:Rabbit
-
反應種屬:Human,Mouse
-
免疫原:Synthetic peptide of Human COL4A2
-
免疫原種屬:Homo sapiens (Human)
-
標記方式:Non-conjugated
-
抗體亞型:IgG
-
純化方式:Antigen affinity purification
-
濃度:It differs from different batches. Please contact us to confirm it.
-
保存緩沖液:-20°C, pH7.4 PBS, 0.05% NaN3, 40% Glycerol
-
產品提供形式:Liquid
-
應用范圍:ELISA,IHC
-
推薦稀釋比:
Application Recommended Dilution ELISA 1:1000-1:5000 IHC 1:50-1:200 -
Protocols:
-
儲存條件:Upon receipt, store at -20°C or -80°C. Avoid repeated freeze.
-
貨期:Basically, we can dispatch the products out in 1-3 working days after receiving your orders. Delivery time maybe differs from different purchasing way or location, please kindly consult your local distributors for specific delivery time.
-
用途:For Research Use Only. Not for use in diagnostic or therapeutic procedures.
相關產品
靶點詳情
-
功能:Type IV collagen is the major structural component of glomerular basement membranes (GBM), forming a 'chicken-wire' meshwork together with laminins, proteoglycans and entactin/nidogen.; Canstatin, a cleavage product corresponding to the collagen alpha 2(IV) NC1 domain, possesses both anti-angiogenic and anti-tumor cell activity. It inhibits proliferation and migration of endothelial cells, reduces mitochondrial membrane potential, and induces apoptosis. Specifically induces Fas-dependent apoptosis and activates procaspase-8 and -9 activity. Ligand for alphavbeta3 and alphavbeta5 integrins.
-
基因功能參考文獻:
- Herein, we describe a large family of first-degree relatives affected by a novel heterozygous variant in COL4A2 (c.3490G.A). PMID: 28542708
- Data showed that Col4A2 can restrain triple-negative breast cancer (TNBC) cell lines MDA-MB-231 and MDA-MB-468 proliferation, migration, cell cycle, and ultimately lead to apoptosis. The data indicated that Col4A2 was significantly correlated with the proliferation and invasive potential of TNBC. PMID: 27906681
- In this study, the inhibitory effect of recombinant canstatin on tumour growth was investigated using a gastric cancer xenograft model. PMID: 27919040
- These results of this study provide evidence that the mutation of COL4A2 is associated with lacunar ischemic stroke and deep intracerebral hemorrhage. PMID: 28954878
- COL4A2 expression is significantly upregulated in human masticatory mucosa during wound healing PMID: 28005267
- These results indicate that the CHD-related genetic variant at the COL4A2 locus affects COL4A2/COL4A1 expression, smooth muscle cells survival, and atherosclerotic plaque stability, providing a mechanistic explanation for the association between the genetic variant and CHD risk. PMID: 27389912
- Expression of miR-26a and miR-29a was significantly down regulated in leukoplakia and cancer tissues but up regulated in lichen planus tissues. Expression of target genes such as, ADAMTS7, ATP1B1, COL4A2, CPEB3, CDK6, DNMT3a and PI3KR1 was significantly down regulated in at least two of three disease types with respect to normal tissues. PMID: 27515006
- identified a novel COL4A2 (c.2399G>A, p.G800E, CCDS41907.1) mutation in an autosomal dominant family with porencephaly and ocular abnormalities PMID: 26708157
- No significant change in canstatin levels was observed between normotensive and pre-eclampsia patients. PMID: 26343951
- Reduction of COL4A2 expression by RNAI-mediated knockdown induces cell death. Finally, elevated Notch3 expression levels correlate with higher COL4A2 expression in human ovarian tumor specimens PMID: 25169943
- An association was found between common variation in the COL4A2 gene and sporadic cerebral small vessel disease. PMID: 25653287
- Interleukin-1-induced changes in the glioblastoma secretome suggest its role in tumor progression. PMID: 24503185
- dominant COL4A2 mutations are a novel major risk factor for familial cerebrovascular disease, including porencephaly and small-vessel disease with reduced penetrance and variable phenotype, which might also be modified by other contributing factors. PMID: 22333902
- this study confirmed that abnormalities of the alpha1alpha1alpha2 heterotrimers of type IV collagen cause porencephaly and stresses the importance of screening for COL4A2 as well as for COL4A1. PMID: 22209246
- COL4A2 was overexpressed in the ER-negative breast cancer group. PMID: 20805453
- an imbalance of glomerular alpha2(IV) and alpha5(IV) chain expression occurred in IgA nephropathy PMID: 12021518
- Data show that the NC1 but not 7S domain is essential for chain association and initiation of triple helix formation in human collagen alpha2(IV) . PMID: 15522229
- alpha2(IV)NC1 domain has a role in regulating tumor cell behavior PMID: 15743801
- Comparison of alpha5(IV) with alpha2(IV) expression in Alport patients is simple and eliminates technical artifacts. PMID: 17554254
- support a crucial role for angiogenesis inhibitors in shifting the fate of radiation-induced HIF-1alpha activity from hypoxia-induced tumor radioresistance to hypoxia-induced tumor apoptosis PMID: 17557121
- The co-detection of alpha5 and alpha2 chains of collagen IV in frozen skin biopsies is therefore proposed as a simple technique to diagnose Alport syndrome. PMID: 18706356
- E1B-55kD-deleted oncolytic adenovirus armed with canstatin gene yields an enhanced anti-tumor efficacy on pancreatic cancer. PMID: 19481338
顯示更多
收起更多
-
相關疾病:Porencephaly 2 (POREN2); Intracerebral hemorrhage (ICH)
-
亞細胞定位:Secreted, extracellular space, extracellular matrix, basement membrane.
-
蛋白家族:Type IV collagen family
-
數據庫鏈接:
Most popular with customers
-
-
YWHAB Recombinant Monoclonal Antibody
Applications: ELISA, WB, IHC, IF, FC
Species Reactivity: Human, Mouse, Rat
-
Phospho-YAP1 (S127) Recombinant Monoclonal Antibody
Applications: ELISA, WB, IHC
Species Reactivity: Human
-
-
-
-
-















