COL20A1 Antibody
-
中文名稱:COL20A1兔多克隆抗體
-
貨號:CSB-PA873727LA01HU
-
規格:¥440
-
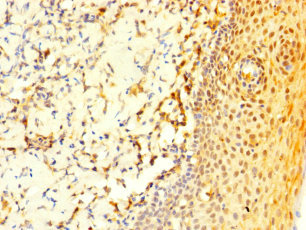
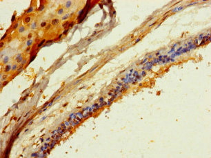
圖片:
-
其他:
產品詳情
-
產品名稱:Rabbit anti-Homo sapiens (Human) COL20A1 Polyclonal antibody
-
Uniprot No.:
-
基因名:COL20A1
-
別名:COL20A1 antibody; KIAA1510Collagen alpha-1(XX) chain antibody
-
宿主:Rabbit
-
反應種屬:Human
-
免疫原:Recombinant Human Collagen alpha-1(XX) chain protein (1143-1297AA)
-
免疫原種屬:Homo sapiens (Human)
-
標記方式:Non-conjugated
本頁面中的產品,COL20A1 Antibody (CSB-PA873727LA01HU),的標記方式是Non-conjugated。對于COL20A1 Antibody,我們還提供其他標記。見下表:
-
克隆類型:Polyclonal
-
抗體亞型:IgG
-
純化方式:>95%, Protein G purified
-
濃度:It differs from different batches. Please contact us to confirm it.
-
保存緩沖液:Preservative: 0.03% Proclin 300
Constituents: 50% Glycerol, 0.01M PBS, PH 7.4 -
產品提供形式:Liquid
-
應用范圍:ELISA, IHC
-
推薦稀釋比:
Application Recommended Dilution IHC 1:20-1:200 -
Protocols:
-
儲存條件:Upon receipt, store at -20°C or -80°C. Avoid repeated freeze.
-
貨期:Basically, we can dispatch the products out in 1-3 working days after receiving your orders. Delivery time maybe differs from different purchasing way or location, please kindly consult your local distributors for specific delivery time.
-
用途:For Research Use Only. Not for use in diagnostic or therapeutic procedures.
相關產品
靶點詳情
-
功能:Probable collagen protein.
-
基因功能參考文獻:
- Our study proposes COL20A1 gene as another potential candidate gene for striate palmoplantar keratoderma (PPKS)which expand the spectrum of collagen proteins in the pathogenicity of Palmoplantar keratoderma. PMID: 29934816
-
亞細胞定位:Secreted, extracellular space.
-
組織特異性:High expression in heart, lung, liver, skeletal muscle, kidney, pancreas, spleen, testis, ovary, subthalamic nucleus and fetal liver. Weak expression in other tissues tested.
-
數據庫鏈接:
Most popular with customers
-
-
YWHAB Recombinant Monoclonal Antibody
Applications: ELISA, WB, IHC, IF, FC
Species Reactivity: Human, Mouse, Rat
-
Phospho-YAP1 (S127) Recombinant Monoclonal Antibody
Applications: ELISA, WB, IHC
Species Reactivity: Human
-
-
-
-
-















