CNGB1 Antibody
-
中文名稱:CNGB1兔多克隆抗體
-
貨號:CSB-PA623897LA01HU
-
規格:¥440
-
圖片:
-
Western Blot
Positive WB detected in: Hela whole cell lysate, A549 whole cell lysate, 293T whole cell lysate
All lanes: CNGB1 antibody at 4.6µg/ml
Secondary
Goat polyclonal to rabbit IgG at 1/50000 dilution
Predicted band size: 140, 71, 33 kDa
Observed band size: 140 kDa -
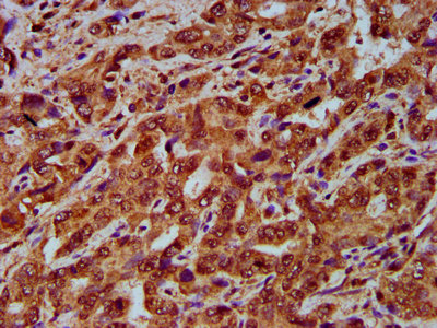
IHC image of CSB-PA623897LA01HU diluted at 1:200 and staining in paraffin-embedded human liver cancer performed on a Leica BondTM system. After dewaxing and hydration, antigen retrieval was mediated by high pressure in a citrate buffer (pH 6.0). Section was blocked with 10% normal goat serum 30min at RT. Then primary antibody (1% BSA) was incubated at 4°C overnight. The primary is detected by a biotinylated secondary antibody and visualized using an HRP conjugated SP system.
-
Immunofluorescence staining of A549 cells with CSB-PA623897LA01HU at 1:66, counter-stained with DAPI. The cells were fixed in 4% formaldehyde, permeabilized using 0.2% Triton X-100 and blocked in 10% normal Goat Serum. The cells were then incubated with the antibody overnight at 4°C. The secondary antibody was Alexa Fluor 488-congugated AffiniPure Goat Anti-Rabbit IgG(H+L).
-
-
其他:
產品詳情
-
產品名稱:Rabbit anti-Homo sapiens (Human) CNGB1 Polyclonal antibody
-
Uniprot No.:
-
基因名:
-
別名:CNGB1 antibody; CNCG2 antibody; CNCG3L antibody; CNCG4 antibody; RCNC2Cyclic nucleotide-gated cation channel beta-1 antibody; Cyclic nucleotide-gated cation channel 4 antibody; CNG channel 4 antibody; CNG-4 antibody; CNG4 antibody; Cyclic nucleotide-gated cation channel gamma antibody; Cyclic nucleotide-gated cation channel modulatory subunit antibody; Cyclic nucleotide-gated channel beta-1 antibody; CNG channel beta-1 antibody; Glutamic acid-rich protein antibody; GARP antibody
-
宿主:Rabbit
-
反應種屬:Human
-
免疫原:Recombinant Human Cyclic nucleotide-gated cation channel beta-1 protein (131-253AA)
-
免疫原種屬:Homo sapiens (Human)
-
標記方式:Non-conjugated
本頁面中的產品,CNGB1 Antibody (CSB-PA623897LA01HU),的標記方式是Non-conjugated。對于CNGB1 Antibody,我們還提供其他標記。見下表:
-
克隆類型:Polyclonal
-
抗體亞型:IgG
-
純化方式:>95%, Protein G purified
-
濃度:It differs from different batches. Please contact us to confirm it.
-
保存緩沖液:Preservative: 0.03% Proclin 300
Constituents: 50% Glycerol, 0.01M PBS, pH 7.4 -
產品提供形式:Liquid
-
應用范圍:ELISA, WB, IHC, IF
-
推薦稀釋比:
Application Recommended Dilution WB 1:500-1:5000 IHC 1:200-1:500 IF 1:50-1:200 -
Protocols:
-
儲存條件:Upon receipt, store at -20°C or -80°C. Avoid repeated freeze.
-
貨期:Basically, we can dispatch the products out in 1-3 working days after receiving your orders. Delivery time maybe differs from different purchasing way or location, please kindly consult your local distributors for specific delivery time.
-
用途:For Research Use Only. Not for use in diagnostic or therapeutic procedures.
相關產品
靶點詳情
-
功能:Subunit of cyclic nucleotide-gated (CNG) channels, nonselective cation channels, which play important roles in both visual and olfactory signal transduction. When associated with CNGA1, it is involved in the regulation of ion flow into the rod photoreceptor outer segment (ROS), in response to light-induced alteration of the levels of intracellular cGMP.; Isoform GARP2 is a high affinity rod photoreceptor phosphodiesterase (PDE6)-binding protein that modulates its catalytic properties: it is a regulator of spontaneous activation of rod PDE6, thereby serving to lower rod photoreceptor 'dark noise' and allowing these sensory cells to operate at the single photon detection limit.
-
基因功能參考文獻:
- Here, we present the first case of RP45 caused by an unequivocal homozygous nonsense variant of CNGB1 identified by run of homozygosity (ROH) analysis. PMID: 26901671
- Helios, and not FoxP3, is the marker of activated Tregs expressing GARP/LAP, and FoxP3+Helios+ Tregs have more suppressive characteristics, compared with FoxP3+Helios- Tregs. PMID: 26343373
- GARP2 expression in cones can be detrimental to cones. RDS/GARP interactions remain under investigation but are critical for both OS structure and function. PMID: 26720471
- The p.Arg86Gln mutation actually appears to be a polymorphism common in ethnic West Africans and not associated with RP. This change may provide a useful marker for West African ancestry. PMID: 23201897
- Deletion of the cyclic nucleotide gated channel CNGB1 alters response waveform but leaves light adaptation intact in a transgenic model. PMID: 21123569
- When expressed in a heterologous expression system the corresponding mutant full-length CNGB1a subunit was more susceptible to proteosomal degradation compared to the wild-type counterpart PMID: 20126465
- we report targeting of cyclic nucleotide-gated channel(CNG) to rod outer segment required interaction with ankyrin-G; ankyrin-G localized to rod outer segments, coimmunoprecipitated with CNG channel & bound to C-terminal domain of channel beta1 subunit PMID: 19299621
顯示更多
收起更多
-
相關疾病:Retinitis pigmentosa 45 (RP45)
-
亞細胞定位:Membrane; Multi-pass membrane protein.
-
蛋白家族:Cyclic nucleotide-gated cation channel (TC 1.A.1.5) family, CNGB1 subfamily
-
數據庫鏈接:
Most popular with customers
-
-
YWHAB Recombinant Monoclonal Antibody
Applications: ELISA, WB, IHC, IF, FC
Species Reactivity: Human, Mouse, Rat
-
-
-
-
-
-















