CMTM7 Antibody
-
中文名稱:CMTM7兔多克隆抗體
-
貨號:CSB-PA695128
-
規格:¥1100
-
圖片:
-
The image on the left is immunohistochemistry of paraffin-embedded Human colon cancer tissue using CSB-PA695128(CMTM7 Antibody) at dilution 1/30, on the right is treated with synthetic peptide. (Original magnification: ×200)
-
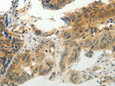
The image on the left is immunohistochemistry of paraffin-embedded Human liver cancer tissue using CSB-PA695128(CMTM7 Antibody) at dilution 1/30, on the right is treated with synthetic peptide. (Original magnification: ×200)
-
-
其他:
產品詳情
-
Uniprot No.:
-
基因名:CMTM7
-
別名:CMTM7; CKLFSF7; CKLF-like MARVEL transmembrane domain-containing protein 7; Chemokine-like factor superfamily member 7
-
宿主:Rabbit
-
反應種屬:Human
-
免疫原:Synthetic peptide of Human CMTM7
-
免疫原種屬:Homo sapiens (Human)
-
標記方式:Non-conjugated
-
抗體亞型:IgG
-
純化方式:Antigen affinity purification
-
濃度:It differs from different batches. Please contact us to confirm it.
-
保存緩沖液:-20°C, pH7.4 PBS, 0.05% NaN3, 40% Glycerol
-
產品提供形式:Liquid
-
應用范圍:ELISA,IHC
-
推薦稀釋比:
Application Recommended Dilution ELISA 1:1000-1:5000 IHC 1:25-1:100 -
Protocols:
-
儲存條件:Upon receipt, store at -20°C or -80°C. Avoid repeated freeze.
-
貨期:Basically, we can dispatch the products out in 1-3 working days after receiving your orders. Delivery time maybe differs from different purchasing way or location, please kindly consult your local distributors for specific delivery time.
-
用途:For Research Use Only. Not for use in diagnostic or therapeutic procedures.
相關產品
靶點詳情
-
基因功能參考文獻:
- Findings indicate the role of CMTM7 protein in the regulation of epidermal growth factor receptor (EGFR)-AKT proto-oncogene protein signaling in tumor cells, and as a molecule related to Rab5 GTP-binding protein activation. PMID: 26528697
- Loss of CMTM7 by promoter CpG methylation is associated with neoplasms. PMID: 23893243
- The CMTM7 expression may be related to survival of patients with non-smallcell lung cancer and a unique prognostic factor. CMTM7 may play an important role in NSCLC development. PMID: 23981602
- CMTM7 functions to link sIgM and BLNK in the plasma membrane. PMID: 22363743
-
亞細胞定位:Membrane; Multi-pass membrane protein.
-
蛋白家族:Chemokine-like factor family
-
組織特異性:Highly expressed in leukocytes.
-
數據庫鏈接:
Most popular with customers
-
-
YWHAB Recombinant Monoclonal Antibody
Applications: ELISA, WB, IHC, IF, FC
Species Reactivity: Human, Mouse, Rat
-
Phospho-YAP1 (S127) Recombinant Monoclonal Antibody
Applications: ELISA, WB, IHC
Species Reactivity: Human
-
-
-
-
-















