CLIP1 Antibody
-
中文名稱:CLIP1兔多克隆抗體
-
貨號:CSB-PA939596
-
規格:¥1100
-
圖片:
-
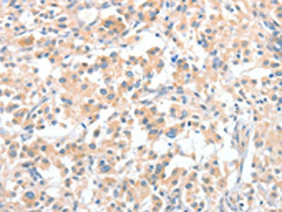
The image on the left is immunohistochemistry of paraffin-embedded Human thyroid cancer tissue using CSB-PA939596(CLIP1 Antibody) at dilution 1/30, on the right is treated with fusion protein. (Original magnification: ×200)
-
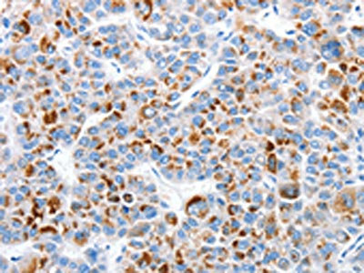
The image on the left is immunohistochemistry of paraffin-embedded Human liver cancer tissue using CSB-PA939596(CLIP1 Antibody) at dilution 1/30, on the right is treated with fusion protein. (Original magnification: ×200)
-
-
其他:
產品詳情
-
Uniprot No.:
-
基因名:
-
別名:CAP GLY domain containing linker protein 1 antibody; CAP-Gly domain-containing linker protein 1 antibody; CLIP 170 antibody; CLIP antibody; CLIP-170 antibody; CLIP1 antibody; CLIP1_HUMAN antibody; CYLN1 antibody; cytoplasmic linker 1 antibody; Cytoplasmic linker protein 1 antibody; Cytoplasmic linker protein 170 alpha 2 antibody; Cytoplasmic linker protein 170 alpha-2 antibody; Cytoplasmic linker protein CLIP 170 antibody; Reed Steinberg cell expressed intermediate filament associated antibody; Reed Sternberg intermediate filament associated protein 3 antibody; Reed-Sternberg intermediate filament-associated protein antibody; Restin antibody; RSN antibody
-
宿主:Rabbit
-
反應種屬:Human,Mouse
-
免疫原:Fusion protein of Human CLIP1
-
免疫原種屬:Homo sapiens (Human)
-
標記方式:Non-conjugated
-
抗體亞型:IgG
-
純化方式:Antigen affinity purification
-
濃度:It differs from different batches. Please contact us to confirm it.
-
保存緩沖液:-20°C, pH7.4 PBS, 0.05% NaN3, 40% Glycerol
-
產品提供形式:Liquid
-
應用范圍:ELISA,IHC
-
推薦稀釋比:
Application Recommended Dilution ELISA 1:1000-1:2000 IHC 1:25-1:100 -
Protocols:
-
儲存條件:Upon receipt, store at -20°C or -80°C. Avoid repeated freeze.
-
貨期:Basically, we can dispatch the products out in 1-3 working days after receiving your orders. Delivery time maybe differs from different purchasing way or location, please kindly consult your local distributors for specific delivery time.
-
用途:For Research Use Only. Not for use in diagnostic or therapeutic procedures.
相關產品
靶點詳情
-
功能:Binds to the plus end of microtubules and regulates the dynamics of the microtubule cytoskeleton. Promotes microtubule growth and microtubule bundling. Links cytoplasmic vesicles to microtubules and thereby plays an important role in intracellular vesicle trafficking. Plays a role macropinocytosis and endosome trafficking.
-
基因功能參考文獻:
- we report an unexpected finding that CLIP170 negatively regulates TLR4 signaling by the targeted ubiquitination and degradation of TIRAP. Furthermore, we observed that CLIP170 expression is modulated by LPS to maintain the cellular homeostasis. PMID: 29222167
- ASK1- induced phosphorylation of EB1 not only increases its plus end-tracking ability, but also promotes its recruitment of CLIP170 and p150glued to astral microtubules. PMID: 28039481
- single-molecule fluorescence microscopy showed that the microtubule plus-end-associated protein CLIP-170 binds tightly to formins to accelerate actin filament elongation. PMID: 27199431
- We find that LRRK1-mediated phosphorylation of CLIP-170 causes the accumulation of p150(Glued) (also known as DCTN1) a subunit of dynactin, at microtubule plus ends, thereby facilitating the migration of EGFR-containing endosomes. PMID: 25413345
- herpesvirus particles are absolutely dependent on CLIP-170-mediated capture to initiate transport in primary human cells. PMID: 26504169
- We show that AMPH-1/BIN1 binds to nesprin and actin, as well as to the microtubule-binding protein CLIP170 in both species. We propose that BIN1 has a direct and evolutionarily conserved role in nuclear positioning, altered in myopathies. PMID: 26506308
- Restin inhibits epithelial-mesenchymal transition and tumor metastasis by controlling the expression of the tumor metastasis suppressor mir-200a/b via association with p73. PMID: 25972084
- CLIP-170 tethers kinetochores to microtubule ends against the dynein-mediated poleward force to slide kinetochores along microtubules PMID: 26231764
- A defect in the CLIP1 gene (CLIP-170) can cause autosomal recessive intellectual disability. PMID: 24569606
- Data suggest that CLIP-170 acts as a novel recruiter and spatial regulator of PLK1 at kinetochores during early mitosis, promoting K-fiber stability and chromosome alignment for error-free chromosome segregation. PMID: 24777477
- siRNA-mediated knockdown of the cytoplasmic linker protein compromised the assembly and branching of capillary-like blood vessels and neovascularization in vivo. It was critical for the motility abilities of HUVECs through its actions on cell polarity. PMID: 24530770
- HDAC6 interacts with cytoplasmic linker protein 170 (CLIP-170) and that these two proteins function together to stimulate the migration of pancreatic cancer cells. PMID: 24474193
- CLIP-170 phosphorylation by Plk1 regulates proper chromosome alignment PMID: 24451569
- Depletion of CLIP-170 significantly impaired vascular endothelial tube formation and sprouting in vitro and inhibited breast tumor growth in mice by decreasing tumor vascularization. PMID: 23549612
- We further demonstrate that this binding was prevented when the C-terminal tyrosine of EB1 was absent in the peptidic probes. PMID: 22543185
- results suggest that EB1 and ClipCG12 act cooperatively to regulate microtubule dynamics (CLIP-170) PMID: 22424550
- End-binding proteins interact with the CAP-Gly domains of CLIP-170 and p150(glued). PMID: 22119847
- These results demonstrate that CLIP-170 mediates paclitaxel sensitivity in breast cancer via a microtubule-dependent mechanism. PMID: 21989536
- Herein, the authors have identified polo-like kinase 1 (Plk1) and casein kinase 2 (CK2) as two kinases of CLIP-170 and mapped S195 and S1318 as their respective phosphorylation sites. PMID: 20664522
- LIS1, CLIP-170's key to the dynein/dynactin pathway PMID: 11940666
- The cytoplasmic linker protein CLIP-170 is a human autoantigen PMID: 11966772
- Rac1 and Cdc42 capture microtubules through IQGAP1 and CLIP-170. PMID: 12110184
- expressed at high levels in monocyte-derived dendritic cells and IL-4 + CD40L-activated B cells and is involved in the trafficking of macropinosomes to the cytoskeleton, a crucial step in antigen presentation PMID: 12433698
- neogenin and restin have roles in proproliferation/survival action on ovarian cancer cells PMID: 12833147
- The restin gene was amplified from retinoic acid-treated promyelocytic cell line HL-60 by RT-PCR and cloned into a prokaryotic expression vector. PMID: 15862147
- these data explain observations that CLIP-170 localizes to newly polymerized microtubules in vitro but cannot track microtubule plus-ends in vitro. These observations have implications for the functions of CLIP-170 in regulating microtubule dynamics PMID: 16120651
- CLIP-170 facilitates the formation of kinetochore-microtubule attachments, possibly through direct capture of microtubules at the kinetochore. PMID: 16362039
- STAT-1alpha plays an important role in the atRA-induced transcriptional up-regulation of restin PMID: 16574066
- The function of CLIP-170 in membrane trafficking is not associated with plus-end localization. PMID: 16772339
- A structural basis for tubulin recognition by CLIP-170 and its autoinhibition is provided. PMID: 17563362
- Data use the complex formed between the CAP-Gly domain of p150(glued) and the C-terminal zinc knuckle of CLIP170 as a model system to explore the structure-function relationship of CAP-Gly-mediated protein interactions. PMID: 17828277
- Crystal structures of the tubulin binding domains of XMAP215 (yeast Stu2p and Drosophila Msps), EB1 (yeast Bim1p and human EB1), and CLIP-170 (human), which reveal diverse tubulin binding interfaces, are reported. PMID: 17889670
- The results suggest that promotion of lamellipodia formation and invasion by HGF or serum requires PI3K-dependent release of IQGAP1 and kinesin from Rac1-CLIP-170 complex. PMID: 18237546
- CLIP-170 was expressed in differentiated keratinocytes, first at the periphery of the nucleus then with a granular cytoplasmic labeling evocative of lamellar bodies PMID: 18622020
- Amphiphysin 2/BIN1 participates in the tubulation of traffic intermediates and intracellular organelles first via its intrinsic tubulating potential and second via its ability to bind CLIP-170 and microtubules. PMID: 19004523
- these results suggest that complexes of dynein, Lis1 and CLIP-170 crosslink and slide microtubules within the spindle, thereby producing an inward force that pulls centrosomes together. PMID: 19020519
- EB1 is both necessary and sufficient to mediate microtubule plus-end tracking by CLIP-170. PMID: 19126680
- Cdc2-mediated phosphorylation of CLIP-170 is essential for the normal function of this protein during cell cycle progression PMID: 19687009
顯示更多
收起更多
-
亞細胞定位:Cytoplasm. Cytoplasm, cytoskeleton. Cytoplasmic vesicle membrane; Peripheral membrane protein; Cytoplasmic side. Cell projection, ruffle.
-
組織特異性:Detected in dendritic cells (at protein level). Highly expressed in the Reed-Sternberg cells of Hodgkin disease.
-
數據庫鏈接:
Most popular with customers
-
-
Phospho-YAP1 (S127) Recombinant Monoclonal Antibody
Applications: ELISA, WB, IHC
Species Reactivity: Human
-
-
-
-
-
-















