CLEC4D Antibody
-
中文名稱:CLEC4D兔多克隆抗體
-
貨號:CSB-PA841219LA01HU
-
規格:¥440
-
圖片:
-
其他:
產品詳情
-
產品名稱:Rabbit anti-Homo sapiens (Human) CLEC4D Polyclonal antibody
-
Uniprot No.:
-
基因名:CLEC4D
-
別名:C type (calcium dependent; carbohydrate recognition domain) lectin; superfamily member 8 antibody; C type lectin domain family 4; member D antibody; C type lectin like receptor 6 antibody; C type lectin receptor antibody; C type lectin superfamily member 8 antibody; C-type lectin domain family 4 member D antibody; C-type lectin superfamily member 8 antibody; C-type lectin-like receptor 6 antibody; CLC4D_HUMAN antibody; CLEC 6 antibody; CLEC-6 antibody; Clec4d antibody; CLEC6 antibody; CLECSF8 antibody; lectin; C type; superfamily member 8 antibody; Macrophage C type lectin antibody; MCL antibody; MGC40078 antibody; MPCL antibody
-
宿主:Rabbit
-
反應種屬:Human
-
免疫原:Recombinant Human C-type lectin domain family 4 member D protein (39-215AA)
-
免疫原種屬:Homo sapiens (Human)
-
標記方式:Non-conjugated
本頁面中的產品,CLEC4D Antibody (CSB-PA841219LA01HU),的標記方式是Non-conjugated。對于CLEC4D Antibody,我們還提供其他標記。見下表:
-
克隆類型:Polyclonal
-
抗體亞型:IgG
-
純化方式:>95%, Protein G purified
-
濃度:It differs from different batches. Please contact us to confirm it.
-
保存緩沖液:Preservative: 0.03% Proclin 300
Constituents: 50% Glycerol, 0.01M PBS, PH 7.4 -
產品提供形式:Liquid
-
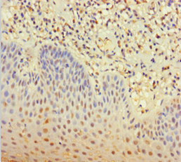
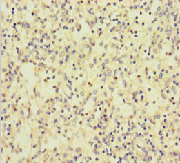
應用范圍:ELISA, IHC
-
推薦稀釋比:
Application Recommended Dilution IHC 1:20-1:200 -
Protocols:
-
儲存條件:Upon receipt, store at -20°C or -80°C. Avoid repeated freeze.
-
貨期:Basically, we can dispatch the products out in 1-3 working days after receiving your orders. Delivery time maybe differs from different purchasing way or location, please kindly consult your local distributors for specific delivery time.
-
用途:For Research Use Only. Not for use in diagnostic or therapeutic procedures.
相關產品
靶點詳情
-
功能:Calcium-dependent lectin that acts as a pattern recognition receptor (PRR) of the innate immune system: recognizes damage-associated molecular patterns (DAMPs) of pathogen-associated molecular patterns (PAMPs) of bacteria and fungi. The PAMPs include alpha-mannans on C.albicans hypheas and mycobacterial trehalose 6,6'-dimycolate (TDM). Interacts with signaling adapter Fc receptor gamma chain/FCER1G, likely via CLEC4E, to form a functional complex in myeloid cells. Binding of mycobacterial TDM or C.albicans alpha-mannans to this receptor complex leads to phosphorylation of the immunoreceptor tyrosine-based activation motif (ITAM) of FCER1G, triggering activation of SYK, CARD9 and NF-kappa-B, consequently driving maturation of antigen-presenting cells and shaping antigen-specific priming of T-cells toward effector T-helper 1 and T-helper 17 cell subtypes. The heterodimer formed with CLEC6A is active against fungal infection. Functions as an endocytic receptor. May be involved in antigen uptake at the site of infection, either for clearance of the antigen, or for processing and further presentation to T-cells.
-
基因功能參考文獻:
- Results show the molecular mechanism of glycolipid recognition through C-type lectin receptors, which may provide clues to rational design for effective adjuvants. PMID: 24101491
- CLECSF8 functions as an activation receptor on myeloid cells and associates with a novel adaptor molecule PMID: 22689578
- Cross-linking of the receptor leads to a rapid internalization suggesting that CLECSF8 constitutes and endocytic receptor. PMID: 14971047
-
亞細胞定位:Cell membrane; Single-pass type II membrane protein.
-
組織特異性:Expressed weakly in peripheral blood leukocytes, bone marrow and spleen. Expression is confined mostly in monocytes and macrophage and seems to be up-regulated by IL-6, IL-10, TNF-alpha and IFN-gamma.
-
數據庫鏈接:
Most popular with customers
-
-
YWHAB Recombinant Monoclonal Antibody
Applications: ELISA, WB, IHC, IF, FC
Species Reactivity: Human, Mouse, Rat
-
-
-
-
-
-















