CLEC18A Antibody
-
中文名稱:CLEC18A兔多克隆抗體
-
貨號:CSB-PA005521LA01HU
-
規格:¥440
-
圖片:
-
Western blot
All lanes: CLEC18A antibody at 2µg/ml + Mouse stomach tissue
Secondary
Goat polyclonal to rabbit IgG at 1/10000 dilution
Predicted band size: 50, 12 kDa
Observed band size: 50 kDa -
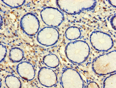
Immunohistochemistry of paraffin-embedded human stomach tissue using CSB-PA005521LA01HU at dilution of 1:100
-
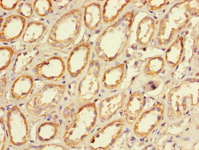
Immunohistochemistry of paraffin-embedded human kidney tissue using CSB-PA005521LA01HU at dilution of 1:100
-
-
其他:
產品詳情
-
產品描述:
The generation of the CLEC18A antibody starts by immunizing rabbits with the recombinant human CLEC18A (27-446AA) and ends by purifying from rabbit antiserum by protein G. The resulting CLEC18A antibody is a polyclonal antibody and occurs as an unconjugated IgG. Its purity is over 95%. It can react with human and mouse CLEC18A protein, an isoform of CLEC18, which binds polysaccharides in a Ca2+-independent manner with a preferentially binding to fucoidan, beta-glucans and galactans. This CLEC18A antibody is suitable for the recognition of the CLEC18A protein in ELISA, WB, and IHC applications.
-
產品名稱:Rabbit anti-Homo sapiens (Human) CLEC18A Polyclonal antibody
-
Uniprot No.:
-
基因名:CLEC18A
-
別名:C-type lectin domain family 18 member A antibody; CL18A_HUMAN antibody; CLEC18A antibody; FLJ77955 antibody; Mannose receptor-like protein 2 antibody; MGC164804 antibody; Mrcl antibody; MRCL1 antibody; MRLP2 antibody
-
宿主:Rabbit
-
反應種屬:Human, Mouse
-
免疫原:Recombinant Human C-type lectin domain family 18 member A protein (27-446AA)
-
免疫原種屬:Homo sapiens (Human)
-
標記方式:Non-conjugated
本頁面中的產品,CLEC18A Antibody (CSB-PA005521LA01HU),的標記方式是Non-conjugated。對于CLEC18A Antibody,我們還提供其他標記。見下表:
-
克隆類型:Polyclonal
-
抗體亞型:IgG
-
純化方式:>95%, Protein G purified
-
濃度:It differs from different batches. Please contact us to confirm it.
-
保存緩沖液:Preservative: 0.03% Proclin 300
Constituents: 50% Glycerol, 0.01M PBS, PH 7.4 -
產品提供形式:Liquid
-
應用范圍:ELISA, WB, IHC
-
推薦稀釋比:
Application Recommended Dilution WB 1:1000-1:5000 IHC 1:20-1:200 -
Protocols:
-
儲存條件:Upon receipt, store at -20°C or -80°C. Avoid repeated freeze.
-
貨期:Basically, we can dispatch the products out in 1-3 working days after receiving your orders. Delivery time maybe differs from different purchasing way or location, please kindly consult your local distributors for specific delivery time.
-
用途:For Research Use Only. Not for use in diagnostic or therapeutic procedures.
相關產品
靶點詳情
-
功能:Binds polysaccharides in a Ca(2+)-independent manner with a preferentially binding to fucoidan, beta-glucans and galactans.
-
基因功能參考文獻:
- Plasma CLEC18 levels were correlated with the stage of HBV infection and could predict HBeAg loss and seroconversion in the patients with chronic hepatitis B (CHB) undergoing NUC therapy PMID: 30055605
-
亞細胞定位:Secreted. Endoplasmic reticulum. Golgi apparatus. Endosome.
-
組織特異性:Dectected in all cell lines tested and in peripheral blood cells.
-
數據庫鏈接:
Most popular with customers
-
YWHAB Recombinant Monoclonal Antibody
Applications: ELISA, WB, IHC, IF, FC
Species Reactivity: Human, Mouse, Rat
-
Phospho-YAP1 (S127) Recombinant Monoclonal Antibody
Applications: ELISA, WB, IHC
Species Reactivity: Human
-
-
-
-
-
-















