CLDN5 Antibody
-
中文名稱:CLDN5兔多克隆抗體
-
貨號:CSB-PA578073
-
規格:¥1100
-
圖片:
-
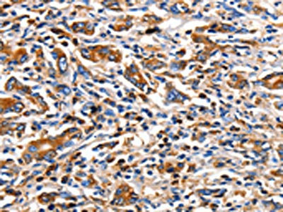
The image on the left is immunohistochemistry of paraffin-embedded Human gastic cancer tissue using CSB-PA578073(CLDN5 Antibody) at dilution 1/10, on the right is treated with synthetic peptide. (Original magnification: ×200)
-
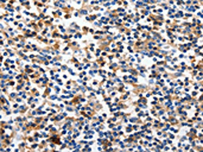
The image on the left is immunohistochemistry of paraffin-embedded Human tonsil tissue using CSB-PA578073(CLDN5 Antibody) at dilution 1/10, on the right is treated with synthetic peptide. (Original magnification: ×200)
-
-
其他:
產品詳情
-
Uniprot No.:
-
基因名:CLDN5
-
別名:CLDN5; AWAL; TMVCF; Claudin-5; Transmembrane protein deleted in VCFS; TMDVCF
-
宿主:Rabbit
-
反應種屬:Human,Mouse,Rat
-
免疫原:Synthetic peptide of Human CLDN5
-
免疫原種屬:Homo sapiens (Human)
-
標記方式:Non-conjugated
-
抗體亞型:IgG
-
純化方式:Antigen affinity purification
-
濃度:It differs from different batches. Please contact us to confirm it.
-
保存緩沖液:-20°C, pH7.4 PBS, 0.05% NaN3, 40% Glycerol
-
產品提供形式:Liquid
-
應用范圍:ELISA,IHC
-
推薦稀釋比:
Application Recommended Dilution ELISA 1:1000-1:2000 IHC 1:10-1:50 -
Protocols:
-
儲存條件:Upon receipt, store at -20°C or -80°C. Avoid repeated freeze.
-
貨期:Basically, we can dispatch the products out in 1-3 working days after receiving your orders. Delivery time maybe differs from different purchasing way or location, please kindly consult your local distributors for specific delivery time.
-
用途:For Research Use Only. Not for use in diagnostic or therapeutic procedures.
相關產品
靶點詳情
-
功能:Plays a major role in tight junction-specific obliteration of the intercellular space.
-
基因功能參考文獻:
- Results show that Claudin 5 expression is activated by SIRT1 deacetylating and potentiating KLF4. PMID: 28888043
- the present study revealed the distinct expression profiles of claudin5, 7 and 8 in nonneoplastic mucosal tissues and gastric carcinoma tissues. Furthermore, the expression of these claudin proteins was highly associated with metastatic progression and prognosis in patients with gastric carcinoma PMID: 29901188
- High CLND5 expression is associated with brain metastasis. PMID: 29328410
- Claudin-5 regulates blood-brain barrier permeability by modifying brain microvascular endothelial cell proliferation, migration. PMID: 28961379
- miR-30a-5p inhibits proliferation, metastasis, and EMT, and upregulates the expression of tight junction claudin-5 in UTUC cells. PMID: 28829370
- Claudin-5 was shown to be regulated VEGFR2/PI3K-Akt dependently by VEGF and PI3K-Akt independently by histamine. Interleukin-8 was shown to downregulate claudin-5 by histamine. PMID: 27873103
- This study shown the changes in gene expression of CDH5 and CLDN5 due to shear stress within individual differentiations also revealed no trend. PMID: 28774343
- Claudin-5 single-nucleotide polymorphism (SNP) rs885985 has two major alleles, G and A, which encode for glutamine (Q) or a stop signal, respectively, resulting in distinct overlapping open readings. PMID: 28445614
- Data show that the charge of Lys65 in claudin 1 (Cldn1) and Glu158 in claudin 3 (Cldn3), and of Gln57 in claudin 5 (Cldn5) are necessary for tight junction (TJ) strand formation. PMID: 28415153
- suggest that the reduction of CLDN5, 7, and 18 expression loses the suppressive ability of interaction between PDK1 and Akt and causes sustained phosphorylation of Akt, resulting in the disordered proliferation in lung squamous carcinoma cells PMID: 27884700
- The levels of ESM1, CLDN5, IL-1beta, IL-6, and TNF-alpha were significantly higher in the migraine attack group than in the control group PMID: 27010153
- analysis of the membrane driven cis interactions of claudin-5 proteins in the formation of the blood brain barrier tight junctions PMID: 26654362
- the expression of claudin-5 and claudin-9 was down-regulated while the expression of claudin-8 was up-regulated in cervical carcinoma tissues compared with adjacent non-neoplastic tissues. PMID: 26464708
- Plasma CLDN5 levels decreased in patients with stable asthma compared with those in control subjects, suggesting that asthma therapy can decrease plasma CLDN5 levels PMID: 26409663
- These data support that loss of claudin-5 in cardiomyocytes and endothelial cells is prevalent in human heart failure PMID: 25440958
- the relationship between vWF and claudin-5, which are indicators of endothelial cell dysfunction and tight junction activity, may be a predictor of disease activity in rheumatoid arthritis. PMID: 25973092
- The findings suggest that down regulated CLDN1 and CLDN5 genes have potential relevance in relation to the progression of glioblastoma multiforme. PMID: 25345514
- Claudin-5 overexpression promoted the interactions of claudin-1 and claudin-2 and enhanced the barrier function of retinal cells. PMID: 25323998
- Data show that C-terminal domain of Clostridium perfringens enterotoxin (cCPE)-binding to claudin 1 and claudin 5 is prevented by two residues in extracellular loop 2 of Cld1 (Asn(150) and Thr(153)) and Cld5 (Asp(149) and Thr(151)). PMID: 25342221
- The present study demonstrates that high expression of claudins 1, 4, 5 and down-regulation of claudin-7 are positive prognostic markers and are associated with good outcome and increased survival rates. PMID: 24815833
- loss of claudin 5 expression in the tumour vasculature points to a leaky vessel type PMID: 24519061
- The results of this study showed weak association of the CLDN5 locus with schizophrenia in Chinese. PMID: 20452046
- folding and assembly of CLDN3 and CLDN5 into the tight junction are controlled by non-conserved residues in the transmembrane 3 and extracellular loop 2 segments PMID: 24478310
- silencing of claudin-5 did significantly attenuate simvastatin-mediated endothelial cell barrier protection in response to thrombin PMID: 24028293
- VE-cadherin and claudin-5 were studied in nasal polyp microvessels. PMID: 23474739
- Matrix metalloproteinase-9 leads to claudin-5 degradation via the NF-kappaB pathway in BALB/c mice with eosinophilic meningoencephalitis caused by Angiostrongylus cantonensis. PMID: 23505411
- Chorionic gonadotropin induces VEGFA-dependent downregulation of claudin 5, which increases the endothelial permeability in the coculture system. PMID: 23465821
- Over-expression of claudin-5 was sufficient to prevent replication-deficient virus-induced permeability PMID: 23115643
- Claudin-5 expression and junctional organization controls intercellular barriers of human dermal microvascular but not human umbilical vein endothelial cells. PMID: 23288152
- Study portrays a role for Claudin-5 in cell motility involving the N-WASP signalling cascade indicating a possible role for Claudin-5 in the metastasis of human breast cancer. PMID: 22559840
- Letter: confirm the endothelial cell origin of cutaneous angiosarcoma and demonstrate that both endoglin and claudin-5 show promise as markers for cutaneous angiosarcoma. PMID: 23000880
- CLDN5 gene DNA meyhylation suggesting the pathogenesis of idiopathic pulmonary fibrosis. PMID: 22700861
- study demonstrated that claudin 5 is a protein with a short half-life that can undergo polyubiquitinationmainly on lysine 199, which apparently leads to its subsequent degradation PMID: 22389112
- this study portrays a new and interesting role for Claudin-5 in cell motility involving the N-WASP and ROCK signalling cascade PMID: 22038628
- GDNF increased the expression of claudin-5 and the transendothelial electrical resistance (TEER) of BMECs and PnMECs, whereas BDNF did not have this effect PMID: 22002662
- Galphai2 as a novel claudin-5 partner required for TJ integrity in brain endothelial cells. PMID: 22333621
- ERG plays a pivotal role in regulating endothelial cell barrier function and that this effect is mediated in part through its regulation of CLDN5 gene expression. PMID: 22235125
- Claudin-5 is a promising new marker for angiosarcomas and hemangioendotheliomas. PMID: 21959309
- Interendothelial claudin-5 expression depends on cerebral endothelial cell-matrix adhesion by beta(1)-integrins. PMID: 21772312
- This study sought to determine the cell signaling mechanism controlling endothelial CLDN5 expression during acute lung injury. PMID: 20525806
- tyrosine phosphorylation of claudin-5 is involved in the increased paracellular permeability of central nervous system-derived vascular endothelium induced by TGF-beta1. PMID: 21168935
- Claudin-1, -3, -4, -5, and -7 are expressed in developing human lung from week 12 to week 40 with distinct locations and in divergent quantities. PMID: 20478039
- Increased claudin-5 expression is associated with aggressive behavior in serous ovarian adenocarcinoma. PMID: 20044634
- Claudin 5 is transiently expressed during the development of the retinal pigment epithelium. PMID: 11944085
- The Blood-Brain Barrier against small molecules (<800 D), but not larger molecules, was selectively affected in Claudin-5 deficient mice. PMID: 12743111
- Airway tight junctions are regulated by claudin interactions that confer the selectivity of the junction. PMID: 12909588
- Showed that residues located C-terminal to the last transmembrane domain of claudin 5 are required for the proper targeting to apical TJ.s. PMID: 15260435
- CLDN5 protein may predispose to schizophrenia PMID: 15363474
- CLDN5 may be involved in forming a permeability barrier in the gut and, together with DQB, confer a susceptibility to schizophrenia. PMID: 15617864
- CLDN5 may be associated with schizophrenia in Chinese of Han descent PMID: 15820333
顯示更多
收起更多
-
亞細胞定位:Cell junction, tight junction. Cell membrane; Multi-pass membrane protein.
-
蛋白家族:Claudin family
-
數據庫鏈接:
Most popular with customers
-
YWHAB Recombinant Monoclonal Antibody
Applications: ELISA, WB, IHC, IF, FC
Species Reactivity: Human, Mouse, Rat
-
Phospho-YAP1 (S127) Recombinant Monoclonal Antibody
Applications: ELISA, WB, IHC
Species Reactivity: Human
-
-
-
-
-
-















