CLC Antibody
-
中文名稱:CLC兔多克隆抗體
-
貨號:CSB-PA22679A0Rb
-
規格:¥440
-
圖片:
-
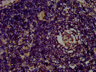
IHC image of CSB-PA22679A0Rb diluted at 1:400 and staining in paraffin-embedded human lymph node tissue performed on a Leica BondTM system. After dewaxing and hydration, antigen retrieval was mediated by high pressure in a citrate buffer (pH 6.0). Section was blocked with 10% normal goat serum 30min at RT. Then primary antibody (1% BSA) was incubated at 4°C overnight. The primary is detected by a biotinylated secondary antibody and visualized using an HRP conjugated SP system.
-
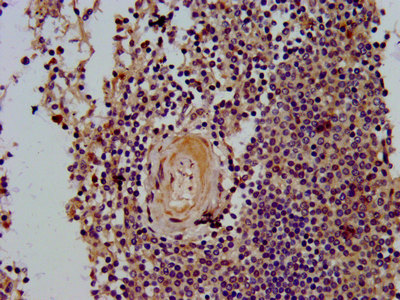
IHC image of CSB-PA22679A0Rb diluted at 1:400 and staining in paraffin-embedded human spleen tissue performed on a Leica BondTM system. After dewaxing and hydration, antigen retrieval was mediated by high pressure in a citrate buffer (pH 6.0). Section was blocked with 10% normal goat serum 30min at RT. Then primary antibody (1% BSA) was incubated at 4°C overnight. The primary is detected by a biotinylated secondary antibody and visualized using an HRP conjugated SP system.
-
Immunofluorescence staining of A549 cells with CSB-PA22679A0Rb at 1:133, counter-stained with DAPI. The cells were fixed in 4% formaldehyde, permeabilized using 0.2% Triton X-100 and blocked in 10% normal Goat Serum. The cells were then incubated with the antibody overnight at 4°C. The secondary antibody was Alexa Fluor 488-congugated AffiniPure Goat Anti-Rabbit IgG(H+L).
-
-
其他:
產品詳情
-
產品名稱:Rabbit anti-Homo sapiens (Human) CLC Polyclonal antibody
-
Uniprot No.:
-
基因名:
-
別名:BSF3 antibody; Charcot Leyden crystal protein antibody; Charcot-Leyden crystal protein antibody; CLC antibody; EC 3.1.1.5 antibody; Eosinophil lysophospholipase antibody; Gal-10 antibody; Galectin-10 antibody; LGALS10 antibody; LGALS10A antibody; LPPL HUMAN antibody; LPPL_HUMAN antibody; Lysolecithin acylhydrolase antibody; MGC149659 antibody
-
宿主:Rabbit
-
反應種屬:Human
-
免疫原:Recombinant Human Galectin-10 protein (2-142AA)
-
免疫原種屬:Homo sapiens (Human)
-
標記方式:Non-conjugated
本頁面中的產品,CLC Antibody (CSB-PA22679A0Rb),的標記方式是Non-conjugated。對于CLC Antibody,我們還提供其他標記。見下表:
-
克隆類型:Polyclonal
-
抗體亞型:IgG
-
純化方式:>95%, Protein G purified
-
濃度:It differs from different batches. Please contact us to confirm it.
-
保存緩沖液:Preservative: 0.03% Proclin 300
Constituents: 50% Glycerol, 0.01M PBS, pH 7.4 -
產品提供形式:Liquid
-
應用范圍:ELISA, IHC, IF
-
推薦稀釋比:
Application Recommended Dilution IHC 1:200-1:500 IF 1:50-1:200 -
Protocols:
-
儲存條件:Upon receipt, store at -20°C or -80°C. Avoid repeated freeze.
-
貨期:Basically, we can dispatch the products out in 1-3 working days after receiving your orders. Delivery time maybe differs from different purchasing way or location, please kindly consult your local distributors for specific delivery time.
-
用途:For Research Use Only. Not for use in diagnostic or therapeutic procedures.
相關產品
靶點詳情
-
功能:Regulates immune responses through the recognition of cell-surface glycans. Essential for the anergy and suppressive function of CD25-positive regulatory T-cells (Treg).
-
基因功能參考文獻:
- findings show that galectin-10 functions as a T cell-suppressive molecule in eosinophils PMID: 28515279
- The results support the potential for galectin-10 to be used as a surrogate biomarker of eosinophilic airway inflammation. PMID: 22880030
- CLC and IFNAR1 were identified to be overall differentially expressed between early- and late-onset CRC, and are important in the development of early-onset CRC. PMID: 21716316
- DK-PGD-induced CLC/Gal-10 mRNA level can serve as a potential marker for monitoring pharmacodynamic effects of blood exposure to CRTH2 modulating agents PMID: 20858065
- Genetic variation in Charcot-Leyden crystal protein was found to be associated with allergic rhinitis PMID: 19650845
- downregulated significantly in acute myeloid leukemia patients whose white blood cell count was higher than 100 x 10(9)/L cells PMID: 12031912
- Changes in the expressions of galectin-10 are potentially important for myeloid cell differentiation into specific lineages. PMID: 12714580
- The five genes, and three of the encoded proteins, were shown differentially expressed between a group of keratoconus patients and a reference group using different techniques PMID: 16015083
- Downregulated in whole blood of infants hospitalised with respiratory syncytial virus (RSV), subtype B, bronchiolitis. PMID: 17166282
- expressed in human T lymphocytes, galectin-10 is essential for the functional properties of CD25(+) Treg cells. PMID: 17502455
- Data show that galectin-10 expression was related to the histological grade and with the number of eosinophils in the lesion. PMID: 19758173
顯示更多
收起更多
-
亞細胞定位:Cytoplasm, cytosol. Cytoplasmic granule. Note=Localized in granules from where it may be secreted or transported to other locations in the cell.
-
組織特異性:Expressed abundantly in the bone marrow. Expressed exclusively by eosinophils and basophils. Not detected in monocytes and neutrophils. Expressed in CD25-positive regulatory T-cells (Treg) (at protein level). Found in intestinal tissue from patients with
-
數據庫鏈接:
Most popular with customers
-
-
YWHAB Recombinant Monoclonal Antibody
Applications: ELISA, WB, IHC, IF, FC
Species Reactivity: Human, Mouse, Rat
-
Phospho-YAP1 (S127) Recombinant Monoclonal Antibody
Applications: ELISA, WB, IHC
Species Reactivity: Human
-
-
-
-
-















