CIR1 Antibody
-
中文名稱:CIR1兔多克隆抗體
-
貨號:CSB-PA773051DSR2HU
-
規格:¥440
-
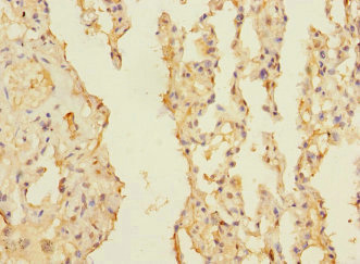
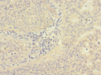
圖片:
-
其他:
產品詳情
-
產品名稱:Rabbit anti-Homo sapiens (Human) CIR1 Polyclonal antibody
-
Uniprot No.:
-
基因名:
-
別名:CIR1 antibody; CIRCorepressor interacting with RBPJ 1 antibody; CBF1-interacting corepressor antibody; Recepin antibody
-
宿主:Rabbit
-
反應種屬:Human
-
免疫原:Recombinant Human Corepressor interacting with RBPJ 1 protein (1-160AA)
-
免疫原種屬:Homo sapiens (Human)
-
標記方式:Non-conjugated
-
克隆類型:Polyclonal
-
抗體亞型:IgG
-
純化方式:Antigen Affinity Purified
-
濃度:It differs from different batches. Please contact us to confirm it.
-
保存緩沖液:PBS with 0.02% sodium azide, 50% glycerol, pH7.3.
-
產品提供形式:Liquid
-
應用范圍:ELISA, IHC
-
推薦稀釋比:
Application Recommended Dilution IHC 1:20-1:200 -
Protocols:
-
儲存條件:Upon receipt, store at -20°C or -80°C. Avoid repeated freeze.
-
貨期:Basically, we can dispatch the products out in 1-3 working days after receiving your orders. Delivery time maybe differs from different purchasing way or location, please kindly consult your local distributors for specific delivery time.
-
用途:For Research Use Only. Not for use in diagnostic or therapeutic procedures.
相關產品
靶點詳情
-
功能:May modulate splice site selection during alternative splicing of pre-mRNAs. Regulates transcription and acts as corepressor for RBPJ. Recruits RBPJ to the Sin3-histone deacetylase complex (HDAC). Required for RBPJ-mediated repression of transcription.
-
基因功能參考文獻:
- three SNPs (corepressor interacting with RBPJ 1 (CIR1) rs13009079T>C, ribonucleotide reductase M1 (RRM1) rs1465952T>C and solute carrier family 38, member 4 (SLC38A4) rs2429467C>T), may play a role in the pathogenesis of lung cancer PMID: 27587543
- identified as a PAP-1 binding protein and as a splicing factor PMID: 15652350
-
亞細胞定位:Nucleus speckle. Cytoplasm, cytoskeleton, microtubule organizing center, centrosome. Note=Colocalizes with NEK6 in the centrosome.
-
組織特異性:Highly expressed in heart, brain, placenta, liver, skeletal muscle and pancreas.
-
數據庫鏈接:
Most popular with customers
-
-
YWHAB Recombinant Monoclonal Antibody
Applications: ELISA, WB, IHC, IF, FC
Species Reactivity: Human, Mouse, Rat
-
Phospho-YAP1 (S127) Recombinant Monoclonal Antibody
Applications: ELISA, WB, IHC
Species Reactivity: Human
-
-
-
-
-















