CHRNA6 Antibody
-
中文名稱:CHRNA6兔多克隆抗體
-
貨號:CSB-PA620896ESR1HU
-
規格:¥440
-
圖片:
-
Western blot
All lanes: CHRNA6 antibody at 2.29µg/ml
Lane 1: A431 whole cell lysate
Lane 2: THP-1 whole cell lysate
Secondary
Goat polyclonal to rabbit IgG at 1/10000 dilution
Predicted band size: 57, 56 kDa
Observed band size: 57 kDa -
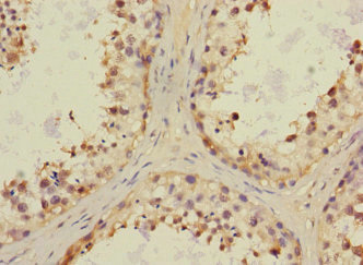
Immunohistochemistry of paraffin-embedded human testis tissue using CSB-PA620896ESR1HU at dilution of 1:100
-
-
其他:
產品詳情
-
產品名稱:Rabbit anti-Homo sapiens (Human) CHRNA6 Polyclonal antibody
-
Uniprot No.:
-
基因名:CHRNA6
-
別名:CHRNA6 antibody; Neuronal acetylcholine receptor subunit alpha-6 antibody
-
宿主:Rabbit
-
反應種屬:Human
-
免疫原:Recombinant Human Neuronal acetylcholine receptor subunit alpha-6 protein (26-239AA)
-
免疫原種屬:Homo sapiens (Human)
-
標記方式:Non-conjugated
-
克隆類型:Polyclonal
-
抗體亞型:IgG
-
純化方式:Antigen Affinity Purified
-
濃度:It differs from different batches. Please contact us to confirm it.
-
保存緩沖液:PBS with 0.02% sodium azide, 50% glycerol, pH7.3.
-
產品提供形式:Liquid
-
應用范圍:ELISA, WB, IHC
-
推薦稀釋比:
Application Recommended Dilution WB 1:1000-1:5000 IHC 1:20-1:200 -
Protocols:
-
儲存條件:Upon receipt, store at -20°C or -80°C. Avoid repeated freeze.
-
貨期:Basically, we can dispatch the products out in 1-3 working days after receiving your orders. Delivery time maybe differs from different purchasing way or location, please kindly consult your local distributors for specific delivery time.
-
用途:For Research Use Only. Not for use in diagnostic or therapeutic procedures.
相關產品
靶點詳情
-
功能:After binding acetylcholine, the AChR responds by an extensive change in conformation that affects all subunits and leads to opening of an ion-conducting channel across the plasma membrane.
-
基因功能參考文獻:
- To gain a better understanding of the pathological processes underlying ND and ND-related behaviors and to promote the development of effective smoking cessation therapies, we here present the most recent studies concerning the genetic effects of the CHRNB3-CHRNA6 gene cluster in ND. PMID: 27327258
- More low frequency variants in the CHRNA6/CHRNB3 gene region were observed in cases compared to controls. PMID: 27085880
- Chrna6 has a cellular expression signature for retinal ganglion cells with high correlation to Thy1, a known marker. Immunofluorescence confirms this gene is preferentially expressed by RGCs in the young and adult mouse retina and expression is reduced in glaucoma. PMID: 23002780
- Data show efficient expression of (alpha6beta2)2beta3 nicotinic acetylcholine receptors (AChRs) in Xenopus oocytes using free subunits with only small changes in alpha6 subunits, while not altering AChR pharmacology or channel structure. PMID: 25068303
- the CHRNB3-A6 locus contains multiple variants affecting risk for vulnerability to cocaine and nicotine dependence as well as bipolar disorder, suggesting that they have pleiotropic effects. PMID: 24675634
- Polymorphism in CHRNA6 gene is associated with esophageal adenocarcinoma. PMID: 25823894
- The common variant rs13273442 in the CHRNB3-CHNRA6 region is associated significantly with nicotine dependence in European Americans and African Americans. PMID: 24401102
- N-terminal alpha-helix (Asp57); complementary face/inner beta-fold (Arg87 or Asp92) and principal face/outer beta-fold (Ser156 or Asn171) residues in the halpha6 subunit are crucial for functional expression. PMID: 24886653
- these results demonstrate that the combined effect of rs6474412-C/T polymorphism in smoking-related CHRNB3-CHRNA6 region gene and smoking behavior may not confer risk to psoriasis vulgaris (PV), but may have impact on PV severity in Chinese Han population. PMID: 24792900
- findings indicate that both CHRNA2 and CHRNA6 play a significant role in the etiology of ND in AA and EA smokers PMID: 24253422
- Results demonstrate the association between SNPs in CHRNA6 nicotinic acetylcholine receptor genes and the risk of smoking in ADHD PMID: 23899432
- Elucidation of molecular impediments in the alpha6 subunit for in vitro expression of functional alpha6beta4* nicotinic acetylcholine receptors. PMID: 24085295
- Cross sectional data of US adults from the NHANES linked with genotype and geocodes were used to identify tobacco use phenotypes, state-level taxation rates, and variation in the nicotinic acetylcholine receptor (CHRNA6) genotype PMID: 23227187
- beta3 subunit coexpression promotes function of alpha6*-nAChR PMID: 22315221
- alpha6beta4* nAChRs are expressed and contribute to exocytosis in human chromaffin cells of the adrenal gland, the main source of adrenaline under stressful situations. PMID: 21917987
- analysis of how nicotinic acetylcholine receptor (nAChR) alpha5 subunits and/or variants modulate function of alpha6*-nAChR PMID: 21873428
- analysis of N-terminal extracellular domain determinants in nicotinic acetylcholine receptor (nAChR) alpha6 subunits that influence effects of wild-type or mutant beta3 subunits on function of alpha6beta2*- or alpha6beta4*-nAChR PMID: 21832048
- CHRNB3 and CHRNA6 polymorphisms are associated with smoking behavior and lung cancer susceptibility in Chinese Han population. PMID: 21831805
- Three single nucleotide polymorphisms (SNPs) in CHRNA6 and one SNP in CHRNB3 are associated with a composite of alcohol phenotypes. PMID: 19500157
- Concatameric pentamers and pentamers formed from combinations of trimers, dimers, and monomers of alpha6beta2beta3* acetylcholine receptors exhibit similar properties, indicating that the linkers between subunits do not alter their functional properties. PMID: 20923852
- The negative consequences of Prenatal exposure to maternal cigarette smoking on the brain and behavior of adolescence and suggestion that the alpha6 nAChR subunit may modify, at least in part, these effects. PMID: 20029407
- CHRNB3-CHRNA6 and CYP2A6 sequence variants affect smoking behavior PMID: 20418888
- present findings disclose a haplotype association between the CHRNA6 gene and heavy alcohol use as well as an association of the CHRNA4 gene with increased body mass in heavy consumers of alcohol PMID: 19698703
- CHRNA6 is associated with subjective responses to tobacco. PMID: 18055561
- Together these results further implicate the region downstream of CHRNA6 and the region upstream of CHRNB3 in risk of nicotine dependence. PMID: 18704094
- Alpha6 subunit-containing nicotinic receptors play a selective role in the modulation of dopamine release in both the nucleus accumbens and in the dorsal striatum. PMID: 18940582
- Activating transgenic gain-of-function alpha 6 nicotinic receptors in dopamine neurons is sufficient to cause locomotor hyperactivity. PMID: 18940593
顯示更多
收起更多
-
亞細胞定位:Cell junction, synapse, postsynaptic cell membrane; Multi-pass membrane protein. Cell membrane; Multi-pass membrane protein.
-
蛋白家族:Ligand-gated ion channel (TC 1.A.9) family, Acetylcholine receptor (TC 1.A.9.1) subfamily, Alpha-6/CHRNA6 sub-subfamily
-
數據庫鏈接:
Most popular with customers
-
-
YWHAB Recombinant Monoclonal Antibody
Applications: ELISA, WB, IHC, IF, FC
Species Reactivity: Human, Mouse, Rat
-
Phospho-YAP1 (S127) Recombinant Monoclonal Antibody
Applications: ELISA, WB, IHC
Species Reactivity: Human
-
-
-
-
-















