CHRDL1 Antibody
-
中文名稱:CHRDL1兔多克隆抗體
-
貨號:CSB-PA584727
-
規格:¥1100
-
圖片:
-
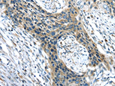
The image on the left is immunohistochemistry of paraffin-embedded Human esophagus cancer tissue using CSB-PA584727(CHRDL1 Antibody) at dilution 1/35, on the right is treated with synthetic peptide. (Original magnification: ×200)
-
Gel: 8%SDS-PAGE,Lysate: 40 μg,Lane 1-2: 293T cells, Human normal kidney tissue,Primary antibody: CSB-PA584727(CHRDL1 Antibody) at dilution 1/400 dilution,Secondary antibody: Goat anti rabbit IgG at 1/8000 dilution,Exposure time: 3 minutes
-
-
其他:
產品詳情
-
Uniprot No.:
-
基因名:CHRDL1
-
別名:CHL antibody; chordin like 1 antibody; Chordin-like protein 1 antibody; CHRDL1 antibody; CRDL1_HUMAN antibody; dA141H5.1 antibody; neuralin 1 antibody; Neuralin-1 antibody; Neurogenesin-1 antibody; NRLN1 antibody; Ventroptin antibody; VOPT antibody
-
宿主:Rabbit
-
反應種屬:Human,Mouse,Rat
-
免疫原:Synthetic peptide of Human CHRDL1
-
免疫原種屬:Homo sapiens (Human)
-
標記方式:Non-conjugated
-
抗體亞型:IgG
-
純化方式:Antigen affinity purification
-
濃度:It differs from different batches. Please contact us to confirm it.
-
保存緩沖液:-20°C, pH7.4 PBS, 0.05% NaN3, 40% Glycerol
-
產品提供形式:Liquid
-
應用范圍:ELISA,WB,IHC
-
推薦稀釋比:
Application Recommended Dilution ELISA 1:1000-1:2000 WB 1:200-1:1000 IHC 1:25-1:100 -
Protocols:
-
儲存條件:Upon receipt, store at -20°C or -80°C. Avoid repeated freeze.
-
貨期:Basically, we can dispatch the products out in 1-3 working days after receiving your orders. Delivery time maybe differs from different purchasing way or location, please kindly consult your local distributors for specific delivery time.
-
用途:For Research Use Only. Not for use in diagnostic or therapeutic procedures.
相關產品
靶點詳情
-
功能:Antagonizes the function of BMP4 by binding to it and preventing its interaction with receptors. Alters the fate commitment of neural stem cells from gliogenesis to neurogenesis. Contributes to neuronal differentiation of neural stem cells in the brain by preventing the adoption of a glial fate. May play a crucial role in dorsoventral axis formation. May play a role in embryonic bone formation. May also play an important role in regulating retinal angiogenesis through modulation of BMP4 actions in endothelial cells. Plays a role during anterior segment eye development.
-
基因功能參考文獻:
- Finally, in vivo experiments confirmed that CHRDL1 acted as a tumor suppressor gene in suppressing tumor growth and metastasis PMID: 28423564
- Results show that Chrdl1 expression is upregulated in numerous breast cancer cells following TGF-beta stimulation and demonstrated that Chrdl1 acts as an inhibitor of BMP4-induced migration and invasion. PMID: 26976638
- These studies have identified and validated new factors enriched in juvenile chondrocytes as compared to adult chondrocytes including secreted extracellular matrix factors chordin-like 1 (CHRDL1) and microfibrillar-associated protein 4 (MFAP4). PMID: 26955889
- We provide the initial confirmation that X-linked megalocornea is associated with mutations in the CHRDL1 gene. PMID: 24073597
- CHRDL1 plays a key role in cornea homeostasis as evidenced by disease causing mutations in X-linked megalocornea. PMID: 25712132
- The detection of mutations in the CHRDL1 gene is useful for differential diagnosis with different forms of megalocornea. PMID: 26020825
- Novel CHRDL1 mutations in ten families with X-linked megalocornea, are reported. PMID: 25093588
- CHRDL1 is expressed in the developing human cornea and anterior segment in addition to the retina. PMID: 22284829
- Hypoxia-induced upregulation of CHL-1 alters the homeostatic balance between BMP-4 and VEGF to synergize with VEGF in driving retinal angiogenesis. PMID: 18587495
- reports the cloning of chick ventroptin and its importance in topographic retinotectal projection PMID: 11441185
顯示更多
收起更多
-
相關疾病:Megalocornea 1, X-linked (MGC1)
-
亞細胞定位:Secreted.
-
組織特異性:Expressed in the developing cornea and in the eye anterior segment in addition to the retina. Differentially expressed in the fetal brain. There is high expression in cerebellum and neocortex. Expressed in retinal pericytes.
-
數據庫鏈接:
Most popular with customers
-
-
YWHAB Recombinant Monoclonal Antibody
Applications: ELISA, WB, IHC, IF, FC
Species Reactivity: Human, Mouse, Rat
-
Phospho-YAP1 (S127) Recombinant Monoclonal Antibody
Applications: ELISA, WB, IHC
Species Reactivity: Human
-
-
-
-
-















