CHMP5 Antibody
-
中文名稱:CHMP5兔多克隆抗體
-
貨號:CSB-PA878944LA01HU
-
規格:¥440
-
圖片:
-
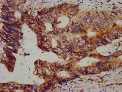
IHC image of CSB-PA878944LA01HU diluted at 1:800 and staining in paraffin-embedded human colon cancer performed on a Leica BondTM system. After dewaxing and hydration, antigen retrieval was mediated by high pressure in a citrate buffer (pH 6.0). Section was blocked with 10% normal goat serum 30min at RT. Then primary antibody (1% BSA) was incubated at 4°C overnight. The primary is detected by a biotinylated secondary antibody and visualized using an HRP conjugated SP system.
-
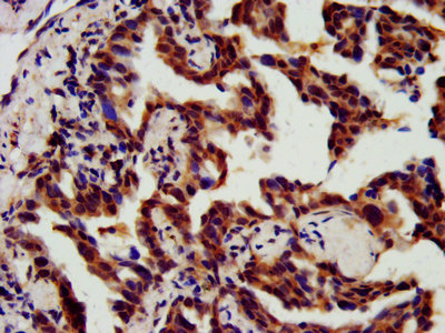
IHC image of CSB-PA878944LA01HU diluted at 1:800 and staining in paraffin-embedded human lung cancer performed on a Leica BondTM system. After dewaxing and hydration, antigen retrieval was mediated by high pressure in a citrate buffer (pH 6.0). Section was blocked with 10% normal goat serum 30min at RT. Then primary antibody (1% BSA) was incubated at 4°C overnight. The primary is detected by a biotinylated secondary antibody and visualized using an HRP conjugated SP system.
-
Immunofluorescence staining of HepG2 cells with CSB-PA878944LA01HU at 1:266, counter-stained with DAPI. The cells were fixed in 4% formaldehyde, permeabilized using 0.2% Triton X-100 and blocked in 10% normal Goat Serum. The cells were then incubated with the antibody overnight at 4°C. The secondary antibody was Alexa Fluor 488-congugated AffiniPure Goat Anti-Rabbit IgG(H+L).
-
-
其他:
產品詳情
-
產品名稱:Rabbit anti-Homo sapiens (Human) CHMP5 Polyclonal antibody
-
Uniprot No.:
-
基因名:
-
別名:apoptosis-related protein PNAS-2 antibody; C9orf83 antibody; CGI 34 antibody; Charged multivesicular body protein 5 antibody; CHMP 5 antibody; CHMP family; member 5 antibody; chmp5 antibody; CHMP5_HUMAN antibody; Chromatin modifying protein 5 antibody; Chromatin-modifying protein 5 antibody; Chromosome 9 open reading frame 83 antibody; HGNC:26942 antibody; HSPC177 antibody; hVps60 antibody; PNAS 2 antibody; SNF7 domain containing protein 2 antibody; SNF7 domain-containing protein 2 antibody; SNF7DC2 antibody; Vacuolar protein sorting 60 antibody; Vacuolar protein sorting-associated protein 60 antibody; Vps60 antibody
-
宿主:Rabbit
-
反應種屬:Human
-
免疫原:Recombinant Human Charged multivesicular body protein 5 protein (1-219AA)
-
免疫原種屬:Homo sapiens (Human)
-
標記方式:Non-conjugated
本頁面中的產品,CHMP5 Antibody (CSB-PA878944LA01HU),的標記方式是Non-conjugated。對于CHMP5 Antibody,我們還提供其他標記。見下表:
-
克隆類型:Polyclonal
-
抗體亞型:IgG
-
純化方式:>95%, Protein G purified
-
濃度:It differs from different batches. Please contact us to confirm it.
-
保存緩沖液:Preservative: 0.03% Proclin 300
Constituents: 50% Glycerol, 0.01M PBS, PH 7.4 -
產品提供形式:Liquid
-
應用范圍:ELISA, IHC, IF
-
推薦稀釋比:
Application Recommended Dilution IHC 1:500-1:1000 IF 1:100-1:500 -
Protocols:
-
儲存條件:Upon receipt, store at -20°C or -80°C. Avoid repeated freeze.
-
貨期:Basically, we can dispatch the products out in 1-3 working days after receiving your orders. Delivery time maybe differs from different purchasing way or location, please kindly consult your local distributors for specific delivery time.
-
用途:For Research Use Only. Not for use in diagnostic or therapeutic procedures.
相關產品
靶點詳情
-
功能:Probable peripherally associated component of the endosomal sorting required for transport complex III (ESCRT-III) which is involved in multivesicular bodies (MVBs) formation and sorting of endosomal cargo proteins into MVBs. MVBs contain intraluminal vesicles (ILVs) that are generated by invagination and scission from the limiting membrane of the endosome and mostly are delivered to lysosomes enabling degradation of membrane proteins, such as stimulated growth factor receptors, lysosomal enzymes and lipids. The MVB pathway appears to require the sequential function of ESCRT-O, -I,-II and -III complexes. ESCRT-III proteins mostly dissociate from the invaginating membrane before the ILV is released. The ESCRT machinery also functions in topologically equivalent membrane fission events, such as the terminal stages of cytokinesis and the budding of enveloped viruses (HIV-1 and other lentiviruses). ESCRT-III proteins are believed to mediate the necessary vesicle extrusion and/or membrane fission activities, possibly in conjunction with the AAA ATPase VPS4. Involved in HIV-1 p6- and p9-dependent virus release.
-
基因功能參考文獻:
- CHMP5 might be involved in the homeostatic regulation of TCR on the cell surface, presumably through TCR recycling or degradation. Thus CHMP5 is implicated in TCR-mediated signaling. PMID: 26821576
- ESCRT-III protein CHMP5 inhibits LIP5-mediated VPS4 activation by inducing a moderate conformational change within LIP5. PMID: 25637630
- after CHMP5 inhibition, both Granzyme B/Perforin apoptotic pathway and apoptosis-inducing factor-mediated necrotic pathway were activated, while autophagic pathway was not activated PMID: 23619569
- PNAS-2 was shown to be anti-apoptotic and may participate in leukemogenesis PMID: 17855796
- pnas-2 is specifically up-regulated in acute leukemia patients. PMID: 18426649
- The pnas-2 gene may be closely related with apotosis of arsenic sulfide treated APL cells. PMID: 17708794
顯示更多
收起更多
-
亞細胞定位:Cytoplasm, cytosol. Endosome membrane; Peripheral membrane protein. Note=Localizes to the midbody of dividing cells. Localized in two distinct rings on either side of the Fleming body.
-
蛋白家族:SNF7 family
-
數據庫鏈接:
Most popular with customers
-
-
-
-
-
-
-
-
VDAC1 Recombinant Monoclonal Antibody
Applications: ELISA, WB, IHC
Species Reactivity: Human, Mouse, Rat















