CHD4 Antibody
-
中文名稱:CHD4兔多克隆抗體
-
貨號:CSB-PA01097A0Rb
-
規格:¥440
-
圖片:
-
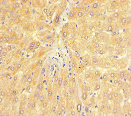
Immunohistochemistry of paraffin-embedded human liver tissue using CSB-PA01097A0Rb at dilution of 1:100
-
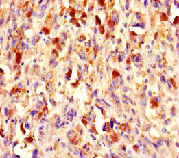
Immunohistochemistry of paraffin-embedded human melanoma using CSB-PA01097A0Rb at dilution of 1:100
-
Immunofluorescent analysis of A549 cells using CSB-PA01097A0Rb at dilution of 1:100 and Alexa Fluor 488-congugated AffiniPure Goat Anti-Rabbit IgG(H+L)
-
-
其他:
產品詳情
-
產品名稱:Rabbit anti-Homo sapiens (Human) CHD4 Polyclonal antibody
-
Uniprot No.:
-
基因名:
-
別名:ATP dependent helicase CHD4 antibody; ATP-dependent helicase CHD4 antibody; CHD 4 antibody; CHD-4 antibody; CHD4 antibody; CHD4_HUMAN antibody; Chromodomain helicase DNA binding protein 4 antibody; Chromodomain-helicase-DNA-binding protein 4 antibody; Mi 2 autoantigen 218 kDa protein antibody; Mi 2b antibody; Mi-2 autoantigen 218 kDa protein antibody; Mi2 beta antibody; Mi2-beta antibody
-
宿主:Rabbit
-
反應種屬:Human
-
免疫原:Recombinant Human Chromodomain-helicase-DNA-binding protein 4 protein (1-219AA)
-
免疫原種屬:Homo sapiens (Human)
-
標記方式:Non-conjugated
本頁面中的產品,CHD4 Antibody (CSB-PA01097A0Rb),的標記方式是Non-conjugated。對于CHD4 Antibody,我們還提供其他標記。見下表:
-
克隆類型:Polyclonal
-
抗體亞型:IgG
-
純化方式:>95%, Protein G purified
-
濃度:It differs from different batches. Please contact us to confirm it.
-
保存緩沖液:Preservative: 0.03% Proclin 300
Constituents: 50% Glycerol, 0.01M PBS, PH 7.4 -
產品提供形式:Liquid
-
應用范圍:ELISA, IHC, IF
-
推薦稀釋比:
Application Recommended Dilution IHC 1:20-1:200 IF 1:50-1:200 -
Protocols:
-
儲存條件:Upon receipt, store at -20°C or -80°C. Avoid repeated freeze.
-
貨期:Basically, we can dispatch the products out in 1-3 working days after receiving your orders. Delivery time maybe differs from different purchasing way or location, please kindly consult your local distributors for specific delivery time.
-
用途:For Research Use Only. Not for use in diagnostic or therapeutic procedures.
相關產品
靶點詳情
-
功能:Component of the histone deacetylase NuRD complex which participates in the remodeling of chromatin by deacetylating histones.
-
基因功能參考文獻:
- that CHD4 is not only a potential prognostic biomarker for triple-negative breast cancer (TNBC) patient survival, but is also a powerful candidate in the development of new anti-cancer agents in TNBC PMID: 29305962
- the N-terminal part of CHD4 interacts with an unstructured A-rich region in promoter and pre-rRNA antisense "), a long noncoding RNA that is transcribed in an orientation antisense to pre-rRNA PMID: 29907651
- RNA interference identifies CHD4 as an essential gene in regulating breast cancer growth. PMID: 27779108
- Data suggest TCF19 interacts with histone 3 lysine 4 trimethylation through its plant homeodomain finger; TCF19 expression appears to regulate gluconeogenesis in hepatocytes; TCF19 interacts with CHD4 causing NuRD complex recruitment to gene promoters of enzymes involved in gluconeogenesis. (TCF19 = transcription factor 19; CHD4 = chromodomain helicase DNA binding protein 4; NuRD = nucleosome-remodeling-deacetylase) PMID: 29042441
- Mutation in CHD4 gene is associated with congenital heart defects. PMID: 27479907
- this work identifies CHD4 as an epigenetic coregulator of PAX3-FOXO1 activity, providing rational evidence for CHD4 as a potential therapeutic target in alveolar rhabdomyosarcoma. PMID: 27760049
- CHD4 recruits repressive chromatin proteins to sites of DNA damage repair, including DNA methyltransferases where it imposes de novo DNA methylation. At TSGs, CHD4 retention helps maintain DNA hypermethylation-associated transcriptional silencing. PMID: 28486105
- this study identifies the Chd4-Tbx3 axis in controlling ESC fate and a role of H2A.Z in maintaining the stability of Chd4 proteins. PMID: 28298436
- report provides evidence for the role of CHD4 in human development and expands an increasingly recognized group of Mendelian disorders involving chromatin remodeling and modification PMID: 27616479
- complex lacking CHD4 that has HDAC activity can exist as a stable species. The addition of recombinant CHD4 to this nucleosome deacetylase complex reconstitutes a NuRD complex with nucleosome remodeling activity. PMID: 27235397
- CHD4 plays a pivotal role in chemoresistance and the maintenance of stemness in liver cancer stem cells and is therefore a good target for the eradication of hepatocellular carcinoma. PMID: 26095183
- Acetyltransferase p300 collaborates with chromodomain helicase DNA-binding protein 4 (CHD4) to facilitate DNA double-strand break repair PMID: 26546801
- Specifically, methyl-CpG-binding domain protein 2 (MBD2) is revealed to be recruited to DNA damage sites after laser microirradiation, which was mediated through MBD domain and MBD2 C-terminus. PMID: 26827827
- these data build on our understanding of how CHD4-NuRD acts to regulate gene expression and participates in the DNA-damage response. PMID: 26565020
- CHD4 depletion modulates expression of acute myeloid leukemia cell genes that regulate tumor formation in vivo and colony formation in vitro. PMID: 26265695
- Also discovered a novel causative role for CHD4, a helicase involved in the histone deacetylase complex that is associated with poor clinical outcome. PMID: 26296641
- D140E SNP was associated with lung cancer, malignant lymphoma and rectum cancer and may interact with smoking habit to increase the risk. PMID: 25407497
- CHD4 modulates therapeutic response in BRCA2 mutant cancer cells. PMID: 25737278
- Endogenous Mta1/2 forms a complex with chromodomain helicase (Chd)4, histone deacetylases (Hdac)1/2, RbAp46/48, and Mbd3 in rat cerebellum PMID: 24991957
- CHD4 and HDAC1 occupy the promoters of several of these hypermethylated tumor suppressor genes and physically and functionally interact to maintain their silencing. PMID: 23708667
- repressive functions of MBD2-containing NuRD complexes are dependent on cooperative interactions between the major domains of CHD4 with histones and DNA and on binding of methylated DNA by MBD2 PMID: 23071088
- a three-dimensional structural model describing the overall shape and domain interactions of CHD4 and discuss the relevance of these for regulating the remodeling of chromatin by the NuRD complex. PMID: 22575888
- Concerted action of the PHD, chromo and motor domains regulates the human chromatin remodelling ATPase CHD4 PMID: 22749909
- Chd4 is necessary to guide proper terminal differentiation of Schwann cells; the nucleosome remodeling and deacetylase (NURD) complex is a requisite factor in timely and stable peripheral chromatin remodeling. PMID: 22302795
- CHD4 could bind to two H3 N-terminal tails on the same nucleosome or on two separate nucleosomes simultaneously, presenting exciting implications for the mechanism by which CHD4 and the NuRD complex could direct chromatin remodeling. PMID: 21278251
- PU.1 directs Mi2beta to erase an established DNase I-hypersensitive site, in an ATP-dependent reaction subsequent to PU.1 binding to chromatin, whereas ACF will not support erasure PMID: 19158090
- the amino-terminal and carboxyl-terminal regions of Mi-2 beta have distinct transcriptional activities and bind to BRG1 and the RET finger protein, forming a multiprotein supercomplex involved in transcriptional regulation. PMID: 14530259
- Mi-2beta and RFP, known to be involved in transcriptional repression in the nucleus, co-localize with MCRS1 in the nucleolus and appear to activate the rRNA transcription. PMID: 16186106
- The known subunits of the Mi-2/NuRD complex , their connections to signaling networks, and their association with cancer are reviewed. PMID: 17694084
- Data show that Mi-2/NuRD constitutes an enzymatic component of a pathway for assembly and maturation of chromatin utilized by rapidly proliferating lymphoid cells for replication of constitutive heterochromatin. PMID: 19296121
- The PHD2 finger plays a role in targeting of the CHD4/NuRD complex to chromatin. PMID: 19624289
顯示更多
收起更多
-
相關疾病:Sifrim-Hitz-Weiss syndrome (SIHIWES)
-
亞細胞定位:Nucleus. Cytoplasm, cytoskeleton, microtubule organizing center, centrosome.
-
蛋白家族:SNF2/RAD54 helicase family
-
數據庫鏈接:
Most popular with customers
-
-
YWHAB Recombinant Monoclonal Antibody
Applications: ELISA, WB, IHC, IF, FC
Species Reactivity: Human, Mouse, Rat
-
Phospho-YAP1 (S127) Recombinant Monoclonal Antibody
Applications: ELISA, WB, IHC
Species Reactivity: Human
-
-
-
-
-















